Тоже очень болят. https://radiomed.ru/sites/default/files/styles/case_slider_image/public/user/17752/0001_26.jpg?itok=gYlakqwx ID:47618 Сб, 22/02/2014 - 00:02 #1 Дмитрий Волегов Не на сайте Был на сайте: 3 года 6 месяцев назад Зарегистрирован: 22.05.2013 - 00:32 Публикации: 1148 Красивые суставы. С Уважением, Дмитрий. Сб, 22/02/2014 - 09:51 #2 Петр Николаевич Не на сайте Был на сайте: 3 года 10 месяцев назад Зарегистрирован: 15.03.2011 - 13:22 Публикации: 150 шпора olecranon Сб, 22/02/2014 - 21:15 #3 выпускник Не на сайте Был на сайте: 5 лет 1 месяц назад Зарегистрирован: 15.08.2012 - 23:11 Публикации: 50 причем в обоих суставах. Сб, 22/02/2014 - 23:13 #4 NIL Не на сайте Был на сайте: 2 дня 13 часов назад Зарегистрирован: 25.11.2013 - 20:50 Публикации: 18207 + бурсит обоих суставов "Слушай всех, прислушивайся к немногим, решай сам".© Вс, 23/02/2014 - 15:00 #5 maker4ik Не на сайте Был на сайте: 8 лет 7 месяцев назад Зарегистрирован: 19.10.2011 - 17:49 Публикации: 2682 Подагры нет? Вс, 23/02/2014 - 19:34 #6 vadim losevichev Не на сайте Был на сайте: 7 лет 2 месяцев назад Зарегистрирован: 27.01.2013 - 09:45 Публикации: 679 Есть. Non progrĕdi est regrĕdi. Вс, 23/02/2014 - 21:44 #7 maker4ik Не на сайте Был на сайте: 8 лет 7 месяцев назад Зарегистрирован: 19.10.2011 - 17:49 Публикации: 2682 Вот я так и увидела. Пнд, 24/02/2014 - 09:23 #8 Катенёв Валенти... Не на сайте Был на сайте: 7 лет 3 недели назад Зарегистрирован: 22.03.2008 - 22:15 Публикации: 54876 Дмитрий Волегов wrote: Красивые суставы. Может быть и красивые..., где прямые проекции? Пнд, 24/02/2014 - 09:25 #9 Катенёв Валенти... Не на сайте Был на сайте: 7 лет 3 недели назад Зарегистрирован: 22.03.2008 - 22:15 Публикации: 54876 Петр Николаевич wrote: шпора olecranon В смысле тендиноз? Пнд, 24/02/2014 - 15:26 #10 Makcimalist Не на сайте Был на сайте: 11 лет 9 месяцев назад Зарегистрирован: 08.05.2010 - 14:28 Публикации: 1994 Хорошее дело цифра! Такие тофусы на плёнке не будут столь наглядными. Для учебника просто красота! -------------- "Просто, по видимости, не видеть логики в очевидных вещах - это тоже одно из свойств некоторых умов, наряду с грустными думами о свойствах ума других." © Vega 08/10/2011 Пнд, 24/02/2014 - 21:09 #11 vadim losevichev Не на сайте Был на сайте: 7 лет 2 месяцев назад Зарегистрирован: 27.01.2013 - 09:45 Публикации: 679 Снимки сделаны на платной основе. В направлении ортопеда- локтевые суставы в боковых проекциях. Как предложить больше? Non progrĕdi est regrĕdi. Пнд, 24/02/2014 - 21:27 #12 алкс Не на сайте Был на сайте: 10 лет 4 недели назад Зарегистрирован: 24.10.2012 - 22:55 Публикации: 2915 Катенёв Валентин Львович wrote: Петр Николаевич wrote: шпора olecranon В смысле тендиноз? И тендинит. Втр, 25/02/2014 - 16:55 #13 Makcimalist Не на сайте Был на сайте: 11 лет 9 месяцев назад Зарегистрирован: 08.05.2010 - 14:28 Публикации: 1994 алкс wrote: Катенёв Валентин Львович wrote: Петр Николаевич wrote: шпора olecranon В смысле тендиноз? И тендинит. Рентгенологические критерии, должно быть, есть у тендинита - их можно съесть?) -------------- "Просто, по видимости, не видеть логики в очевидных вещах - это тоже одно из свойств некоторых умов, наряду с грустными думами о свойствах ума других." © Vega 08/10/2011
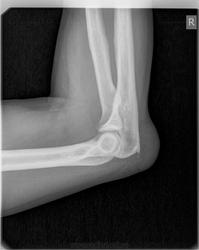
Красивые суставы.
С Уважением, Дмитрий.
шпора olecranon
причем в обоих суставах.
+ бурсит обоих суставов
"Слушай всех, прислушивайся к немногим, решай сам".©
Подагры нет?
Есть.
Non progrĕdi est regrĕdi.
Вот я так и увидела.
Может быть и красивые..., где прямые проекции?
В смысле тендиноз?
Хорошее дело цифра! Такие тофусы на плёнке не будут столь наглядными. Для учебника просто красота!
--------------
"Просто, по видимости, не видеть логики в очевидных вещах - это тоже одно из свойств некоторых умов, наряду с грустными думами о свойствах ума других." © Vega 08/10/2011
Снимки сделаны на платной основе. В направлении ортопеда- локтевые суставы в боковых проекциях. Как предложить больше?
Non progrĕdi est regrĕdi.
И тендинит.
Рентгенологические критерии, должно быть, есть у тендинита - их можно съесть?)
--------------
"Просто, по видимости, не видеть логики в очевидных вещах - это тоже одно из свойств некоторых умов, наряду с грустными думами о свойствах ума других." © Vega 08/10/2011