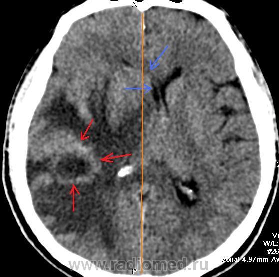
Пол пациента: Мужской пол Тип патологии: Злокачественное новообразование Область исследования: Череп и головной мозг Методы исследования: КТ Предсталяю типичный случай метастаза рака легкого в головной мозг. Кольцевидное образование (красные стрелки) с большим перифокальным отеком, сдавление и смещение желудочков мозга (зеленые стрелки). Пт, 23/10/2009 - 22:56 #1 Наталия Не на сайте Был на сайте: 8 лет 7 месяцев назад Зарегистрирован: 30.07.2008 - 13:24 Публикации: 538 Как хорошо видно и очень информации много. Спасибо автору случая.
Как хорошо видно и очень информации много. Спасибо автору случая.