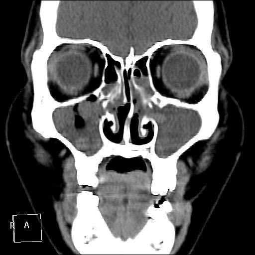
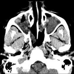
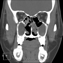
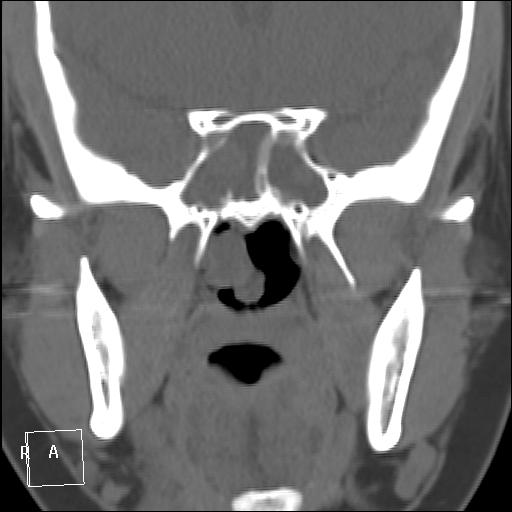
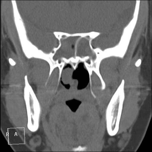
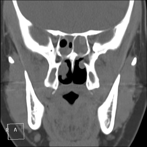
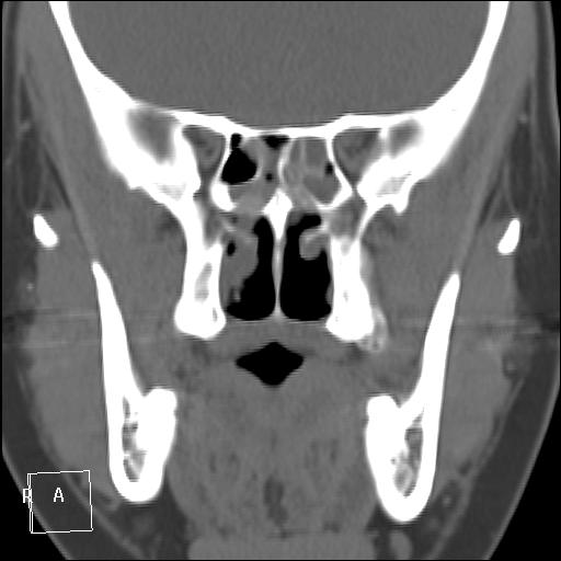
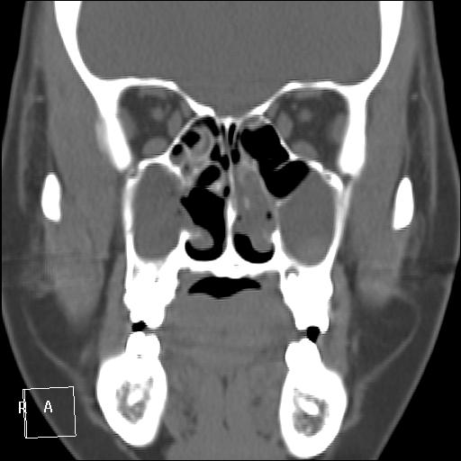
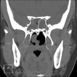
КТ ППН и носоглотки. Девушка 21 года. Полипозный риносинусит.

Госпитализирована для оперативного лечения. Удалены полипы носа. Вторым этапом планируется гайморотомия. Во время операции - подозрение на образование носоглотки. Сохраняется затруднение носового дыхания. Направлена на КТ. Категорически отказалась от контрастировния (лекарственная полиаллергия, боится).

-----------------------------------------

 

  • https://radiomed.ru/sites/default/files/styles/case_slider_image/public/user/2841/zh21god0002.jpg?itok=KKnVMats
  • https://radiomed.ru/sites/default/files/styles/case_slider_image/public/user/2841/zh21god0003.jpg?itok=Lx9-ZJ6Z
  • https://radiomed.ru/sites/default/files/styles/case_slider_image/public/user/2841/zh21god0004.jpg?itok=dW_wHBmc
  • https://radiomed.ru/sites/default/files/styles/case_slider_image/public/user/2841/zh21god0005.jpg?itok=rFQWDMI9
  • https://radiomed.ru/sites/default/files/styles/case_slider_image/public/user/2841/zh21god0006.jpg?itok=7xtBzT96
  • https://radiomed.ru/sites/default/files/styles/case_slider_image/public/user/2841/zh21god0007.jpg?itok=-95SoJK1
  • https://radiomed.ru/sites/default/files/styles/case_slider_image/public/user/2841/zh21god0008.jpg?itok=xLpaJPTZ
  • https://radiomed.ru/sites/default/files/styles/case_slider_image/public/user/2841/zh21god0009.jpg?itok=y5vPFb1z
  • https://radiomed.ru/sites/default/files/styles/case_slider_image/public/user/2841/zh21god0010.jpg?itok=buA9fHJc
  • https://radiomed.ru/sites/default/files/styles/case_slider_image/public/user/2841/zh21god0011.jpg?itok=OZtFZa9y
  • https://radiomed.ru/sites/default/files/styles/case_slider_image/public/user/2841/zh21god0012.jpg?itok=u1Yh7XDa
  • https://radiomed.ru/sites/default/files/styles/case_slider_image/public/user/2841/zh21god0013.jpg?itok=b8lM6Wrw
ID:54097
Петрович аватар
Не на сайте
Был на сайте: 7 лет 2 месяцев назад
Зарегистрирован: 22.03.2009 - 01:13
Публикации: 3908

