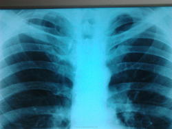
О! Приятно! Не вырос я, чтобы памятник мне возводить, но благодарю за случай. Хотя навряд ли он лучше, чем жизнь.) А если серьёзно, то снимок хорош. И очажок на верхушке правой кажет весьма хорошо. Или не было на КТ там очага? Если так, то случай в статистику мою неправильную заберу неглядя и Вам благодаря!)
"Я тебе, конечно, верю... Ведь не может быть иначе!.."))
Если бы снимок обзорный был бы не плёночный, а цифровой и на нём бы я ничего не углядел, тогда бы... ну, не повесился, конечно, но острей бы впредь (и в косых проекциях!) точно смотрел.)
Я это к тому.что верхушки коварны и изменчивы(как женщины).Поэтому и предлагаю отправлять к профессионалам и не быть слишком уверенными,если есть разница между ними,бросающаяся в глаза.
Миргалина! Не надо пугать народ. По обзорной, очагов не наблюдается. Непонятные линейные тени апикально. Отличие от левой по снимку- "100 пудов"- не искл. фиброз.( т.е. на ФЛГ любой увидит, как нью, или б\у-фиброз, а пердидущие где? И если там не было? - ну тода мы все горазды...) Направили на КТ, сами не ожидая успеха, а бок + томку сделать?
Алкс, здравствуйте! Это продолжение разговора с Makсimalist'ом с другой ветки ( о верхушках и других " органах движения") здесь была цель это продемонстрировать . Архив,конечно, был, и там изменения имеются, но интерпретация,как и здесь,на сайте- от нормы-очагов- до фиброза.А КТ и сделали, чтобы успешно заключение дать и лечить уже.КТ тоже затронули, ведь многие считают, что из-за каких-то шварт, фиброзов нечего по воробьям из пушек бить. Ну вот и пришлось показать, что иногда стоит.
Здравствуйте, уважаемая Миргалина! Понял. Т.е. тут не просто прикол, а "опыт - сын ошибок трудных". И показано преимущество в таких ситуациях именно КТ. Извините, подумал, что просто "угадайка".
Миргалина подтвердила убежденность и требовательность главного рентгенолога Радиомеда Катенёва В.Л. о необходимости томографического исследования верхушек легких при подобных изменениях, что и было им неоднократно доказано на клинических примерах с использованием линейной томографии. Теперь в нашем распоряжении сейчас имеется более разрешающий метод, который целесообразно применять для исключения активного туберкулеза при процессах, которые трактуются обычно, как остаточные туберкулезные изменения. Начало положено. Надо накапливать материал.
Здравствуйте, уважаемая Миргалина! Понял. Т.е. тут не просто прикол, а "опыт - сын ошибок трудных". И показано преимущество в таких ситуациях именно КТ. Извините, подумал, что просто "угадайка".
Ага! Почитали про "органы движения"? Вот чего Вы,мальчики, все нас ругаете, не доверяете? Вот NIL сразу сообразила ,что к чему! Умница! Все-таки ,мы-девочки, дружнее живем! Хотите приколов? Сделаю как-нибудь, на экспертизу приглашу.
Миргалина подтвердила убежденность и требовательность главного рентгенолога Радиомеда Катенёва В.Л. о необходимости томографического исследования верхушек легких при подобных изменениях, что и было им неоднократно доказано на клинических примерах с использованием линейной томографии. Теперь в нашем распоряжении сейчас имеется более разрешающий метод, который целесообразно применять для исключения активного туберкулеза при процессах, которые трактуются обычно, как остаточные туберкулезные изменения. Начало положено. Надо накапливать материал.
Ой, материал каждый день на прием приходит. Не думала, что может пригодиться. Здесь-то еще все видно, а бывает, что за 1-ым ребром или его хрящем, или ключицей прячется. Вот об этой асимметрии я и говорила. А то " органы движения они все лечат,органы движения..." Makcimalist, наверное икает уже.Ох, и злопамятна я, оказывается! Ну, простите меня, больше не буду.Это я, любя...Правда.
Nikolas! Ну при чем тут Катенев В.Л.? Тоже икает, наверное. Он стандарты любит, он-очень убежденный и требовательный( заметьте,-не я это произнесла),а тут совсем другой подход- творческий.
