Кт таза

Пол пациента: 
Область исследования: 
Методы исследования: 

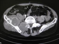
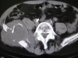
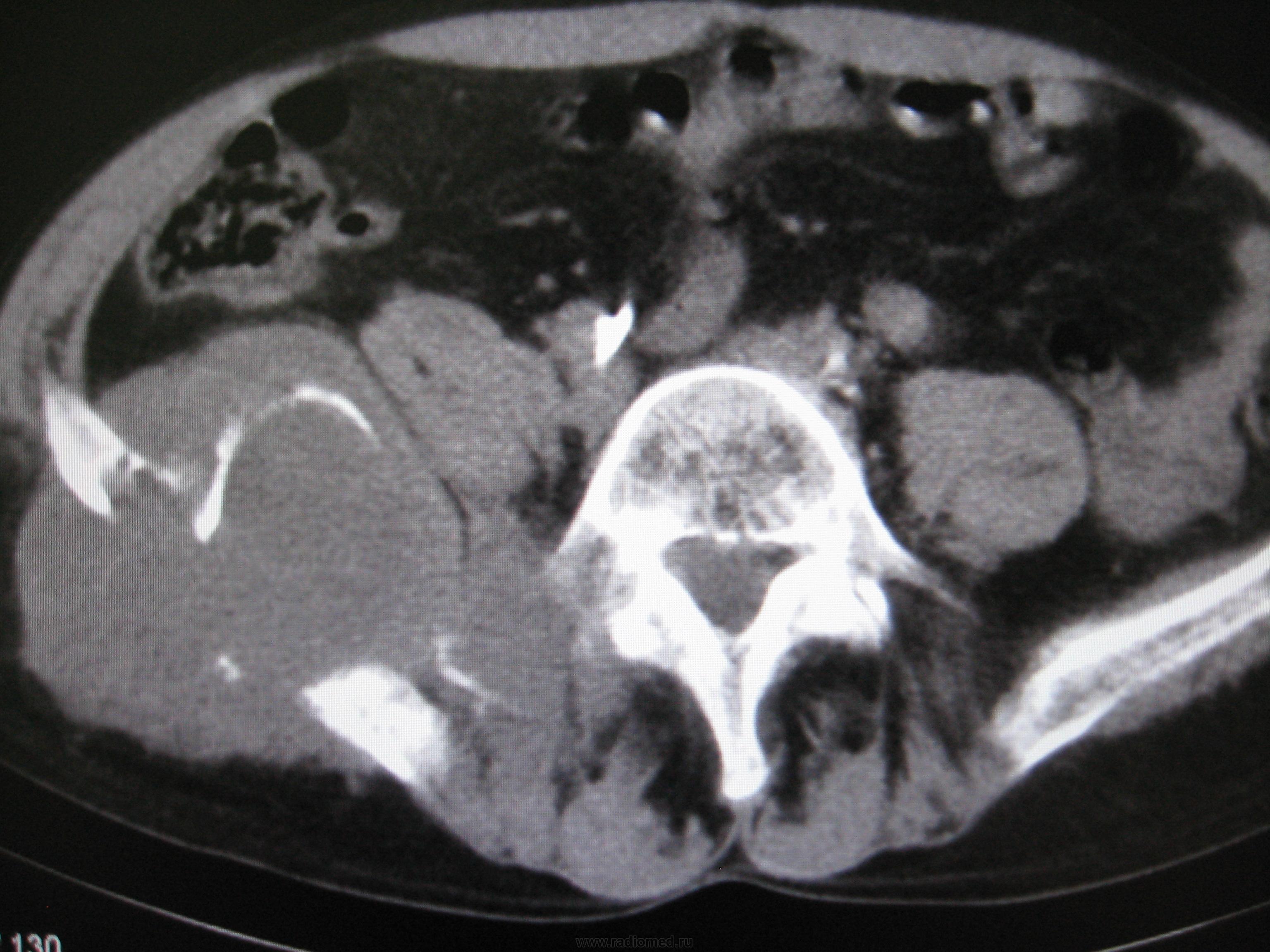
Всем доброго времени суток. Недавно занялся КТ. Вот интересное  наблюдение. Мужчина 40 лет,более полугода боли в тазу, усилились с апреля месяца. Интересно узнать ваши мнения

