пациентка не захотела второй снимок, т.к все изменения давние и о них знает, а я ее смотрю первый раз. все ясно, и вновь спасибо вам, Алексей Станиславович!
По всей видимости, тут будет, как ранее высказывался коллега, солидный "метатуберкулёзный архив" - там и петрификаты в бронхопульмональных с обеих сторон, и очаги справа (если не свежие, может, туберкуломы) - не менее трёх...
По всей видимости, тут будет, как ранее высказывался коллега, солидный "метатуберкулёзный архив" - там и петрификаты в бронхопульмональных с обеих сторон, и очаги справа (если не свежие, может, туберкуломы) - не менее трёх...
Верхний да согласна, но остальные два это разве не обызвествление хрящей?? С другой стороны тоже самое на ребрах, симметрично (может на фото не так видно)или я уже совсем не того ...
По всей видимости, тут будет, как ранее высказывался коллега, солидный "метатуберкулёзный архив" - там и петрификаты в бронхопульмональных с обеих сторон, и очаги справа (если не свежие, может, туберкуломы) - не менее трёх...
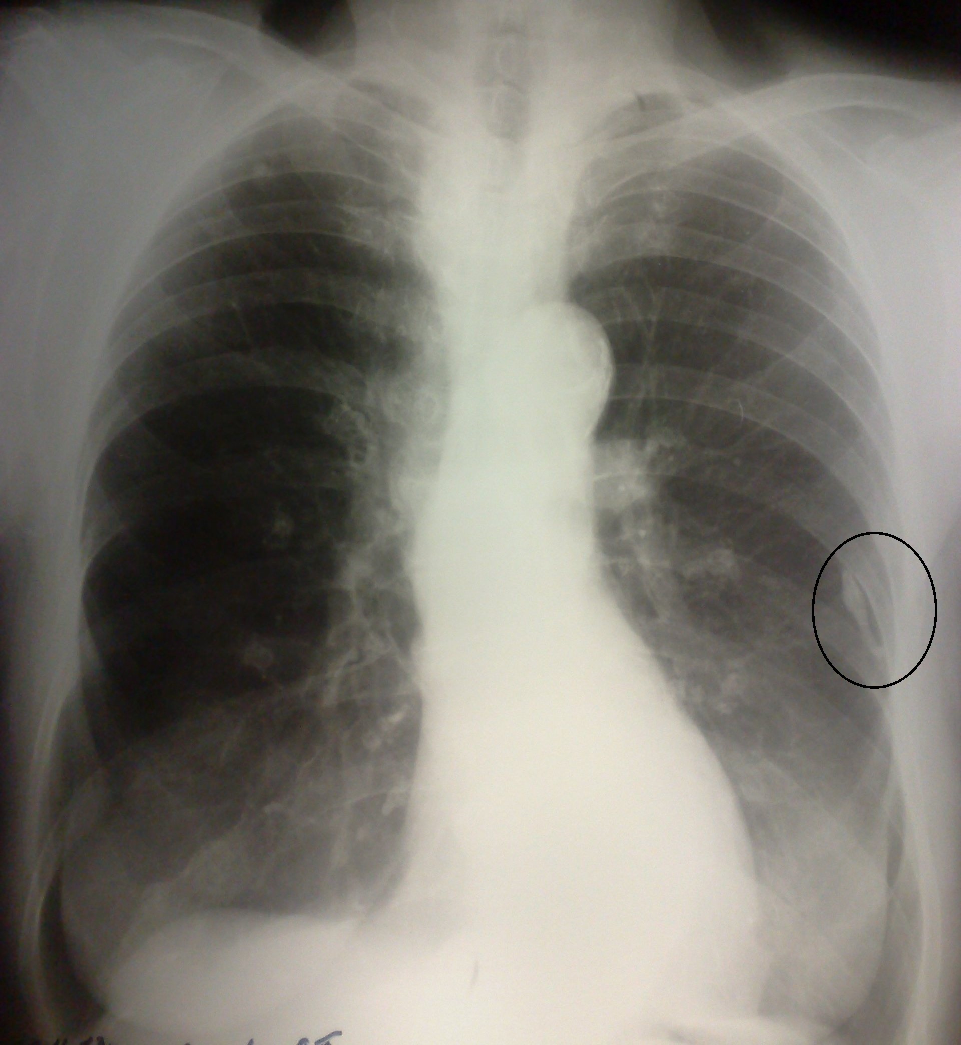
Не покажите ли?
Если Вы про очаги, которые, возможно, не так стары. Вот они - поставил несколько - на Ваш выбор.) Согласен, один может быть бугорком ребра, второй - ортогональным сосудом, третий - иллюзией, другой - обызвествляющимся ребром... Всё может быть. Но качество оставляет место для воображения. Эх, тут бы глаз Mitkampfera, особенно когда издалека, фантазию мне алкса - тогда бы закрутилась свистопляска!)) А так - только предположение. То что хрящи с обеих сторон - это понятно. Но там не только есть они. Когда свой взгляд на снимке малевал, обратил внимание на плотность верхнего средостения у старичка. И диаметр трахеи... очень как-то не совсем. Теперь имею предложение на КТ на зависть всем...
