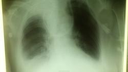
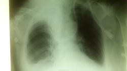
Здравствуйте, дорогие коллеги! Сегодня я весь день ломал голову о том, куда и как поставлен этот катетер, но ничего вразумительного в мою голову так и не пришло. Сейчас предлагаю высказать свои предположения вам.
P.S. на момент окончания рабочего дня обсуждалась возможность выполнения КТ, так что завтра все станет ясно и если получится - выложу исследование
О пациентке: Пациентка длительное время на гемодиализе, был перманентный катетер, но он начал "строчить" тромбами в оба легких, поэтмоу его пришлось удалить. Без диализа у пациентки стала наростать жидкость в плевральных полостях. Было решено снова поставить диализный катетер, результат этого решения вы и видите...
И самое интересное, кровь из этого катетера венозная... Из-за большой кровопотери и уровня МНО поставить новый катетер возможностинет, если убрать этот - пациентка долго не проживет.. Вот такая вот ситуация.
Заранее огромное спасибо за ваше участие и мнение!
Мне кажется так: катетер введен в левую подключичную вену,попал в левую плечеголовную вену, через ВПВ в правую плечеголовную вену, а затем в правую яремную вену.
"Слушай всех, прислушивайся к немногим, решай сам".©
Спасибо большое! Я за целый день тоже пришел к такому выводу, но вот объяснить скиалогическую картину сам себе не могу... Отчего же brachiocephalicа опускается так низко и лежит латеральнее аорты?! Был очень благодарен..
Возможно, будут иные мнения. Но, мне кажется, по другому - никак...Схема не очень удачная, но разобраться можно
"Слушай всех, прислушивайся к немногим, решай сам".©
Коллега, вы абсолютно правы... Сегодня смотрел КТ-исследование - все так как вы и описали... КТ-шники обещали записать исследование на диск, но видмо забегались и забыли...
Спасибо. Было интересно
"Слушай всех, прислушивайся к немногим, решай сам".©