Полип в носоглотке справа. Нарушена пневматизация придаточных пазух носа кроме левой решётчатой. В левой гайморовой на дне неясно что…

Неоднозначно всё

ЛГ аватар
Не на сайте
Был на сайте: 8 лет 10 месяцев назад
Зарегистрирован: 06.01.2010 - 12:31
Публикации: 3523

На дне гайморовой - полип, в носоглотке немаленький хоанальный полип. Там всё в полипах, а они и фиброзные бывают, и ангиофибромы, и ангиоаденомы... Вот и плотность разная.

Андрей Юрьевич аватар
Не на сайте
Был на сайте: 1 неделя 21 час назад
Зарегистрирован: 16.11.2008 - 22:16
Публикации: 18098

Людмила Григорьевна wrote:

На дне гайморовой - полип, в носоглотке немаленький хоанальный полип. Там всё в полипах, а они и фиброзные бывают, и ангиофибромы, и ангиоаденомы... Вот и плотность разная.

Ну, как-то все в одну кучу - и полипы, и ангиофибромы. При ангиофиброме, например, околоносовые пазухи свободны. А гиперденсность более характерна для грибкового поражения (аспергилеза), в том числе и "севшим" на пломбировочный материал.

Андрей Юрьевич

ЛГ аватар
Не на сайте
Был на сайте: 8 лет 10 месяцев назад
Зарегистрирован: 06.01.2010 - 12:31
Публикации: 3523

На операции визуально полипы аденоматозного типа. Какие будут гистологически после гайморотомии - сейчас трудно сказать. Если б гиперденсность была только по нижней стенке верхнечелюстной пазухи, тогда вариант с аспергиллезом на пломбировочном материале, на мой взгляд, был бы более вероятен. У девушки участки гиперденсности по всем стенкам верхнечелюстных пазух, в основной пазухе, совсем чуть - в решетчатом лабиринте слева, без костной деструкции. Без посева и гистологии - только гадать)). В носовой полости признаков грибкового поражения ЛОРы не отмечают. Но Вы правы, может иметь место изолированное поражение синусов.

 "Грибковая флора имеет существенное значение при хронических воспалительных процессах придаточных пазух и носа. Микозы этих локализаций стоят на втором месте при поражении грибами верхних дыхательных путей. Наиболее часты заболевания верхнечелюстных пазух. Возбудителями заболеваний являются плесневые грибы родов: Penicillium, Aspergillus, Mucor, Alternaria, дрожжеподобные Candida и др.
   Вообще в последние годы участились наблюдения больных с длительными воспалительными заболеваниями придаточных пазух носа, которые безрезультатно лечатся самыми современными методами антибактериальной терапии и хирургическими вмешательствами. В Московском НИИ уха, горла и носа при комплексном обследовании у большинства из этой группы больных диагностировано микотическое заболевание.
   Микотические процессы в пазухах могут протекать в основном в двух формах: как поверхностное (неинвазивное) поражение только слизистой оболочки и как глубокое (инвазивное) инфильтрирующее поражение не только слизистой оболочки, но и надкостницы и кости остеомиелитического характера. Инвазивный процесс более часто бывает при аспергиллезе, мукорозе. Неинвазивный – при кандидозе, пенициллиозе. Грибковые поражения верхнечелюстных пазух особенно при поверхностной форме сопровождаются аллергическими проявлениями."

Источник: http://www.consilium-medicum.com/article/13745

______________________________________________

"Фиброзно-отечный полип — своеобразная и наиболее частая форма воспалительной гиперплазии слизистой оболочки носа и его придаточных пазух.  Исходит обычно из среднего и верхнего носовых ходов и верхней стенки верхнечелюстных пазух. Чаще поражаются обе половины носа. Может быть единичным и множественным, вызывает обструкцию носовых ходов. Макроскопически имеет вид мягких овальных образований на ножке, приплюснутых с боков, с гладкой блестящей поверхностью сероватого или желтовато-розового цвета. Хоанальные полипы обычно единичны и имеют более плотную консистенцию, длина их может достигать 7—8 см.

Микроскопическое строение полипа соответствует резко отечной слизистой оболочке с признаками хронического воспаления. Могут встречаться слизистые железы, ретенционные кисты, кавернозные сосуды. В соответствии с выраженностью того или иного компонента различают аденоматозные, железисто-кистозные и ангиоматозные полипы."  

Источник: http://meduniver.com/Medical/gistologia/503.html

ЛГ аватар
Не на сайте
Был на сайте: 8 лет 10 месяцев назад
Зарегистрирован: 06.01.2010 - 12:31
Публикации: 3523

Результаты гистологии после полипотомии носовой полости у нас: аденоматозные, миксоматозные полипы с признаками острого воспаления, фиброзные изменения стромы некоторых полипов. Из Твери пациентка еще не возвращалась, вестей о хоанальном полипе и результатов гайморо- и сфенотомии пока нет.