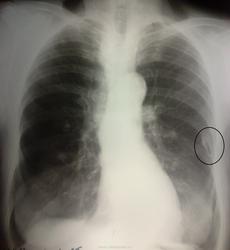
Добавил бы еще рекомендацию по УЗИ щитовидной железы, но изначальная "загагулина" совсем обидится. Описал бы последнюю как тень обызвествления в плащевой зоне на пятом ребре слева, в заключении - рекомендована левая боковая проекция.
Добавил бы еще рекомендацию по УЗИ щитовидной железы, но изначальная "загагулина" совсем обидится. Описал бы последнюю как тень обызвествления в плащевой зоне на пятом ребре слева, в заключении - рекомендована левая боковая проекция.
Дмитрий, если Вы про обозначенное мной затемнение справа у трахеи, думаю, что щитовидная обидется, что Вы её так спустили - низковато для неё теснится в грудной полости.)
Дмитрий, если Вы про обозначенное мной затемнение справа у трахеи, думаю, что щитовидная обидется, что Вы её так спустили - низковато для неё теснится в грудной полости.)
Может и не обидится. Я же не просто- щитовидная железа- напишу, я- узловой зоб- напишу.
Дмитрий, если Вы про обозначенное мной затемнение справа у трахеи, думаю, что щитовидная обидется, что Вы её так спустили - низковато для неё теснится в грудной полости.)
Может и не обидится. Я же не просто- щитовидная железа- напишу, я- узловой зоб- напишу.
ХитрО!) Но всё же как-то затемнение это круглится именно в полости в грудной, словно в темнице - на шее не заметил его я продолжения. Хотя, быть может, это сосуд всего лишь - вена то бишь, так уплотнилась-изогнулась. Но сомнение оставлю всё же.
Плевральная "козявка", в чем можно было бы убедиться, имея стандартный боковой.
С уважением,
пациентка не захотела второй снимок, т.к все изменения давние и о них знает, а я ее смотрю первый раз. все ясно, и вновь спасибо вам, Алексей Станиславович!
Всегда пожалуйста))
С уважением,
Плевральное наслоение слева+очаг справа на верхушке.
По всей видимости, тут будет, как ранее высказывался коллега, солидный "метатуберкулёзный архив" - там и петрификаты в бронхопульмональных с обеих сторон, и очаги справа (если не свежие, может, туберкуломы) - не менее трёх...
--------------
"Просто, по видимости, не видеть логики в очевидных вещах - это тоже одно из свойств некоторых умов, наряду с грустными думами о свойствах ума других." © Vega 08/10/2011
Вот они.
Слева-да,на рёбрах,а справа-не на рёбрах.
Если Вы про очаги, которые, возможно, не так стары. Вот они - поставил несколько - на Ваш выбор.) Согласен, один может быть бугорком ребра, второй - ортогональным сосудом, третий - иллюзией, другой - обызвествляющимся ребром... Всё может быть. Но качество оставляет место для воображения. Эх, тут бы глаз Mitkampfera, особенно когда издалека, фантазию мне алкса - тогда бы закрутилась свистопляска!)) А так - только предположение. То что хрящи с обеих сторон - это понятно. Но там не только есть они. Когда свой взгляд на снимке малевал, обратил внимание на плотность верхнего средостения у старичка. И диаметр трахеи... очень как-то не совсем. Теперь имею предложение на КТ на зависть всем...
--------------
"Просто, по видимости, не видеть логики в очевидных вещах - это тоже одно из свойств некоторых умов, наряду с грустными думами о свойствах ума других." © Vega 08/10/2011
Спасибо вам за мнение!
Добавил бы еще рекомендацию по УЗИ щитовидной железы, но изначальная "загагулина" совсем обидится. Описал бы последнюю как тень обызвествления в плащевой зоне на пятом ребре слева, в заключении - рекомендована левая боковая проекция.
С Уважением, Дмитрий.
Сдается мне, что необходим правый бок, т.к. верхняя доля справа эмфизематозна, соответственно возможен ателектах н\ доли?
Дмитрий, если Вы про обозначенное мной затемнение справа у трахеи, думаю, что щитовидная обидется, что Вы её так спустили - низковато для неё теснится в грудной полости.)
--------------
"Просто, по видимости, не видеть логики в очевидных вещах - это тоже одно из свойств некоторых умов, наряду с грустными думами о свойствах ума других." © Vega 08/10/2011
"Пей сок и не булькай!
Ведь что говорят врачи?
Три пачки витаминов убивают лошадь!"
Эт точно, если бросить изо всех сил в голову лошадке!
А, вообще такую рекламку, прикрывать надо бы...
А админы где?Ау!
Может и не обидится. Я же не просто- щитовидная железа- напишу, я- узловой зоб- напишу.
С Уважением, Дмитрий.
ХитрО!) Но всё же как-то затемнение это круглится именно в полости в грудной, словно в темнице - на шее не заметил его я продолжения. Хотя, быть может, это сосуд всего лишь - вена то бишь, так уплотнилась-изогнулась. Но сомнение оставлю всё же.
--------------
"Просто, по видимости, не видеть логики в очевидных вещах - это тоже одно из свойств некоторых умов, наряду с грустными думами о свойствах ума других." © Vega 08/10/2011