Легкие ребенка

Пол пациента: 
Тип патологии: 
Методы исследования: 

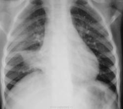
Девочка 5 лет.Проходила обследование для консультации пульмонологом респуб.больницы как часто болеющая.Жалоб особо нет,редкое покашливание.Температура нормал.,хрипов в легких нет.ВАШЕ МНЕНИЕ?

  • https://radiomed.ru/sites/default/files/styles/case_slider_image/public/user/14624/p1010024.jpg?itok=mUHVDnWC
  • https://radiomed.ru/sites/default/files/styles/case_slider_image/public/user/12/1111.aaa_..jpg?itok=h91jC7hm
  • https://radiomed.ru/sites/default/files/styles/case_slider_image/public/user/12/2222..bbb_..jpg?itok=Y7FNEg1M
ID:18789
Катенёв Валентин Львович аватар
Не на сайте
Был на сайте: 7 лет 3 месяцев назад
Зарегистрирован: 22.03.2008 - 22:15
Публикации: 54876

Междолевой осумкованный выпот.

Nikolas аватар
Не на сайте
Был на сайте: 3 часа 55 минут назад
Зарегистрирован: 21.12.2010 - 20:37
Публикации: 4560

к фтизиатрам. Не теряйте время. Прошу Вас рассказать о результатах обследования в ПТД.

Андрей Юрьевич аватар
Не на сайте
Был на сайте: 1 месяц 2 недели назад
Зарегистрирован: 16.11.2008 - 22:16
Публикации: 18101

На мой взгляд - ателектаз средней доли правого легкого. Показана бронхоскопия.

Андрей Юрьевич

Ola-la аватар
Не на сайте
Был на сайте: 1 год 4 недели назад
Зарегистрирован: 06.12.2008 - 09:33
Публикации: 1786

Ателектаз средней доли справа. Рекомендована бронхоскопия.

mom аватар
mom
Не на сайте
Был на сайте: 14 лет 4 недели назад
Зарегистрирован: 22.07.2010 - 17:21
Публикации: 6

Я за ателектаз.

Evgeni аватар
Не на сайте
Был на сайте: 11 лет 3 месяцев назад
Зарегистрирован: 12.06.2010 - 19:53
Публикации: 2

На мой взгляд, картина типичная для среднедолевого синдрома

Евгений1313 аватар
Не на сайте
Был на сайте: 13 лет 3 месяцев назад
Зарегистрирован: 15.10.2010 - 19:13
Публикации: 808

По моему обтурационный ателектаз средней доли. Обследовать на предмет инородного тела.

И.Бондаренко аватар
Не на сайте
Был на сайте: 1 день 12 часов назад
Зарегистрирован: 13.09.2011 - 22:55
Публикации: 9209

+1 за ателектаз

Gulnara аватар
Не на сайте
Был на сайте: 6 лет 1 месяц назад
Зарегистрирован: 14.12.2011 - 18:54
Публикации: 168

Всем спасибо!Ребенок в стационаре.Самочувствие хорошее.Собираются в респуб.поликлинику.Бронхоскопию у нас не делают.Повторим рентген,снимок выложу.

Катенёв Валентин Львович аватар
Не на сайте
Был на сайте: 7 лет 3 месяцев назад
Зарегистрирован: 22.03.2008 - 22:15
Публикации: 54876

Gulnara wrote:

Всем спасибо!Ребенок в стационаре.Самочувствие хорошее.Собираются в респуб.поликлинику.Бронхоскопию у нас не делают.Повторим рентген,снимок выложу.

Будем ждать

Игорь Иванович аватар
Не на сайте
Был на сайте: 4 года 1 неделя назад
Зарегистрирован: 23.01.2010 - 14:56
Публикации: 3695

А почему ателектаз? Нормальный размер гомогеннозатемненного S5. Только где он на боковой? На боковой похоже на м/д плеврит. Может все-таки осумкованный медиастинальномеждолевой плеврит?

Ola-la аватар
Не на сайте
Был на сайте: 1 год 4 недели назад
Зарегистрирован: 06.12.2008 - 09:33
Публикации: 1786

Нет, не плеврит. Вот здесь http://www.radiomed.ru/blogs/ola-la/rientghienoghrafiia-ghrudnoi-klietki-dievochka-5-liet-0  мы однажды уже обсуждали диф.дз.

