Метастазы в ребра? Такое вижу впервые...

Пол пациента: 
Методы исследования: 

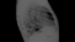
1950 г.р. По направлению от уролога с жалобами на затрудненное мочеиспускание. Пришел на флюшку. .

Такого я еще не видел...

  • https://radiomed.ru/sites/default/files/styles/case_slider_image/public/user/17526/img-0003-00001_34.jpg?itok=hP6rD4nv
  • https://radiomed.ru/sites/default/files/styles/case_slider_image/public/user/17526/img-0005-00001_29.jpg?itok=Ia29XhhY
  • https://radiomed.ru/sites/default/files/styles/case_slider_image/public/user/17526/img-0004-00001_30.jpg?itok=6oEw5i9h
ID:35866
Sepsis аватар
Не на сайте
Был на сайте: 1 год 8 месяцев назад
Зарегистрирован: 13.12.2012 - 16:48
Публикации: 283

Может эта получше.

Приложения: 
img-0001-00001.jpg
Sepsis аватар
Не на сайте
Был на сайте: 1 год 8 месяцев назад
Зарегистрирован: 13.12.2012 - 16:48
Публикации: 283

.....

Приложения: 
img-0002-00001.jpg
Special.K аватар
Не на сайте
Был на сайте: 8 лет 10 месяцев назад
Зарегистрирован: 09.08.2012 - 23:08
Публикации: 479

коллега, почему только в ребра?  по-вашему, с легкими все хорошо?    я за множественные мелкие метастазы в легкие и ребра.

Катенёв Валентин Львович аватар
Не на сайте
Был на сайте: 7 лет 3 недели назад
Зарегистрирован: 22.03.2008 - 22:15
Публикации: 54876

Тут правда только одно ребро справа. Интересно..., тоже метастазы?

e11167d07151321d3bab9d1d576ffd_big_gallery.jpg

Катенёв Валентин Львович аватар
Не на сайте
Был на сайте: 7 лет 3 недели назад
Зарегистрирован: 22.03.2008 - 22:15
Публикации: 54876

Интересно, а дифряда не будет?

Катенёв Валентин Львович аватар
Не на сайте
Был на сайте: 7 лет 3 недели назад
Зарегистрирован: 22.03.2008 - 22:15
Публикации: 54876

Дак и позвонки весьма смутительные..., только вот векторе ли метастазов?

stovbav аватар
Не на сайте
Был на сайте: 2 года 2 месяцев назад
Зарегистрирован: 20.12.2009 - 17:28
Публикации: 7066

Катенёв Валентин Львович wrote:

Дак и позвонки весьма смутительные..., только вот векторе ли метастазов?

 Но ведь простата может "насыпать " и в ребра, и в позвонки...

Mila85 аватар
Не на сайте
Был на сайте: 3 года 1 месяц назад
Зарегистрирован: 15.03.2012 - 16:59
Публикации: 1790

+1, тут не только ребра, легкие тоже

NIL аватар
NIL
Не на сайте
Был на сайте: 3 дня 5 часов назад
Зарегистрирован: 25.11.2013 - 20:50
Публикации: 18206

Да, и лёгкие , и кости.


"Слушай всех, прислушивайся к немногим, решай сам".©

Андрей Юрьевич аватар
Не на сайте
Был на сайте: 1 неделя 2 дня назад
Зарегистрирован: 16.11.2008 - 22:16
Публикации: 18098

Затруднение мочеиспускания не обязательно простата, мочевой пузырь может быть тоже.

Андрей Юрьевич

И.Бондаренко аватар
Не на сайте
Был на сайте: 1 день 2 часа назад
Зарегистрирован: 13.09.2011 - 22:55
Публикации: 9206

Андрей Юрьевич wrote:

Затруднение мочеиспускания не обязательно простата, мочевой пузырь может быть тоже.

И метастазирует одинаково.

Андрей Юрьевич аватар
Не на сайте
Был на сайте: 1 неделя 2 дня назад
Зарегистрирован: 16.11.2008 - 22:16
Публикации: 18098

И.Бондаренко wrote:

Андрей Юрьевич wrote:

Затруднение мочеиспускания не обязательно простата, мочевой пузырь может быть тоже.

