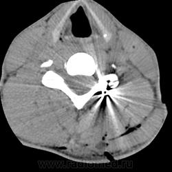
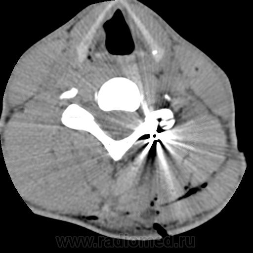
KT С-spine. Огнестрельное проникающее ранение позвоночника. Инородное тело в позвоночном канале на уровне С1 и в мягких тканях на уровне С5, без неврологической симптоматики.

Пол пациента: 
Тип патологии: 
Методы исследования: 

Мужчина 23 года. Получил огнестрельные ранения в области шеи (ружье), стреляли сзади. Неврологическая симптоматика отсутствует. Снаряд прошел по касательной между затылочной костью и атлантом. В желудочковой системе головного мозга кровь. Нейрохирурги пытались удалить инородное тело из позвоночного канала, но тщетно.

  • https://radiomed.ru/sites/default/files/styles/case_slider_image/public/user/19376/img-0002-00024.jpg?itok=CDUZ80TB
  • https://radiomed.ru/sites/default/files/styles/case_slider_image/public/user/19376/img-0002-00025.jpg?itok=TwHoFNfc
  • https://radiomed.ru/sites/default/files/styles/case_slider_image/public/user/19376/img-0002-00023.jpg?itok=rY9bPvIX
  • https://radiomed.ru/sites/default/files/styles/case_slider_image/public/user/19376/img-0002-00026.jpg?itok=yF7skvp_
  • https://radiomed.ru/sites/default/files/styles/case_slider_image/public/user/19376/img-0002-00027_0.jpg?itok=7U19iizd
  • https://radiomed.ru/sites/default/files/styles/case_slider_image/public/user/19376/img-0002-00028.jpg?itok=ap5U3up1
  • https://radiomed.ru/sites/default/files/styles/case_slider_image/public/user/19376/img-0002-00083.jpg?itok=DKZ6tyvf
  • https://radiomed.ru/sites/default/files/styles/case_slider_image/public/user/19376/img-0002-00084.jpg?itok=fu7XAHjq
  • https://radiomed.ru/sites/default/files/styles/case_slider_image/public/user/19376/img-0002-00085_0.jpg?itok=9uaZXjSY
  • https://radiomed.ru/sites/default/files/styles/case_slider_image/public/user/19376/img-0002-00086.jpg?itok=npHjWPvf
  • https://radiomed.ru/sites/default/files/styles/case_slider_image/public/user/19376/img-0002-00087.jpg?itok=AGFoKRo9
  • https://radiomed.ru/sites/default/files/styles/case_slider_image/public/user/19376/img-0001-00001_0.jpg?itok=qkKIuFOG
  • https://radiomed.ru/sites/default/files/styles/case_slider_image/public/user/19376/img-0001-00002.jpg?itok=2FBdlVYV
  • https://radiomed.ru/sites/default/files/styles/case_slider_image/public/user/19376/img-0003-00022.jpg?itok=2hpE4Ccx
  • https://radiomed.ru/sites/default/files/styles/case_slider_image/public/user/19376/img-0003-00023.jpg?itok=NSGi5Zps
  • https://radiomed.ru/sites/default/files/styles/case_slider_image/public/user/19376/img-0003-00024.jpg?itok=Zd-x0OIt
  • https://radiomed.ru/sites/default/files/styles/case_slider_image/public/user/19376/img-0003-00025.jpg?itok=E21spd97
  • https://radiomed.ru/sites/default/files/styles/case_slider_image/public/user/19376/img-0003-00026.jpg?itok=ESRsBfvH
  • https://radiomed.ru/sites/default/files/styles/case_slider_image/public/user/19376/img-0003-00026_0.jpg?itok=V_o8zdQA
  • https://radiomed.ru/sites/default/files/styles/case_slider_image/public/user/19376/img-0003-00027.jpg?itok=zaheKP_H
  • https://radiomed.ru/sites/default/files/styles/case_slider_image/public/user/19376/img-0003-00028.jpg?itok=Y_J5t1RJ
  • https://radiomed.ru/sites/default/files/styles/case_slider_image/public/user/19376/img-0003-00083.jpg?itok=WlaA4qUn
  • https://radiomed.ru/sites/default/files/styles/case_slider_image/public/user/19376/img-0003-00085.jpg?itok=fERm9oww
  • https://radiomed.ru/sites/default/files/styles/case_slider_image/public/user/19376/img-0003-00086.jpg?itok=wrmz0C2G
  • https://radiomed.ru/sites/default/files/styles/case_slider_image/public/user/19376/img-0002-00001_5.jpg?itok=fGQRGfkx
  • https://radiomed.ru/sites/default/files/styles/case_slider_image/public/user/19376/img-0003-00001_6.jpg?itok=QZTRKlQe
  • https://radiomed.ru/sites/default/files/styles/case_slider_image/public/user/19376/img-0004-00001_8.jpg?itok=XUur4jNZ
  • https://radiomed.ru/sites/default/files/styles/case_slider_image/public/user/19376/img-0012-00001_4.jpg?itok=IVR6aKy3
  • https://radiomed.ru/sites/default/files/styles/case_slider_image/public/user/19376/img-0012-00001_5.jpg?itok=NzG8FIIT
  • https://radiomed.ru/sites/default/files/styles/case_slider_image/public/user/19376/img-0001-00015_0.jpg?itok=jb7fhUOc
  • https://radiomed.ru/sites/default/files/styles/case_slider_image/public/user/19376/img-0003-00043.jpg?itok=QqCE7Mog
  • https://radiomed.ru/sites/default/files/styles/case_slider_image/public/user/19376/img-0001-00024.jpg?itok=YsXCETc1
ID:38540