Gulnara аватар
Не на сайте
Был на сайте: 6 лет 1 месяц назад
Зарегистрирован: 14.12.2011 - 18:54
Публикации: 168

Снимок в динамике через 3 дня.Вроде как улучшение?Ателектаз расправляется или это пневмония?

Приложения: 
123.jpg
Gulnara аватар
Не на сайте
Был на сайте: 6 лет 1 месяц назад
Зарегистрирован: 14.12.2011 - 18:54
Публикации: 168

этот же снимок

Ola-la аватар
Не на сайте
Был на сайте: 1 год 4 недели назад
Зарегистрирован: 06.12.2008 - 09:33
Публикации: 1786

Ателектаз сохраняется, просто контуры его на этой рентгенограмме выглядят нечеткими (немного другое положение ребенка, для лучшей визуализации ателектаза средней доли лучше положение гиперлордоза, как в первом случае).

Игорь Иванович аватар
Не на сайте
Был на сайте: 4 года 1 неделя назад
Зарегистрирован: 23.01.2010 - 14:56
Публикации: 3695

Ola-la wrote:

Нет, не плеврит. Вот здесь http://www.radiomed.ru/blogs/ola-la/rientghienoghrafiia-ghrudnoi-klietki-dievochka-5-liet-0  мы однажды уже обсуждали диф.дз.

Спасибо! На это на каждых курсах акцентируют внимание (там на все акцентируют), но пока через себя не пропустишь-не поедешь. Главное знать об этих проблемах и знать, где посмотреть.

Катенёв Валентин Львович аватар
Не на сайте
Был на сайте: 7 лет 3 месяцев назад
Зарегистрирован: 22.03.2008 - 22:15
Публикации: 54876

Gulnara wrote:
Снимок в динамике через 3 дня.Вроде как улучшение?Ателектаз расправляется или это пневмония?

А, где боковой?

Катенёв Валентин Львович аватар
Не на сайте
Был на сайте: 7 лет 3 месяцев назад
Зарегистрирован: 22.03.2008 - 22:15
Публикации: 54876

Ola-la wrote:

Нет, не плеврит.

Так однозначно?

Приложения: 
1._pl2001.osumk_.slayd47.jpg2.o.slayd3_.jpg4.o.slayd5_.jpg23.o.slayd24.jpg24.o.slayd25.jpg25.o.slayd26.jpg27.o.slayd28.jpg35.o.slayd36.jpg
Ola-la аватар
Не на сайте
Был на сайте: 1 год 4 недели назад
Зарегистрирован: 06.12.2008 - 09:33
Публикации: 1786

Однозначно.

Катенёв Валентин Львович аватар
Не на сайте
Был на сайте: 7 лет 3 месяцев назад
Зарегистрирован: 22.03.2008 - 22:15
Публикации: 54876

1. Интересный "ателектаз" средней доли без смещения средостения...

Приложения: 
1.atel_.p1010025_27.jpg2.atel_.p1010025_27a.jpg3.atel_.p1010025_27ad.jpg4.atel_.p1010025_27adshch.jpg
Катенёв Валентин Львович аватар
Не на сайте
Был на сайте: 7 лет 3 месяцев назад
Зарегистрирован: 22.03.2008 - 22:15
Публикации: 54876

2. Интересный "ателектаз" средней доли веретенообразной формы

Приложения: 
1.ate_.p1010024.jpg2.ate_.p1010024a.jpg3.ate_.p1010024an.jpg4.ate_.p1010024ang.jpg5.ate_.p1010024angsh.jpg
Катенёв Валентин Львович аватар
Не на сайте
Был на сайте: 7 лет 3 месяцев назад
Зарегистрирован: 22.03.2008 - 22:15
Публикации: 54876

3. А, то не известковые включения в правом корне?

Приложения: 
1.ate_.p1010024.jpg3.ate_.p1010024an.jpg
Катенёв Валентин Львович аватар
Не на сайте
Был на сайте: 7 лет 3 месяцев назад
Зарегистрирован: 22.03.2008 - 22:15
Публикации: 54876

4. А, ежели судить о "динамике", по такому "прямому" снимку, без бокового, так то к динамике не имеет никакого отношения.

