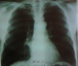
Легкие

Мужчина лет 50-ти.Жалобы на кашель с мокротой, субфебрильную температуру.Пока лечим пневмонию.

  • https://radiomed.ru/sites/default/files/styles/case_slider_image/public/user/5662/pricel1.jpg?itok=HHmKiZrF
  • https://radiomed.ru/sites/default/files/styles/case_slider_image/public/user/5662/bok1.jpg?itok=cd9qcfuz
ID:54534
Rg-Doc аватар
Не на сайте
Был на сайте: 8 лет 8 месяцев назад
Зарегистрирован: 22.03.2008 - 12:25
Публикации: 333

Значит через 14 дней рентгенконтроль. И... На томографию... Линейную. Или компьютерную. Смотря какая есть.

А по-существу тень не очень красивая. На прямой я ее не вижу, может потому что снимок переэкспонированный.

Кстати, боковые снимки сделаны с какой переодичностью?

Helios аватар
Не на сайте
Был на сайте: 7 месяцев 3 недели назад
Зарегистрирован: 06.08.2010 - 15:16
Публикации: 4417

Уважаемый коллега!На прямой тень прилежит практически к корню.Боковые снимки делались в один день( сегодня).Прямой тоже.Первичные снимки от 22.02.2011 сделаны цифровым флюорографом-без динамики.По мне тоже тень не особо привлекательна.

Helios аватар
Не на сайте
Был на сайте: 7 месяцев 3 недели назад
Зарегистрирован: 06.08.2010 - 15:16
Публикации: 4417

Кстати, на ЦФГ боковой не делался, только прямой передний и задний.А на контроле уже боковой сделали.

Приложения: 
pricel_ogk.jpg
Бородулин М.А. аватар
Не на сайте
Был на сайте: 9 месяцев 2 недели назад
Зарегистрирован: 17.02.2011 - 01:10
Публикации: 1409

При пневмонии хотя бы 1-день, но обязательно  температура должна быть выше 38. В противном случае речь идет о других болезнях.

Helios аватар
Не на сайте
Был на сайте: 7 месяцев 3 недели назад
Зарегистрирован: 06.08.2010 - 15:16
Публикации: 4417

Не знаю, может быть выше 38 и была.

Fujimi аватар
Не на сайте
Был на сайте: 12 лет 6 месяцев назад
Зарегистрирован: 20.01.2011 - 23:08
Публикации: 259

Бородулин М.А. wrote:

При пневмонии хотя бы 1-день, но обязательно  температура должна быть выше 38. В противном случае речь идет о других болезнях.

Слишком упрощенный подход к трактовке пневмонии: ммунодефицит, атипичное течение, параканкрозная - слишком много вариантов. Субфебриллитет исключает пневмонию? Не думаю.

Не рискну трактовать такие снимки - кроме подозрения на расширение правого корня, ничего толком не видно, к сожалению.  Согласна с 1-м постом, контроль после противовоспалительного лечения. 

Helios аватар
Не на сайте
Был на сайте: 7 месяцев 3 недели назад
Зарегистрирован: 06.08.2010 - 15:16
Публикации: 4417

Прямой снимок, конечно, переэкспонирован, боковой ( фотограф из меня никудышный, хотя следовала советам коллег)получился не очень, но, если его не увеличивать, то "тенюшку"на фоне сердечной тени видать хорошо.

Бородулин М.А. аватар
Не на сайте
Был на сайте: 9 месяцев 2 недели назад
Зарегистрирован: 17.02.2011 - 01:10
Публикации: 1409

Fujimi wrote:

Бородулин М.А. wrote:

При пневмонии хотя бы 1-день, но обязательно  температура должна быть выше 38. В противном случае речь идет о других болезнях.

Слишком упрощенный подход к трактовке пневмонии: ммунодефицит, атипичное течение, параканкрозная - слишком много вариантов. Субфебриллитет исключает пневмонию? Не думаю.

Не рискну трактовать такие снимки - кроме подозрения на расширение правого корня, ничего толком не видно, к сожалению.  Согласна с 1-м постом, контроль после противовоспалительного лечения. 

Температура - это проявление синдрома интоксиции.В условиях обильного и медленного  кровотока, всасывание токсинов будет всегда значительным. Повышение температуры - это программа развития заболевания пневмонии. Так, что нужно думать именно так.

При пневмонии, наболее часто простая задача на 1 действие. Человек + возбудитель (желательно по Имени и Отчеству) = клиника. Задача усложнятся, если добавляются дополнительные компоненты к слагаемым,  и когда появлятся третье слагамое (проведенная терапия).

Rg-Doc аватар
Не на сайте
Был на сайте: 8 лет 8 месяцев назад
Зарегистрирован: 22.03.2008 - 12:25
Публикации: 333

Бородулин М.А. wrote:

Fujimi wrote:

Бородулин М.А. wrote:

При пневмонии хотя бы 1-день, но обязательно  температура должна быть выше 38. В противном случае речь идет о других болезнях.

Слишком упрощенный подход к трактовке пневмонии: ммунодефицит, атипичное течение, параканкрозная - слишком много вариантов. Субфебриллитет исключает пневмонию? Не думаю.

Не рискну трактовать такие снимки - кроме подозрения на расширение правого корня, ничего толком не видно, к сожалению.  Согласна с 1-м постом, контроль после противовоспалительного лечения. 

Температура - это проявление синдрома интоксиции.В условиях обильного и медленного  кровотока, всасывание токсинов будет всегда значительным. Повышение температуры - это программа развития заболевания.

При ареактивности организма необязательно будет фебрильная температура, также как и не обязательно будет лейкоцитоз со сдвигом влево и ускорением СОЭ. Хотя при этом рентгенкартина легких будет давать 100% пневмонию. За примером далеко ходить не буду, в реанимации похоронили больного с вирусно-бактериальной пневмонией. И течение именно такое, какое я и описал.

Бородулин М.А. аватар
Не на сайте
Был на сайте: 9 месяцев 2 недели назад
Зарегистрирован: 17.02.2011 - 01:10
Публикации: 1409

Я сделал оговорку ранее: Хотя бы один день!

Rg-Doc аватар
Не на сайте
Был на сайте: 8 лет 8 месяцев назад
Зарегистрирован: 22.03.2008 - 12:25
Публикации: 333

Бородулин М.А. wrote:

Я сделал оговорку ранее: Хотя бы один день!

В том-то и дело, при ОРВИ на фоне которой развилась пневмония, была температура. Но это не говорит о том, что это пневмоническая гипертермия.

Бородулин М.А. аватар
Не на сайте
Был на сайте: 9 месяцев 2 недели назад
Зарегистрирован: 17.02.2011 - 01:10
Публикации: 1409

Rg-Doc wrote:

Бородулин М.А. wrote:

Я сделал оговорку ранее: Хотя бы один день!

В том-то и дело, при ОРВИ на фоне которой развилась пневмония, была температура. Но это не говорит о том, что это пневмоническая гипертермия.

Едиственное ОРВИ в программу которого входит ВЫСОКАЯ! температура (у взрослых) имеет название грипп. См. учебник  инфекционных болезней (клинические особенности).

Евгений1313 аватар
Не на сайте
Был на сайте: 13 лет 1 неделя назад
Зарегистрирован: 15.10.2010 - 19:13
Публикации: 808

Полечим ,посмотрим.Возможно больше ничего и не надо.