Пол пациента:
Тип патологии:
Область исследования:
Методы исследования:
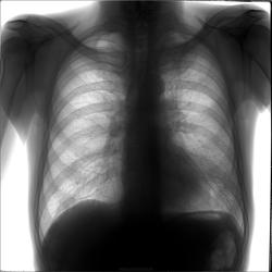
Этот случай с установленным диагнозом. Написала я его неправильно, хотя первая мысль была правильная, и на флэшку скинула его под правильным диагнозом, но тогда случай не стала выставлять как слишком понятный.. Мужчина 1955 гр пришел к нам в феврале с жалобами на кашель и слабость после выписки из больницы, где лежал с сотрясением мозга. В больнице обнаружили изменения и отправили на дообследование по месту жительства. Объективно мужчина бледный, худой. Какие будут мнения?
Вроде как инфильтрат в левой верхушке.С дорожкой к корню.Внизу слева вероятны отсевы.
Правильно-неправильно, расценил бы как туберкулез.
Андрей Юрьевич
Аналогично. ТВС вне конкуренции.
Ммм, может быть у кого-то есть альтернативные туберкулезу мнения?
Туберкульоз инфильтративный с дессименацией. Если б не отсевы внизу можно было бы подумать еще про периферический рак. Пенкоста, например.
"Обучая других - учишься сам". Н.И.Пирогов
Без томограмм не стал бы окончательно оценивать и высказываться, особенно, раз пациент отправлен из стационара на дообследование.
С уважением,
С задним отрезком 7 ребра слева все нормально?
С противоположной стороны так же (на мой взгляд), нормально.
С уважением,
Пациент нами был отправлен в тубдиспансер.. Оттуда после долгого обследования пришел ответ - Neo, метастазы. Туберкулез исключен. Насчет локализации опухоли не сказали..
Так что это односторонний карциноматоз
Примерно у 1/3 больных с изолированным поражением легких наблюдаются единичные метастазы, которые в 70-90% случаев располагаются на периферии легких и потому могут подвергаться хирургическому или комбинированному лечению.
Метастатические опухоли легкого - Противораковое общество ...
Анатолий Петрович
То есть: пациент лежал в стационаре с сотрясением мозга - были выявлены изменения в легких (вероятно, на рентгенограммах) - направлен на дообследование (сделаны опять рентгенограммы) - направлен в ПТД.
Вопрос - в чем выразилось дообследование и где предыдущие рентгенограммы, которые при дообследовании должны передаваться по цепочке? (чиста интересна - в плане опыта)))
С уважением,
Из стационара снимков не дали, выписка с описанием изменений в легких и рекомендованной консультацией фтизиатра. Пока больной нес выписку, сами решили что по логике вещей наиболее вероятен туберкулез. У нас сделали ФЛГ, потом сделали контроль на обычном аппарате и со снимками больной пошел в ПДТ... Там ему конечно тоже делали снимки..
Стационары вообще практичсеки никогда снимки не дают - наверное там цифровая аппаратура и просто экономят свою пленку
Классика... А линеечка не работает?
С уважением,
У нас приставка, ее тыщу лет уже не подключали и вроде как там что-то утеряно или сломано. В любом случае, наш районный ПТД очень любит делать линейки, поэтому сами мы не беремся
При всем уважении лично к Вам, Mila85, не могу считать, что...
Андрей Юрьевич
С условно установленным конечно. Завтра ради любопытства сама в ПТД отзвонюсь, может какие подробности расскажут. У нас все коллеги единогласно решили, что это туберкулез, да я и сама была уверена.. Единственное смущал странный вид очагов (очень-очень мелкие), слишком тяжелое общее состояние.. ну и почему-то первой мыслью был карциноматоз, хотя в общем ничего не предвещало
это центральный рак слева? Объём легочного поля слева уменьшен, корень расширн, гиповентиляция...
Н.Б.
Да, возможно опухоль по типу панкоста, как кто-то написал, а внизу уже метастазирование
проявляется метастазирование? Все легочное поле слева пониженной прозрачности, средостение смещено влево.
Н.Б.
Здесь на сайте может быть не очень видно - там не просто понижение прозрачности, а усиление легочного рисунка и мельчайшие очаги