Метастазы

Пол пациента: 
Методы исследования: 

Метастазы

  • https://radiomed.ru/sites/default/files/styles/case_slider_image/public/user/12/2.dscn1080.jpg?itok=idP3uBcp
ID:26177
А. Горюнов аватар
Не на сайте
Был на сайте: 6 месяцев 3 недели назад
Зарегистрирован: 07.10.2012 - 12:12
Публикации: 2744

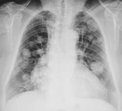
В обоих легких определяются множественные шаровидные образования однородной структуры, с четкими контурами, в диаметре, примерно: от 1,0 до 5,0 см. Предположительно mts рака почки.

Анатолий Петрович

Наталия Васильевна аватар
Не на сайте
Был на сайте: 6 лет 2 месяцев назад
Зарегистрирован: 25.09.2011 - 09:02
Публикации: 754

А. Горюнов wrote:

В обоих легких определяются множественные шаровидные образования однородной структуры, с четкими контурами, в диаметре, примерно: от 1,0 до 5,0 см. Предположительно mts рака почки.

Или кишка.

И.Бондаренко аватар
Не на сайте
Был на сайте: 2 часа 30 минут назад
Зарегистрирован: 13.09.2011 - 22:55
Публикации: 9214

Горькая игра в "пятнашки".

А. Горюнов аватар
Не на сайте
Был на сайте: 6 месяцев 3 недели назад
Зарегистрирован: 07.10.2012 - 12:12
Публикации: 2744

В диф. ряд: атипичную форму многоликого саркоидоза.

Анатолий Петрович

Катенёв Валентин Львович аватар
Не на сайте
Был на сайте: 7 лет 6 месяцев назад
Зарегистрирован: 22.03.2008 - 22:15
Публикации: 54876

А. Горюнов wrote:

В диф. ряд: атипичную форму многоликого саркоидоза.

Да, на сайте имеются подобные иллюстрации для саркоидоза.

-----------------

Вот снимки на год ранее (данного пациента)

Приложения: 
1.dscn1081.jpg2.dscn1082.jpg3.dscn1083.jpg
А. Горюнов аватар
Не на сайте
Был на сайте: 6 месяцев 3 недели назад
Зарегистрирован: 07.10.2012 - 12:12
Публикации: 2744

Выраженная отрицательная динамика пат. процесса.

Анатолий Петрович

Катенёв Валентин Львович аватар
Не на сайте
Был на сайте: 7 лет 6 месяцев назад
Зарегистрирован: 22.03.2008 - 22:15
Публикации: 54876

И еще пол года в историю...

Приложения: 
1.dscn1084.jpg2.dscn1085.jpg3.dscn1086.jpg
Almo аватар
Не на сайте
Был на сайте: 4 дня 12 часов назад
Зарегистрирован: 28.09.2008 - 18:50
Публикации: 8306

А первичный очаг рака  не найден? Появилось расширение тени сердца.Могу преположить, что первичная опухоль не аденкарцинома ( не железистого происхождения) так имеет чёткие контуры. Вполне может быть  из почки, лего установить после УЗИ.

Sumea аватар
Не на сайте
Был на сайте: 12 лет 1 месяц назад
Зарегистрирован: 15.06.2010 - 13:41
Публикации: 4

в коллекцию. год назад удалено образование надпочечника доброкачественной природы...

Приложения: 
bezymyannyy.jpg
brainmodel аватар
Не на сайте
Был на сайте: 8 месяцев 1 неделя назад
Зарегистрирован: 18.03.2010 - 22:04
Публикации: 2881

Лечился от ИБС в терапии. На истории болезни (титул) код ФОГК 23,25 2-месячной давности (чужая). Жалобы на кашель в течение 2 недель. Пикнического телосложения, гипертоник. Выявлены множественные круглые тени в легких на ЦФОГК. При более детальном опросе - "проблемы с кишками и стулом", ходит "ленточками" 3-4 раза в день, прожилки крови. На RRS - циркулярная опухоль с эрозированием в ампуле прямой кишки, непроходимая для ректоскопа. Выписан быстро к онкологам.

Приложения: 
01.jpg02.jpg03.jpg04.jpg05.jpg06.jpg07.jpg08.jpg09.jpg10.jpg

Verum plus uno esse non potest.

Катенёв Валентин Львович аватар
Не на сайте
Был на сайте: 7 лет 6 месяцев назад
Зарегистрирован: 22.03.2008 - 22:15
Публикации: 54876

Almo wrote:

А первичный очаг рака  не найден?

Найден - простата.

Almo аватар
Не на сайте
Был на сайте: 4 дня 12 часов назад
Зарегистрирован: 28.09.2008 - 18:50
Публикации: 8306

Спасибо! А пациента как-то лечили и какой у него возраст?

Катенёв Валентин Львович аватар
Не на сайте
Был на сайте: 7 лет 6 месяцев назад
Зарегистрирован: 22.03.2008 - 22:15
Публикации: 54876

Верификация в Областном ОД.

Был выявлен, как контроль после флюорографии (изображения в комменте 7), дообследован, с подозрением на "секундарные изменения" был направлен в ООД.

Возраст - уже за 60 лет.

Almo аватар
Не на сайте
Был на сайте: 4 дня 12 часов назад
Зарегистрирован: 28.09.2008 - 18:50
Публикации: 8306

Спасибо! Это конечно, не в ваш огород камень, но ведь MTS были видны и год назад, можно предположить что и по первичному очагу ( простате), на тот период были жалобы.Возможно, если бы правильный D.S. был поставлен тогда, у пациента было бы больше шансов. В 60 годы ХХ века , 68% онкологических заболеваний выявлялось в СССР на 3-4 стадиях;...прошло 50 лет, мы не на йоту не продвинулись вперёд (те же 68%).

Катенёв Валентин Львович аватар
Не на сайте
Был на сайте: 7 лет 6 месяцев назад
Зарегистрирован: 22.03.2008 - 22:15
Публикации: 54876

Almo wrote:

 В 60 годы ХХ века , 68% онкологических заболеваний выявлялось в СССР на 3-4 стадиях;...прошло 50 лет, мы не на йоту не продвинулись вперёд (те же 68%).

Здравствуйте Александр!

А почему мы должны продвинуться?

Все "двигает" прежде всего "человеческий фактор".

На мой взгляд "человеческий фактор" на последнее время не улучшился, а даже совсем наоборот...

Almo аватар
Не на сайте
Был на сайте: 4 дня 12 часов назад
Зарегистрирован: 28.09.2008 - 18:50
Публикации: 8306

Здравствуйте, Валентин Львович! Я имел ввиду, что эффективность медицины за 50 лет, могла бы как-то измениться в лучшую сторону.