  • https://radiomed.ru/sites/default/files/styles/case_slider_image/public/user/5245/IMG_3001.JPG?itok=p8YVVy4q
  • https://radiomed.ru/sites/default/files/styles/case_slider_image/public/user/5245/IMG_3002.JPG?itok=Vq8thb2k
ID:4765
Яровит аватар
Не на сайте
Был на сайте: 13 лет 6 месяцев назад
Зарегистрирован: 03.07.2010 - 22:08
Публикации: 95

вот срезы

Приложения: 
IMG_3000.JPGIMG_3001.JPGIMG_3002.JPG
Катенёв Валентин Львович аватар
Не на сайте
Был на сайте: 7 лет 2 недели назад
Зарегистрирован: 22.03.2008 - 22:15
Публикации: 54876

На мой взгляд, врача, не занимающегося КТ, имеет место злокачественное новообразование с разрушением тазовой кости и частично дуги и тела позвонка. Процесс явно "запущенный", визуализируется несколько узлов. значительных размеров "мягкотканный компонент".

ЛГ аватар
Не на сайте
Был на сайте: 8 лет 10 месяцев назад
Зарегистрирован: 06.01.2010 - 12:31
Публикации: 3523

Вот так красота... Не совсем понятен второй узел, у позвоночника справа, но основной, "поедающий" подвздошную кость!... саркомные дела, должно быть.

v1tal аватар
Не на сайте
Был на сайте: 4 года 9 месяцев назад
Зарегистрирован: 07.06.2008 - 19:41
Публикации: 1779

Предположим саркома Юинга.

"Знаешь, у некоторых врачей есть комплекс мессии — им необходимо спасать мир. А у тебя комплекс Рубика — тебе необходимо решать головоломки."

Петрович аватар
Не на сайте
Был на сайте: 7 лет 2 месяцев назад
Зарегистрирован: 22.03.2009 - 01:13
Публикации: 3908

При таких размерах и распространении опухоли, ИМХО роль гистологии не очень важна. А может быть позвонок разрушает узел метастатический?

Неоднозначно всё

Яровит аватар
Не на сайте
Был на сайте: 13 лет 6 месяцев назад
Зарегистрирован: 03.07.2010 - 22:08
Публикации: 95

верно. У пациента верифицированный и уже удалённый около года назад рак правой почки.

Пункцию рекомендовал но будут её делать или нет не так уж важно -  в лечении уже отказано - исследование проводил в присутствии зав радиолог. отделения -"... не поддаётся..."

Катенёв Валентин Львович аватар
Не на сайте
Был на сайте: 7 лет 2 недели назад
Зарегистрирован: 22.03.2008 - 22:15
Публикации: 54876

Что, или кто "не поддается"?

Яровит аватар
Не на сайте
Был на сайте: 13 лет 6 месяцев назад
Зарегистрирован: 03.07.2010 - 22:08
Публикации: 95

Выраженный мягкотканный компонент, местнораспространённый процесс...

Работаю в онкоцентре, так что подобные картинки, к которым  у меня так же порой напрашивается не совсем этичное определение "красота", буду время от времени выкладывать на этом сайте.

Катенёв Валентин Львович аватар
Не на сайте
Был на сайте: 7 лет 2 недели назад
Зарегистрирован: 22.03.2008 - 22:15
Публикации: 54876

Как правильно назвать случай для помещения в набор изображения?

Яровит аватар
Не на сайте
Был на сайте: 13 лет 6 месяцев назад
Зарегистрирован: 03.07.2010 - 22:08
Публикации: 95

Гистологию не знаю. Так что 100%-но не скажу. Наиболее вероятный диагноз - мтс в кости таза первичный очаг -рак почки ( гистологию его к сожалению уже не помню). Консилиум наших рентгенологов (до КТ) ставил ОБК под вопросом, фиброзную дисплазию, мтс-маловероятны. С учётом наличия второго очага ОБК исключена ( на ренгенснимках - за поражение крестца убедительно высказаться нельзя), более вероятны мтс (особенно с учётом наличия верифицированного первичного очага -  мтс в кости таза к тому же являются характерными для рака почки)

Катенёв Валентин Львович аватар
Не на сайте
Был на сайте: 7 лет 2 недели назад
Зарегистрирован: 22.03.2008 - 22:15
Публикации: 54876

Спасибо за ответ.