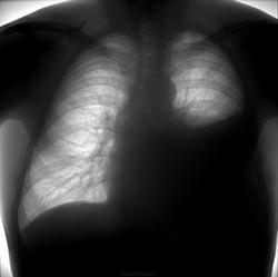
Левосторонний гидроторакс

Мужчина 46 лет, жалобы на нарастающую одышку в течении последних 3-4 месяцев

    

 

В транссудате обнаружены бластные клетки

 

 

 

 

 

 

 

 

 

 

 

 

 

 

 

 

 

 

 

 

 

 

 

 

 

 

 

 

 

 

 

 

 

 

 

 

 

 

 

 

 

 

 

 

 

 

 

 

 

 

 

 

 

 

 

 

 

 

 

 

 

 

 

 

 

 

 

 

 

  • https://radiomed.ru/sites/default/files/styles/case_slider_image/public/user/12141/bok_do_punkcii.jpg?itok=Cl85B9F9
  • https://radiomed.ru/sites/default/files/styles/case_slider_image/public/user/12141/pryamo_posle_punkcii.jpg?itok=1MCLZXX9
  • https://radiomed.ru/sites/default/files/styles/case_slider_image/public/user/12141/levyy_bok_posle_punkcii.jpg?itok=H-i1ULMx
ID:49534
Nikolas аватар
Не на сайте
Был на сайте: 1 месяц 3 недели назад
Зарегистрирован: 21.12.2010 - 20:37
Публикации: 4560

1.Застойная сердечная недостаточность; 2.тромбоэмболия легочной артерии; 3.нефротический синдром; 4.цирроз печени; 5.микседема;  6.рак легкого. Коллеги могут добавить список причин транссудата в плевральной полости. Транссудаты необходимо исследовать на опухолевые клетки. Я за №6.

  

 

Бородулин М.А. аватар
Не на сайте
Был на сайте: 1 год 2 месяцев назад
Зарегистрирован: 17.02.2011 - 01:10
Публикации: 1409

Отсутствие выраженного смещения средостения в здоровую сторону при столь массивном выпоте предполагает либо фиксированное опухолью средостение, либо центрально расположенную опухоль.

И.Бондаренко аватар
Не на сайте
Был на сайте: 23 часа 14 минут назад
Зарегистрирован: 13.09.2011 - 22:55
Публикации: 9213

Похоже онкология.

vasyablack аватар
Не на сайте
Был на сайте: 12 лет 5 месяцев назад
Зарегистрирован: 22.03.2012 - 23:38
Публикации: 53

 Подскажите молодому, почему при центрально расположенной опухоли и наличии массивного выпота нет выраженного смещения средостения? 

Катенёв Валентин Львович аватар
Не на сайте
Был на сайте: 7 лет 5 месяцев назад
Зарегистрирован: 22.03.2008 - 22:15
Публикации: 54876

Не факт, что до первично произведенных снимков, до выпота спаек (шварт) не было, скорее всего были..., или есть еще более ранний "архив"?

Катенёв Валентин Львович аватар
Не на сайте
Был на сайте: 7 лет 5 месяцев назад
Зарегистрирован: 22.03.2008 - 22:15
Публикации: 54876

Вопрос автору ветки.

1, Дренажная трубка имеет место быть?

2. А травма, а может, что другое агрессивное, в анамнезе есть?

Катенёв Валентин Львович аватар
Не на сайте
Был на сайте: 7 лет 5 месяцев назад
Зарегистрирован: 22.03.2008 - 22:15
Публикации: 54876

Странный участочек, без легочного рисунка, на третьей иллюстрации базо-латерально, как "ограниченный", локальный пневмоторакс.

Катенёв Валентин Львович аватар
Не на сайте
Был на сайте: 7 лет 5 месяцев назад
Зарегистрирован: 22.03.2008 - 22:15
Публикации: 54876

А на четвертой иллюстрации (боковой) базально и спереди, что то за легочная ткань, не коллабированная ли?

Gorbovsky аватар
Не на сайте
Был на сайте: 6 лет 5 месяцев назад
Зарегистрирован: 03.08.2011 - 18:05
Публикации: 348

Да, легкое частично коллабировано, может после торакоцентеза. В архиве от 11 года в области язычковых сегментов - перибронхиальная опухоль 1 на 2 см(пропуск). Плевральных наложений не было

Было бы величайшей ошибкой думать (с)

ЛГ аватар
Не на сайте
Был на сайте: 9 лет 3 месяцев назад
Зарегистрирован: 06.01.2010 - 12:31
Публикации: 3523

vasyablack wrote:

 Подскажите молодому, почему при центрально расположенной опухоли и наличии массивного выпота нет выраженного смещения средостения? 

Массивный выпот смещает средостение в здоровую сторону. Наличие центральной опухоли (к примеру, рак нижнедолевого бронха с ателектазом доли) или рубцовые изменения смещают средостение в больную сторону. При одновременном наличие этих 2-х процессов средостение остаётся в срединном положении.

В приведённом случае имело место незначительное смещение средостения вправо на первых снимках (правый контур сердца и правый корень сближены).

А вот отличить саму опухоль на фоне частично поджатого легкого мне не удалось, овальная тень на контрольном прямом снимке мне видится плевральными наложениями в переднем синусе. Возможно, изначально выпот был частично осумкованным, и видимая автору опухоль в язычковых сегментах - периферическая: мне не видно признаков центрального ателектаза слева любого объема, ни сегментарного, ни долевого. Малый гидропневмоторакс дренирован. 

Бородулин М.А. аватар
Не на сайте
Был на сайте: 1 год 2 месяцев назад
Зарегистрирован: 17.02.2011 - 01:10
Публикации: 1409

При оценке стоит обратить внимание, что левый корень расположен ниже обычного.

brainmodel аватар
Не на сайте
Был на сайте: 7 месяцев 2 недели назад
Зарегистрирован: 18.03.2010 - 22:04
Публикации: 2881

Корень слева на том же уровне, что справа, с учетом компенсаторного правостороннего грудного сколиоза. Смещения средостения вправо не произошло из-за спаек, которые после плевральной пункции стали хорошо видны. Они же осумковали ограниченный пневмоторакс. Узловая тень действительно очень похожа на периферический рак, но требует дифференцировки с осумкованным гидротораксом.  Томограммы будут? Предоставьте ФОГК за 2011 г., если есть возможность.

Verum plus uno esse non potest.