Пол пациента:
Тип патологии:
Область исследования:
Методы исследования:
День добрый, уважаемые коллеги. Помогите, пожалуйста определиться с описанием ОГК ребенка 2 лет.
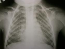
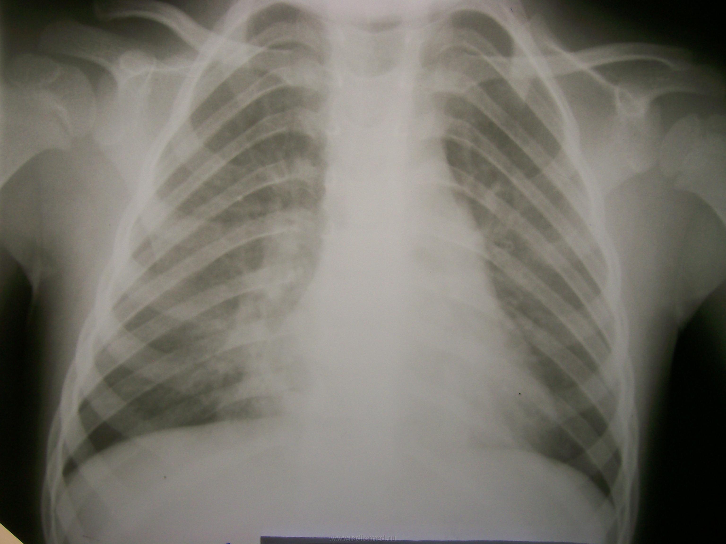
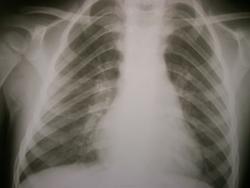
Сегодня сделали снимок, 4 дня лежит в детском отделении: температура до 38, кашель. СОЭ 37, лейкоциты 15
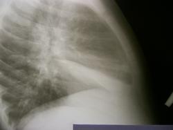
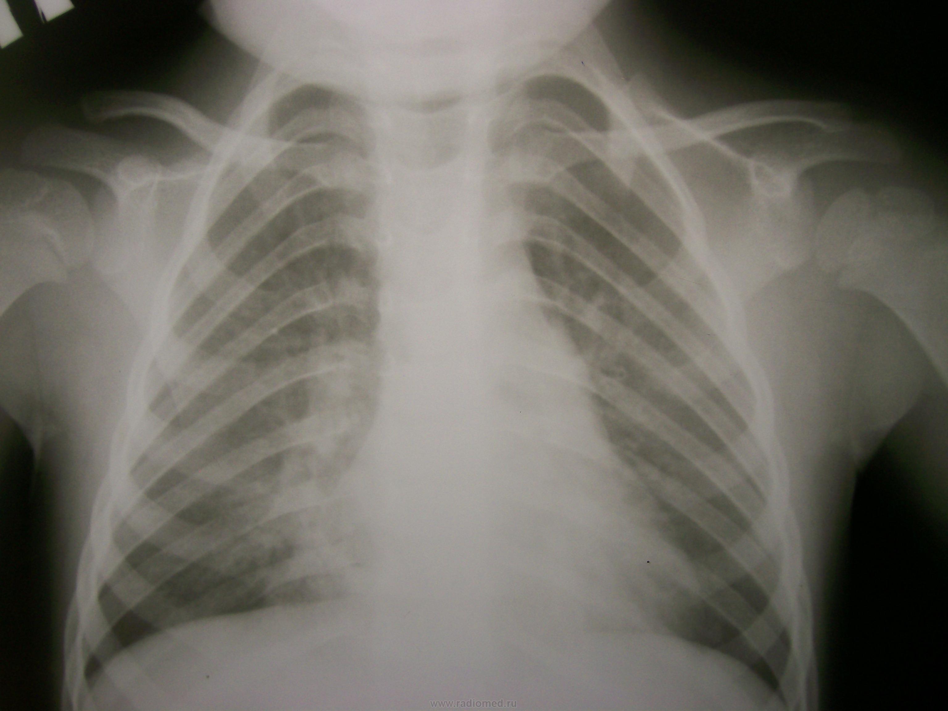
До этого с 21.05 по 28.05 лежал в детском отделении и по снимкам я ставила нижнедолевую пневмонию справа.
Самостоятельно родители свозили реьенка в область. Рентгенолог областной детской больницы описала, что инфильтрации нет, а есть сгущение легочного рисунка в нижней доле справа. И в заключении выставила " признаки обструктивного синдрома".
Как трактовать изменения на сегодняшних снимках и майских?
Не указаны даты снимков. Что с чем сравнивать?
