Пол пациента:
Тип патологии:
Область исследования:
- https://radiomed.ru/sites/default/files/styles/case_slider_image/public/user/406/lyogkie4.2.jpg?itok=hhYREjVE
- https://radiomed.ru/sites/default/files/styles/case_slider_image/public/user/406/lyogkie4.2..jpg?itok=Tdcb0uJl
- https://radiomed.ru/sites/default/files/styles/case_slider_image/public/user/406/lyogkie4.4..jpg?itok=gB4zrdrn
- https://radiomed.ru/sites/default/files/styles/case_slider_image/public/user/406/document_0.jpg?itok=lGd-znAr
- https://radiomed.ru/sites/default/files/styles/case_slider_image/public/user/406/document_2.jpg?itok=lDKsZi8O
ID:28152
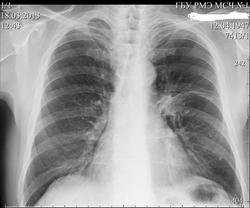
Пациент 65 лет, проходил проверочное флюорографическое исследование лёгких. Жалоб не предъявляет.В качестве дообследования назначена R-графия лёгких в 2-х проекциях.О чём можно думать?
По мне - центральный рак слева, ателектаз четверки, вздута пятерка. По сегментам могу и ошибаться, но идея такая.
С уважением,
+1 и кажется восьмерка заинтересована.
Fiat lux!
Я за рак слева.
Non progrĕdi est regrĕdi.
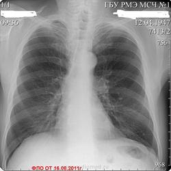
Добавлено изображение( ФЛО-архив). Какая дальнейшая тактика введения данного пациента, при подозрении на центральный рак?
КТ и бронхоскопия. Что доступнее, туда пусть больной и идет в первую очередь
Я рекомендовал выполнить КТ лёгких.К сожалению, не скопировал протокол этого исследования. На словах могу сказать: центральный рак левого лёгкого, гиповентиляция верхней доля.Лимфоаденопатия в области средостения( если не ошибаюсь более выраженая справа).
но не надо торопиься с выводами КТ специалистов. Если рак, то хотелось знать направление роста, экзофитный ? эндофитный? По рентгенограммам можно высказаться о наличии патологического процесса в корне левого легкого. Это прежде всего дополнительная тень в области головки, реакция междолевой щели и межсегментарной перегородки. О гиповентиляции можно судить по сгущению сосудистого рисунка на боковой рентгенограмме (см. рисунок). Наличие обызвествленного первичного комплекса слева, не позволяет исключить реактивацию туберкулеза во внутригрудых имфатических узлах со всеми вытекающими последствиями, отраженными на рентгенограммах. Бронхоскопия необходима в 100%. Вы несколько поторопились коллега Алмо представить данные КТ. Хотелость бы услышать мнения многих врачей. Если будет окончательная морфологическая верификация, напишите.
Я б написала спайки и расширение корня. Такое может быть после перенесенной пневмонии.
#8. Все это так. Теоретическую базу можно подвести и под ТБС. Но, учитывая возраст, отсутствие жалоб, я бы в первую очередь направил к онкологу.
Великое преймущество врача заключается в том, что он не обязан следовать собственным советам. ( А. Кристи)
на туберкулезе. И считаю, что у пожилых людей с бронхолегочной патологией необходимо в первую очередь исключить рак. Возраст пациента подходящий и для аденогенного туберкулеза, поэтому о нем следует думать. Сказать пациенту о раке и сразу направить его в раковый корпус? Стресс огромный для 65 летнего человека. В практике моего коллеги был случай, когда пожилому пациенту сообщили, что у него рак легкого. Он вернулся домой и покончил с собой. Злокачественного заболевания не оказалось.
У каждого врача припасена такая история?
+++
Томография на левом боку многое разъяснит. Аталектаз 3 сегмента явный в купе с реакцией корня левого лёгкого.
Было бы тогда интересно мнение коллег по поводу вот этого участка, и почему он НИЖЕ плевральной щели (если субателектаз верхней доли, или S3).
С уважением,
+1
"Томография на левом боку многое разъяснит. Аталектаз 3 сегмента явный в купе с реакцией корня левого лёгкого."
------------------------------------------------------------------------------------------------------------------------------------------------------
Коллеги, я что-то не понял, вы прелагаете после КТ лёгких выполнить линейную томографию?
********************************************************************************************************************
"Вы несколько поторопились коллега Алмо представить данные КТ. Хотелость бы услышать мнения многих врачей. Если будет окончательная морфологическая верификация, напишите."
------------------------------------------------------------------------------------------------------------------------------------------------------------------
Согласен, возможно я несколько потропился с данными КТ. Но, это была всё-таки не экспертиза, а скорее демонстрация с подтвержением на КТ.Коллега Mila85 правильно написала в посте и я решил, что пора сообщить данные КТ. Если будет окончательная морфологическая верификация, то обязательно сообщу её результат.
Дорогой Almo! Вы не предвещали верификацию и КТ..
Almo! Вы не предвещали верификацию и КТ..
-------------------------------------------------------------------------------------------------------------------------------------------------------------
Вы хотите сказать, я тот субъект, который обычно высталяет просто ренгтенограммы без данных КТ и верификации? Ну, это не совсем так.
Наоборот, я приветствую полный клинический разбор.
Добавлены протоколы КТ лёгих и бронхоскопии. Вкралась неточность: ещё до проведения флюорографии лёгких пациент предъявлял жалобы на боли слева от грудины, через какое-то время появились жалобы на кровохаркание.Результат гистолоии пока не готов ( в работе).
Клёвый у вас эндоскопист: бронхи 4 порядка эндоскопом проходит.... А в боковой проекции кпереди от корня - ателектаз S3. Постараюсь найти, недавно такой же был рачок.
Verum plus uno esse non potest.
Гистологическое исследование проведено, но результата нет-в материале только слизь!
Если будет что-то известно сообщу.
"Клёвый у вас эндоскопист: бронхи 4 порядка эндоскопом проходит.."
------------------------------------------------------------------------------------------------------------------------------------------------------------------------------
Вы считаете -это не реально?
Бронхи 4 порядка - субсегментарные, в них можно только посмотреть через устье и в ряде случаев издали увидеть бронхи 5 порядка.. Проходимость для бронхоскопа - главные, долевые и сегментарные бронхи, то бишь 1-2-3 порядка.
Verum plus uno esse non potest.
Понятно, спасибо! Может быть некоторая некорректость формулировки нашего специалиста?( вообще-то, они надавно получили новый продвинутый бронхоскоп, может быть в нём есть новые возможности?)