И метастазирует одинаково.


Вид другой, у мочевого пузыря мтс остолитические/или смешанные, у простаты - бластные, а также динамика; и в легкие простата редко метастазирует.

Андрей Юрьевич

Дмитрий Волегов аватар
Не на сайте
Был на сайте: 3 года 6 месяцев назад
Зарегистрирован: 22.05.2013 - 00:32
Публикации: 1148

Почему сразу метастазы? Может сначала интерстициальный отек легких.

С Уважением, Дмитрий.

Андрей Юрьевич аватар
Не на сайте
Был на сайте: 1 неделя 2 дня назад
Зарегистрирован: 16.11.2008 - 22:16
Публикации: 18098

При отека обычно подчеркнута правая горизонтальная междолевая плевра, да и ведь это не просто так - отек лекгих, должна быть клиника отека.

Андрей Юрьевич

Sepsis аватар
Не на сайте
Был на сайте: 1 год 8 месяцев назад
Зарегистрирован: 13.12.2012 - 16:48
Публикации: 283

Пациента вижу впервые - архива нет.

Жалобы только на затрудненное мочеиспускание (только на эту жалобу он пожаловался мне при разговоре). Клиники отека точно нет. Самочувствие хорошее, и вообще на вид вполне здоров :-) Из всех назначенных ему исследований и анализов сначала пришел на флюшку, поэтому ничего больше сказать не могу и склоняюсь именно к простате. Вот так коллеги.

Sepsis аватар
Не на сайте
Был на сайте: 1 год 8 месяцев назад
Зарегистрирован: 13.12.2012 - 16:48
Публикации: 283

Special.K wrote:

коллега, почему только в ребра?  по-вашему, с легкими все хорошо?    я за множественные мелкие метастазы в легкие и ребра.

Спорить не буду.

На фоне таких плотных и "рябых" ребер легкие могут быть тоже усеяны. Вполне может быть и там и там и еще в позвонках...и наверняка еще где-то. Но вот четко остеобластические я вижу в ребрах причем в огромном количестве.

Sepsis аватар
Не на сайте
Был на сайте: 1 год 8 месяцев назад
Зарегистрирован: 13.12.2012 - 16:48
Публикации: 283
Катенёв Валентин Львович wrote:
Интересно, а дифряда не будет?
 
 

 

Валентин Львович, какой бы  вы диф ряд предложили если дан только снимок и более ничего?

Просто для меня на будущее...

Катенёв Валентин Львович аватар
Не на сайте
Был на сайте: 7 лет 3 недели назад
Зарегистрирован: 22.03.2008 - 22:15
Публикации: 54876

Андрей Юрьевич wrote:

Затруднение мочеиспускания не обязательно простата

+1

Катенёв Валентин Львович аватар
Не на сайте
Был на сайте: 7 лет 3 недели назад
Зарегистрирован: 22.03.2008 - 22:15
Публикации: 54876

Sepsis wrote:

Валентин Львович, какой бы  вы диф ряд предложили если дан только снимок и более ничего?

Субъёктивно, на второе место в дифряду, поставил бы болезнь Педжета!

Катенёв Валентин Львович аватар
Не на сайте
Был на сайте: 7 лет 3 недели назад
Зарегистрирован: 22.03.2008 - 22:15
Публикации: 54876

Татьяна Валентиновна, родненькая!

Где Вы?

А.В. аватар
Не на сайте
Был на сайте: 9 лет 4 дня назад
Зарегистрирован: 13.01.2014 - 16:17
Публикации: 3

У меня были почти такие же легкие, у мужчины аденома простаты, сделали флюшку, нормально, только усиление рисунка, он отправился на лечение, через 2 недели лечения така же картина, написали мтс в кости и лимфангоит, на этом фоне не исключили в легких мтс.

Катенёв Валентин Львович аватар
Не на сайте
Был на сайте: 7 лет 3 недели назад
Зарегистрирован: 22.03.2008 - 22:15
Публикации: 54876

Интересно..., а верификация...

А.В. аватар
Не на сайте
Был на сайте: 9 лет 4 дня назад
Зарегистрирован: 13.01.2014 - 16:17
Публикации: 3

К сожалению, с возвратом диагнозов с онкологии трудновато....