Андрей Юрьевич
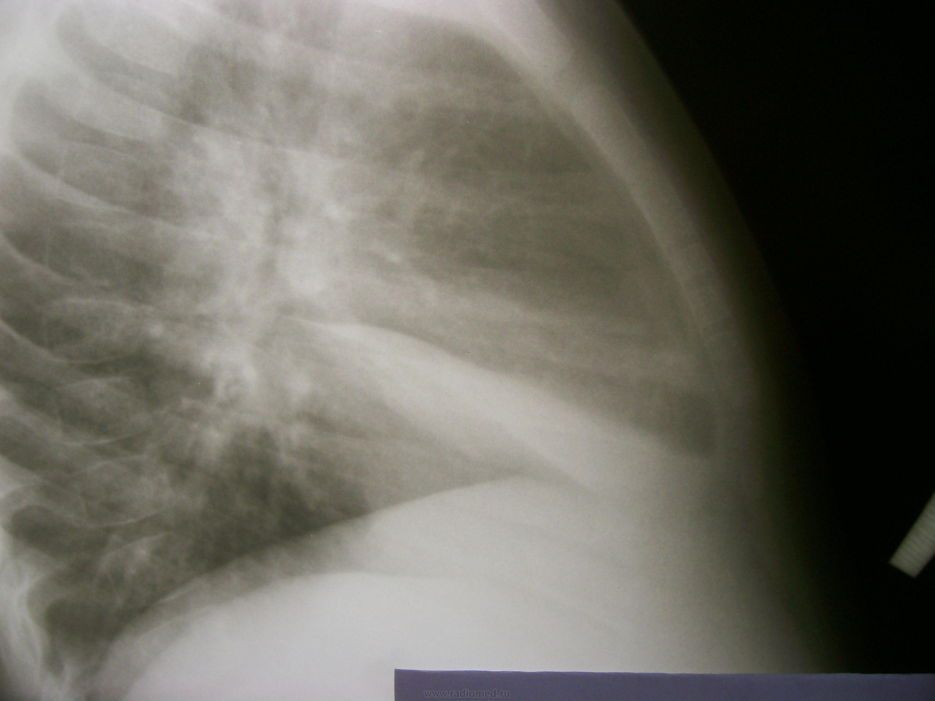
Первые 2 снимка сегодня, вторые 2 майские.
Написал бы р-признаки ателектаза средней доли правого легкого. Если есть возможность, сделал бы снимки по Флейшнеру.
Кстати, видите, как неправильно ограничиваться только прямыми снимками.
Андрей Юрьевич
Спасибо, Андрей Юрьевич!
[/quote]
Написал бы р-признаки ателектаза средней доли правого легкого. Если есть возможность, сделал бы снимки по Флейшнеру.
Кстати, видите, как неправильно ограничиваться только прямыми снимками.
[/quote]
Не знаю, есть ли смысл делать по Флейшнеру, гипопневматизация и так видна хорошо. Разве только ради красивой картинки. А вот фтизиатру показать ребенка надо. Изменения идут еще с мая. Некрасивый корень правого легкого, очень вероятно увеличение л/у.
Великое преймущество врача заключается в том, что он не обязан следовать собственным советам. ( А. Кристи)
А не аспирация ли здесь, коллеги? Бронхоскопия нужна.
Это один из критериев нашей работы.
Андрей Юрьевич
Сейчас ателектаз средней доли. Плюсую к бронхоскопии.
+1
Без сомнений ателектаз. Двухлетнему бронхоскопию? А лечить не пробовали?
Да хоть новорожденному, если есть показания.
А как лечить ателектаз? Только восстановлением бронхиальной проходимости.
.....и если есть бронхоскоп.
Андрей Юрьевич
Все же не исключал бы неразрешившуюся перициссуральную пневмонию, осложнившуюся междолевым плевритом. Посмотреть ребенка на УЗИ. Сейчас, вроде, в каждом районе есть.
С Уважением, Дмитрий.
И аппаратов и врачей дополна. Плевральные полости мало кто смотрит.
Андрей Юрьевич
Странно,во всех лечебных учреждениях, где я работала, смотрят без проблем плевральные полости.Может, у нас врачи ультразвуковой диагностики какие-то особенные?
1. То есть хирурги и травматологи диагносцировали, а терапевты контролировали гидротораксы по УЗИ?
2. Наверное особенные. У нас из 7 УЗИстов плевральную полость смотрит одна. Но она вообще все смотрит. А остальные: брюшную полость, МПС, щитовидку. Это стационар и район. В поликлинике еще и молочные железы.
Андрей Юрьевич
Как раз диагностируем мы, ретгенологи, и направляем на уточнение на УЗИ.
Выпоты по междолевке далеко не всегда (мягко говоря) видны при УЗИ. Конечно, УЗИ локальных, отграниченных, осумкованных выпотов должно выполняться после рентгенографии.
С уважением,
И как же ж вы ателектаз лечить предлагаете?
Пока лечат обструктивный бронхит. Будут контрольные снимки, обязательно выложу. В понедельник сделают диаскин-тест. На плановую госпитализацию в область на сентябрь.
Такому ребенку показаны КТ гр.кл.(увидим характер поражения ср/доли+проходимость бронхов+состояние л/узлов).В нашем учреждении выполнили бы ФБС -проходимость на счет инородного тела,взятие материала,лечебные манипуляции.
Работаю в ЦРБ. Нет ни бронхоскопа, ни, тем более, КТ. Томограф не работает, скопия приказала долго жить...
Ребенку сделали контроль после лечения антибиотиками. (Делали диаскин-тест - результат отрицательный.)
Что скажете, коллеги?
А динамика-то положительная.Среднедолевая,наверное,была.
На прямом снимке справа сохраняется расширение корня, "замазанность" кардио-диафрагмального угла. R-динамику продолжить, учитывая анамнез.
С Уважением, Дмитрий.
Я тоже указала на положительную динамику и сохраняющуюся сниженную воздушность нижних отделов справа. Боюсь, что R-динамику я уже не увижу. Самочувствие малыша улучшилось и он благополучно отправился домой. В сентябре плановое обследование в области.
Рентгендинамика очень хорошая. Я бы, наверное, указал в заключении - R-динамика через месяц. Главное - указать, а потом сделать. Можно и в областном центре, и чуть позже.
С Уважением, Дмитрий.