Легкие

Пол пациента: 
Тип патологии: 
Методы исследования: 

Дама, 1966 года рождения. Жалоб нет.

ID:25169
Mila85 аватар
Не на сайте
Был на сайте: 3 года 1 месяц назад
Зарегистрирован: 15.03.2012 - 16:59
Публикации: 1790

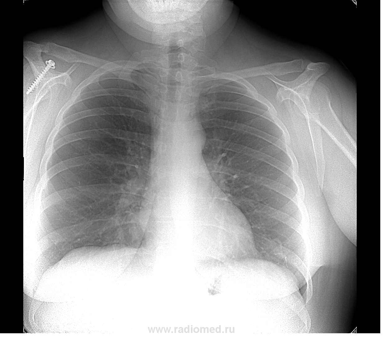
1-е ребро слева какое-то, недоразвитое что ли

Бородулин М.А. аватар
Не на сайте
Был на сайте: 9 месяцев 1 неделя назад
Зарегистрирован: 17.02.2011 - 01:10
Публикации: 1409

Любопытный саморезик.

Mitkampfer аватар
Не на сайте
Был на сайте: 11 лет 1 месяц назад
Зарегистрирован: 27.07.2010 - 07:43
Публикации: 1454

Не буду мучать, что скажете по скиалогии.

первый снимок в 01.2010г.

остальные (добавленные в комментарии) - 12.2012г.

Приложения: 
12.png12.2012.png12.20121.png

Не ограничивайте свою мысль

Живешь пока учишься

Ecrasez l’infame

ЛГ аватар
Не на сайте
Был на сайте: 8 лет 10 месяцев назад
Зарегистрирован: 06.01.2010 - 12:31
Публикации: 3523

Неужели аспергилома в полостном раке? А труба в средостении впечатляет. Есть ли у Вас возможность скидывать дайком?

Mitkampfer аватар
Не на сайте
Был на сайте: 11 лет 1 месяц назад
Зарегистрирован: 27.07.2010 - 07:43
Публикации: 1454

ЛГ wrote:

Неужели аспергилома в полостном раке? А труба в средостении впечатляет. Есть ли у Вас возможность скидывать дайком?

а так бывает?

Не ограничивайте свою мысль

Живешь пока учишься

Ecrasez l’infame

ЛГ аватар
Не на сайте
Был на сайте: 8 лет 10 месяцев назад
Зарегистрирован: 06.01.2010 - 12:31
Публикации: 3523

Распределите свой вопрос по моему ответу))))   КАК так?

Mitkampfer аватар
Не на сайте
Был на сайте: 11 лет 1 месяц назад
Зарегистрирован: 27.07.2010 - 07:43
Публикации: 1454

аспергилома в раке.

про дайком не понял зачем вам?

Не ограничивайте свою мысль

Живешь пока учишься

Ecrasez l’infame

ЛГ аватар
Не на сайте
Был на сайте: 8 лет 10 месяцев назад
Зарегистрирован: 06.01.2010 - 12:31
Публикации: 3523

Посмотреть в привычном глазу режиме яркости и контрастности. Аспергиллома - кукушонок, предпочитает чужие гнёзда. Хотя, мне ни разу не попадалось такое сочетание).

Mitkampfer аватар
Не на сайте
Был на сайте: 11 лет 1 месяц назад
Зарегистрирован: 27.07.2010 - 07:43
Публикации: 1454

так значит рак + аспергиллема?

Не ограничивайте свою мысль

Живешь пока учишься

Ecrasez l’infame

Mitkampfer аватар
Не на сайте
Был на сайте: 11 лет 1 месяц назад
Зарегистрирован: 27.07.2010 - 07:43
Публикации: 1454

это цифровой снимок - флг.

Не ограничивайте свою мысль

Живешь пока учишься

Ecrasez l’infame

ЛГ аватар
Не на сайте
Был на сайте: 8 лет 10 месяцев назад
Зарегистрирован: 06.01.2010 - 12:31
Публикации: 3523

Да. И да. Думала, цифровая ФЛГ. Сорри, отстала))

Андрей Юрьевич аватар
Не на сайте
Был на сайте: 2 дня 14 часов назад
Зарегистрирован: 16.11.2008 - 22:16
Публикации: 18098

Итак, имеем: нечто периферическое полостное (то, чего раньше не было) с лимфоаденопатией корня и средостения. На мой взгляд , наиболее вероятно  - р-признаки полостной формы периферического рака с метастазами в средостение.

Андрей Юрьевич

Андрей Юрьевич аватар
Не на сайте
Был на сайте: 2 дня 14 часов назад
Зарегистрирован: 16.11.2008 - 22:16
Публикации: 18098

Mitkampfer wrote:

это цифровой снимок - флг.


Это цифровой снимок - jpeg, а ЛГ  просила цифровой снимок dicom

Андрей Юрьевич

Бородулин М.А. аватар
Не на сайте
Был на сайте: 9 месяцев 1 неделя назад
Зарегистрирован: 17.02.2011 - 01:10
Публикации: 1409

Учитывая динамику гистологически вероятно будет мелкоклеточный рак.

Но верификация обязательна. Возможна другая патология

Нормандия аватар
Не на сайте
Был на сайте: 11 лет 8 месяцев назад
Зарегистрирован: 10.11.2012 - 10:49
Публикации: 81

значит дело за мокротой.

И,может, все же прав поэт? Не верится,что это враки. Чем ближе узнаю людей,тем больше нравятся собаки.

Бородулин М.А. аватар
Не на сайте
Был на сайте: 9 месяцев 1 неделя назад
Зарегистрирован: 17.02.2011 - 01:10
Публикации: 1409

Нормандия wrote:

значит дело за мокротой.

Нет дело за головой. А может за печенью

Mitkampfer аватар
Не на сайте
Был на сайте: 11 лет 1 месяц назад
Зарегистрирован: 27.07.2010 - 07:43
Публикации: 1454

Бородулин М.А. wrote:

Учитывая динамику гистологически вероятно будет мелкоклеточный рак.

Но верификация обязательна. Возможна другая патология

например?

Не ограничивайте свою мысль

Живешь пока учишься

Ecrasez l’infame

Бородулин М.А. аватар
Не на сайте
Был на сайте: 9 месяцев 1 неделя назад
Зарегистрирован: 17.02.2011 - 01:10
Публикации: 1409

Mitkampfer wrote:

Бородулин М.А. wrote:

Учитывая динамику гистологически вероятно будет мелкоклеточный рак.

Но верификация обязательна. Возможна другая патология

например?

Например патология осуждаемая Вами выше, без упоминания о полостной форме рака.