Сегодня и каждый день.
О! Приятно! Не вырос я, чтобы памятник мне возводить, но благодарю за случай. Хотя навряд ли он лучше, чем жизнь.) А если серьёзно, то снимок хорош. И очажок на верхушке правой кажет весьма хорошо. Или не было на КТ там очага? Если так, то случай в статистику мою неправильную заберу неглядя и Вам благодаря!)
--------------
"Просто, по видимости, не видеть логики в очевидных вещах - это тоже одно из свойств некоторых умов, наряду с грустными думами о свойствах ума других." © Vega 08/10/2011
КТ:"очажок" оказался каверной.Комментировать.думаю.не стоит. Теперь верите?
"Я тебе, конечно, верю... Ведь не может быть иначе!.."))
Если бы снимок обзорный был бы не плёночный, а цифровой и на нём бы я ничего не углядел, тогда бы... ну, не повесился, конечно, но острей бы впредь (и в косых проекциях!) точно смотрел.)
--------------
"Просто, по видимости, не видеть логики в очевидных вещах - это тоже одно из свойств некоторых умов, наряду с грустными думами о свойствах ума других." © Vega 08/10/2011
Я это к тому.что верхушки коварны и изменчивы(как женщины
).Поэтому и предлагаю отправлять к профессионалам и не быть слишком уверенными,если есть разница между ними,бросающаяся в глаза.
С большим уважением именно к Вам,Миргалина.
Спасибо, показательно и поучительно.
"Слушай всех, прислушивайся к немногим, решай сам".©
Присоединяюсь к NIL, спасибо за случай.
первые выявленный или лечился ранее от туберкулеза?
Впервые выявленный.Пришел на консультацию.
Миргалина! Не надо пугать народ. По обзорной, очагов не наблюдается. Непонятные линейные тени апикально. Отличие от левой по снимку- "100 пудов"- не искл. фиброз.( т.е. на ФЛГ любой увидит, как нью, или б\у-фиброз, а пердидущие где? И если там не было? - ну тода мы все горазды...) Направили на КТ, сами не ожидая успеха, а бок + томку сделать?
Ясное дело - КТ лучше "видит".
Алкс, Вы хотите огорчить прелестную Миргалину? Не кривите душой. Всё прекрасно видно, а после КТ - тем более! Разжевали и в рот положили.
"Слушай всех, прислушивайся к немногим, решай сам".©
МММ? Так не огорчать собирался. Так видно ж сразу. Вы ж увидели и без КТ...
Алкс, здравствуйте! Это продолжение разговора с Makсimalist'ом с другой ветки ( о верхушках и других " органах движения") здесь была цель это продемонстрировать . Архив,конечно, был, и там изменения имеются, но интерпретация,как и здесь,на сайте- от нормы-очагов- до фиброза.А КТ и сделали, чтобы успешно заключение дать и лечить уже.КТ тоже затронули, ведь многие считают, что из-за каких-то шварт, фиброзов нечего по воробьям из пушек бить. Ну вот и пришлось показать, что иногда стоит.
Здравствуйте, уважаемая Миргалина! Понял. Т.е. тут не просто прикол, а "опыт - сын ошибок трудных". И показано преимущество в таких ситуациях именно КТ. Извините, подумал, что просто "угадайка".
Миргалина подтвердила убежденность и требовательность главного рентгенолога Радиомеда Катенёва В.Л. о необходимости томографического исследования верхушек легких при подобных изменениях, что и было им неоднократно доказано на клинических примерах с использованием линейной томографии. Теперь в нашем распоряжении сейчас имеется более разрешающий метод, который целесообразно применять для исключения активного туберкулеза при процессах, которые трактуются обычно, как остаточные туберкулезные изменения. Начало положено. Надо накапливать материал.
Nikolas! Ну при чем тут Катенев В.Л.? Тоже икает, наверное. Он стандарты любит, он-очень убежденный и требовательный( заметьте,-не я это произнесла),а тут совсем другой подход- творческий.
"Органы движения" - это наши мысли, двигающие даже извилины!))
--------------
"Просто, по видимости, не видеть логики в очевидных вещах - это тоже одно из свойств некоторых умов, наряду с грустными думами о свойствах ума других." © Vega 08/10/2011
Истинно так!