Пол пациента:
Тип патологии:
Область исследования:
Методы исследования:
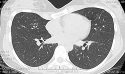
Коллеги, очень нужна ваша помощь. Обратились за консультацией ко мне, ну а я, разумеется, в свой любимый сайт, КТ-шник из меня плачевный. Девушка, 21 год, после прохождения очередной флюорографии отправлена на КТ. Жалоб не предъявляет, анамнез чистый, на предыдущих ФЛГ патологии не обнаружили (к сожалению архив и последний снимок не предоставили, только КТ-шки). Подскажите, пожалуйста, что за патология? Если нужно, скину ссылки на дикие файлы.
Мое мнение очаговый туберкулез S5 верхней доли левого легкого.
Рекомендовать консультацию фтизиатра.
Необходимо дифференцировать с периферическим образованием.
Михаил, а контраст вводил? Выглядит как сосудистая мальформация. Попробуй МИП построение, возможно, увидишь связь с сосудами. Ну, и кривая грудная клетка.
Вы немного поторопились представить материалы. На сайте, по моему впечатлению, преобладают знатоки классической рентгенологии и они могли бы с большей долей вероятности поставить диагноз. Кроме того, я уже не раз писал, что сайт Радиомед это своеобразная школа обучения и повышения квалификации врачей. КТ семиотика в сравнительном аспекте (от классики к КТ) у нас почти не разработатна, а в затруднительных случаях врачи ищут ответ в зарубежных картинках. Ваш случай от обзорной рентгенографии к КТ был бы весьма полезен для Вас и других врачей. Представляя материлы таким образом, на сайте создался бы банк верифицированных наблюдений по различной патологии. Это мои мечты. Что касается Вашего случая, то я бы на первое место поставил туберкулезный генез изменений у молодой женщины. Хотелось бы услышать мнение наших специалистов по КТ диагностике. С ув. Nik.
Сосудистая мальформация более вероятна.
Для подтверждения сосудистой аномалии и снятия вопроса о туберкулезе достаточно сделать контрастное исследование.
https://www.youtube.com/channel/UCBGxoBUOqUT_bFhSeUgtWEw
Дык, были бы снимочки обзорные, так конечно выставил бы. А так, чем богаты, тому и рады. Игорь, исследование не мое, контраст не вводили.
DICOM - можно ссылку?
https://www.youtube.com/channel/UCBGxoBUOqUT_bFhSeUgtWEw
Отправил в личку, Людмила Григорьевна.
Ок, пасибки!

https://www.youtube.com/channel/UCBGxoBUOqUT_bFhSeUgtWEw
А груди на фоне деформации грудной клетки, наверное, выглядят эффектно
кто посмотрел дайкомы послойно, тот наверняка скажет мальформация ли. Ждем-с...
С уважением, С.Н. Нагорный
Правда, по 3 мм... Потому реконструкция не айс)
https://www.youtube.com/channel/UCBGxoBUOqUT_bFhSeUgtWEw
посмотреть Михаил Александрович. Неужели врачи не замечали врожденную патологию на предшествующих рентгенологических исследованиях. Дайте ссылку для коллег.
Здравствуйте Михаил Александрович!
КТ для меня - белая пустыня. Но, отдельные очаги бронхогенного распространения (отсева), на мой взгляд, имеют место быть.
Не по теме...А, раньше на аватарке был краше.
Здравствуйте, Валентин Львович! Не Вы первый по поводу авы, поменяю конечно, на что нибудь посвежее. Я почему не опубликовал ссылку здесь, там ведь и личная информация пациента, неэтично как-то. Сейчас в личку всем раскидаю.
картинки
https://www.youtube.com/channel/UCBGxoBUOqUT_bFhSeUgtWEw
Не замечали ли раньше врачи... а сколько к 21 году у неё пройдено ФЛГ?) АВМ могут в пубертате и постпубертате расти.
https://www.youtube.com/channel/UCBGxoBUOqUT_bFhSeUgtWEw
Год назад точно делала, со слов - чисто.
На цифровике часть изменений не видна, а у девочки аккурат за передним отрезком 4-го ребра и прячется), размеры-то 1х1,25 см.
https://www.youtube.com/channel/UCBGxoBUOqUT_bFhSeUgtWEw
Выведите MIP, плз. Пока нет возможности скачать.
С уважением, С.Н. Нагорный
Завтра, ок? Все на работе оставил, там и закачивал. А дома инет как гусеница - пока сам скачаю, рассветет уже)
У меня MIP не выводится, сорри!
https://www.youtube.com/channel/UCBGxoBUOqUT_bFhSeUgtWEw
Посмотрел аксиалы, что тут выложены. Не сложилось впечатления о мальформации... На первое место очаговый тубер бы написал исходя их предоставленного материала.
С уважением, С.Н. Нагорный
Может, Вы и правы, я только предполагаю АВМ. Тут часть дайкомов в зоне интереса, анонимизировано 9,7 мегов, выбрать обычное скачивание - срезы по 1 мм: http://files.mail.ru/NG508N
https://www.youtube.com/channel/UCBGxoBUOqUT_bFhSeUgtWEw
Диаскин тест отрицательный.
Слово к делу не пришьешь. Зачем делала флюорографию 1 год назад? Манту хочу. Пока Диаскинтест метод спорный.
С MIP тоже не выходит. Ерунда какая-то получается. Мож чет не так делаю... Nik, по поводу Манту не в курсе, если узнаю, сообщу.
+1
И, к фтизиатру..., областная (профильная) больничка то рядом, да и начмед хороший, никогла в обследовании и помощи не отказывала - классная женщина-коллега!