Пол пациента: Мужской пол Тип патологии: Врожденная патология Область исследования: Череп и головной мозг Методы исследования: МРТ Втр, 15/12/2009 - 13:11 #1 Dr.Mario Не на сайте Был на сайте: 11 лет 1 месяц назад Зарегистрирован: 06.08.2008 - 08:44 Публикации: 920 Крупная арахноидальная киста правой височной области. Let me see... radiographia.ru Втр, 15/12/2009 - 14:05 #2 Nela Не на сайте Был на сайте: 6 лет 1 месяц назад Зарегистрирован: 12.05.2009 - 20:43 Публикации: 1847 Согласна, арахноидальная киста. Втр, 15/12/2009 - 16:31 #3 Катенёв Валенти... Не на сайте Был на сайте: 7 лет 3 недели назад Зарегистрирован: 22.03.2008 - 22:15 Публикации: 54876 А жалобы на головные боли беспокоят только последние 1,5 года? Ср, 16/12/2009 - 09:32 #4 irena Не на сайте Был на сайте: 9 лет 7 месяцев назад Зарегистрирован: 28.09.2009 - 13:00 Публикации: 289 да, до этого мальчик жалоб не предъявлял. наверное киста увеличилась, масс-эффект на прилежащие струкутры усилился , появилась клиника. Чт, 25/02/2010 - 10:57 #5 марина сучкова Не на сайте Был на сайте: 14 лет 3 месяцев назад Зарегистрирован: 25.02.2010 - 08:37 Публикации: 5 Да, это врожденная арахноидальная киста. Маришка
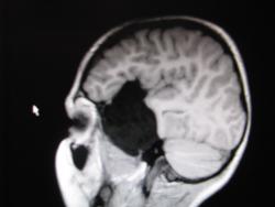
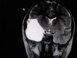
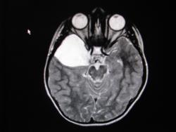
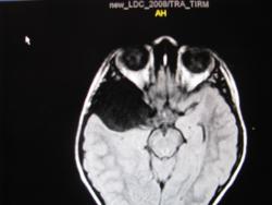
Крупная арахноидальная киста правой височной области.
Let me see...
radiographia.ru
Согласна, арахноидальная киста.
А жалобы на головные боли беспокоят только последние 1,5 года?
да, до этого мальчик жалоб не предъявлял. наверное киста увеличилась, масс-эффект на прилежащие струкутры усилился , появилась клиника.
Да, это врожденная арахноидальная киста.
Маришка