Приложения: 
1._din.123_15.jpg2.din_.123_9.jpg3.din_.123_15a.jpg
Катенёв Валентин Львович аватар
Не на сайте
Был на сайте: 7 лет 3 месяцев назад
Зарегистрирован: 22.03.2008 - 22:15
Публикации: 54876

5. Да, и "тенюху" помеченную стрелкой, при "ателектазе", надо объяснить..., или как?

Приложения: 
1..tenyuha.jpg2._tenyuha..jpg
Gulnara аватар
Не на сайте
Был на сайте: 6 лет 1 месяц назад
Зарегистрирован: 14.12.2011 - 18:54
Публикации: 168

Спасибо,Валентин Львович,за обработку снимков.Консультацию фтизиатра сегодня написала.Как будут результаты,особенно республик.уровня,напишу.Спасибо всем за проявленный интерес к снимкам.

Ola-la аватар
Не на сайте
Был на сайте: 1 год 4 недели назад
Зарегистрирован: 06.12.2008 - 09:33
Публикации: 1786

Смещения срединной тени может и не быть, постоянно вижу ателектазы средней доли у детей, смещения средостения нет. Веретенообразня форма тени ателектаза на рентгенограмме в боковой проекции тоже характерна для ателектаза средней доли. Читаем еще раз  

Ola-la аватар
Не на сайте
Был на сайте: 1 год 4 недели назад
Зарегистрирован: 06.12.2008 - 09:33
Публикации: 1786

Валентин Львович, ваша методика обсуждения случаев  - это только задавать вопросы?

Катенёв Валентин Львович аватар
Не на сайте
Был на сайте: 7 лет 3 месяцев назад
Зарегистрирован: 22.03.2008 - 22:15
Публикации: 54876

Уважаемая коллега!

Я не понял Вашего вопроса о "вопросах".

Вы, как пользователь сайта высказали свою точку зрения. Я, как пользователь сайта, также высказал свою точку зрения. В чем проблема. Я прекрасно понимаю, что Вы работаете в специализированной детской клинике и чаще встречаетесь с "детьми"...Я работаю общим рентгенологом на глубокой периферии в ЦРБ общего профиля, а следовательно могу ошибаться, НО, и Вам и нам, как правильно заметил уважаемый Игорь Иванович, на курсах повышения квалификации "дают основы", а эти основы незыблемы, вот, я и руководствуюсь этими основами, и не только теоретически, но и на практике.

Я, не хотел бы, уважаемая коллега, касаться методики обсуждения случаев. Каждый обсуждает, как может и как считает нужным. Я считаю, что лучше начать с вопроса, возможно Вы считаете, что надо обсуждать с несомненного утверждения, каждый обсуждает, как считает нужным, да и на сайте "Радиомед" регламента обсуждения не существует.

Gulnara аватар
Не на сайте
Был на сайте: 6 лет 1 месяц назад
Зарегистрирован: 14.12.2011 - 18:54
Публикации: 168

Созванивалась с мамой ребенка.Бронхоскопию не делали,только рентген.Со слов мамы: на снимках лучше,диагноз:пневмония

Катенёв Валентин Львович аватар
Не на сайте
Был на сайте: 7 лет 3 месяцев назад
Зарегистрирован: 22.03.2008 - 22:15
Публикации: 54876

Gulnara wrote:

Созванивалась с мамой ребенка.Бронхоскопию не делали,только рентген.Со слов мамы: на снимках лучше,диагноз:пневмония

Что значит "лучше"?

Норма, или как? Времени прошло не мало.

Gulnara аватар
Не на сайте
Был на сайте: 6 лет 1 месяц назад
Зарегистрирован: 14.12.2011 - 18:54
Публикации: 168

Со слов мамы :чуть-чуть осталось.Их положили в гастроотд.Постараюсь,когда приедут посмотреть карточку,а то мама какая-то медлительная

Катенёв Валентин Львович аватар
Не на сайте
Был на сайте: 7 лет 3 месяцев назад
Зарегистрирован: 22.03.2008 - 22:15
Публикации: 54876

А, что они делают с лёгочной патологией в гастроэнтерологии?

Gulnara аватар
Не на сайте
Был на сайте: 6 лет 1 месяц назад
Зарегистрирован: 14.12.2011 - 18:54
Публикации: 168

Лечат гастрит.Обнаружили H.bacter.От мамы тяжело что-то узнать,ничего толком не знает .Поэтому лучше по карточке.