Пол пациента:
Тип патологии:
Область исследования:
Методы исследования:
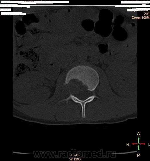
Здравствуйте коллеги.Прошу ваши помощи больной 1998 г.р. беспокоять боль поясничной области справа.Болеет в теч месяца, связывает с резким движением.Лечились по поводу почки без эфекта. Анализ не здали.Травму исключает. МРТ от 21 .10.2013 г. МР признаки участка патологич. измен. сигнальных характеристок с перифокальным трабекулярным отеком в теле и правой дужке позвон L2.Паравертабр. мягкотканный компонент в правой корешковой воронки на уровне L2-3.Этиология?Не исключается наличие осложненной переломы гемангиомы тела L2.Дифференцировать специфическим спондилитом .Анатомически суженный спинно- мозговой канал. Со слов матери костные фтизиатры исключили свое.Ваше мнение.
- https://radiomed.ru/sites/default/files/styles/case_slider_image/public/user/17529/03_1.jpg?itok=lz5WsU6E
- https://radiomed.ru/sites/default/files/styles/case_slider_image/public/user/17529/04_1.jpg?itok=grCr_QkL
- https://radiomed.ru/sites/default/files/styles/case_slider_image/public/user/17529/05_1.jpg?itok=iXEUw4OF
- https://radiomed.ru/sites/default/files/styles/case_slider_image/public/user/17529/06_1.jpg?itok=sgK15X3W
- https://radiomed.ru/sites/default/files/styles/case_slider_image/public/user/17529/07_2.jpg?itok=IPWepRow
- https://radiomed.ru/sites/default/files/styles/case_slider_image/public/user/17529/08_1.jpg?itok=lEaSBHG4
- https://radiomed.ru/sites/default/files/styles/case_slider_image/public/user/17529/09_1.jpg?itok=NExxHS70
- https://radiomed.ru/sites/default/files/styles/case_slider_image/public/user/17529/010_0.jpg?itok=vMexvMni
- https://radiomed.ru/sites/default/files/styles/case_slider_image/public/user/17529/011_1.jpg?itok=8_8zrLZs
- https://radiomed.ru/sites/default/files/styles/case_slider_image/public/user/17529/012_1.jpg?itok=tIW0ldB2
- https://radiomed.ru/sites/default/files/styles/case_slider_image/public/user/17529/013_1.jpg?itok=Z6aAYzbh
- https://radiomed.ru/sites/default/files/styles/case_slider_image/public/user/17529/014_0.jpg?itok=nIbFnaEI
- https://radiomed.ru/sites/default/files/styles/case_slider_image/public/user/17529/015_1.jpg?itok=YlAjkZj9
- https://radiomed.ru/sites/default/files/styles/case_slider_image/public/user/17529/016_1.jpg?itok=JFBD_xK_
ID:32775
может быть метастаз.
Образование позвонка, дифряд - ГКО, остеобластома, агрессивная гемангиома, солидный вариант АКК.
https://www.instagram.com/pediatricradiology/
первичного очага нет
Транспедикулярная биопсия
Если делают то

! Сразу будет ясно. А если нет, то ЭТО "ПЕРВИЧНЫЙ" И ЕСТЬ...
И писать как первичный.