КТ ПОП. Девушка 28 лет.

 Вот такие изменения.

  

  • https://radiomed.ru/sites/default/files/styles/case_slider_image/public/user/16789/img-0001-00001__2_0.jpg?itok=4UTjMaEk
  • https://radiomed.ru/sites/default/files/styles/case_slider_image/public/user/16789/img-0001-00001__3_0.jpg?itok=-fG22Vlq
  • https://radiomed.ru/sites/default/files/styles/case_slider_image/public/user/16789/img-0001-00001__4_0.jpg?itok=a7ZcnQ16
  • https://radiomed.ru/sites/default/files/styles/case_slider_image/public/user/16789/img-0001-00001__5_0.jpg?itok=9D-5EEt6
  • https://radiomed.ru/sites/default/files/styles/case_slider_image/public/user/16789/img-0006-00001__1_0.jpg?itok=YMbwK0XR
  • https://radiomed.ru/sites/default/files/styles/case_slider_image/public/user/16789/img-0006-00001__2_0.jpg?itok=5fvQvk2L
  • https://radiomed.ru/sites/default/files/styles/case_slider_image/public/user/16789/img-0006-00001__3_0.jpg?itok=94utrMHf
  • https://radiomed.ru/sites/default/files/styles/case_slider_image/public/user/16789/img-0006-00001__4_0.jpg?itok=_jDO5Q2h
  • https://radiomed.ru/sites/default/files/styles/case_slider_image/public/user/16789/img-0006-00001__5_0.jpg?itok=p5mAX9uU
  • https://radiomed.ru/sites/default/files/styles/case_slider_image/public/user/16789/img-0006-00001__6_0.jpg?itok=CK2xvhak
  • https://radiomed.ru/sites/default/files/styles/case_slider_image/public/user/16789/img-0006-00001__7_0.jpg?itok=VfcyPF8U
  • https://radiomed.ru/sites/default/files/styles/case_slider_image/public/user/16789/img-0006-00001__8_0.jpg?itok=PAIiczvh
  • https://radiomed.ru/sites/default/files/styles/case_slider_image/public/user/16789/img-0006-00001__9_0.jpg?itok=TVL4buxJ
ID:49268
Катенёв Валентин Львович аватар
Не на сайте
Был на сайте: 7 лет 5 месяцев назад
Зарегистрирован: 22.03.2008 - 22:15
Публикации: 54876

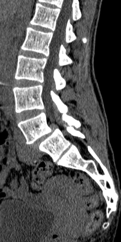
Антелистез визуализируется очень хорошо.

Сергей Нагорный аватар
Не на сайте
Был на сайте: 10 лет 1 месяц назад
Зарегистрирован: 13.07.2010 - 22:49
Публикации: 1370

Спондилолизный спондилолистез обычный вижу тока и люмбосакральный позвонок IV по Castellvi  или асимметричный переходный с односторонней конкресценцией, если по русски. Если не так по-русски, коллеги поправят.

С уважением, С.Н. Нагорный

Любовь С. аватар
Не на сайте
Был на сайте: 9 лет 10 месяцев назад
Зарегистрирован: 23.12.2010 - 01:58
Публикации: 2324

Истинный антелистез L4 1-й ст, грыжа L4-5, асимметричная сакрализация L5. Вероятна компрессия L5 корешка. По Castellvi хорошая классификация, но трудно принимается некоторыми клиницистами).

 

"Предоставляя весь смысл и совершенство в распоряжение одного только Бога, вы избавляете себя от бездны хлопот." Джон Уитборн.

Евгений Алексеевич аватар
Не на сайте
Был на сайте: 5 лет 4 месяцев назад
Зарегистрирован: 28.06.2013 - 16:23
Публикации: 4122

Спондилолиз, антеспондилолистез 2 ст. L5.

Евгений Второй аватар
Не на сайте
Был на сайте: 4 месяцев 3 недели назад
Зарегистрирован: 13.09.2011 - 22:00
Публикации: 1772

Раз уж занялись некропостингом:

2Любовь С. На глаз согласен с 1-й степенью спондилолистеза. Но если считать переходный позвонок как L5 - получается компрессия нерва L4 в фораминальном окне.