ММГ

Пол пациента: 
Область исследования: 
Методы исследования: 

 

  • https://radiomed.ru/sites/default/files/styles/case_slider_image/public/user/1787/P1000724.jpg?itok=kMwrgGsS
ID:1009
Аризона аватар
Не на сайте
Был на сайте: 3 года 6 месяцев назад
Зарегистрирован: 03.02.2010 - 17:17
Публикации: 109

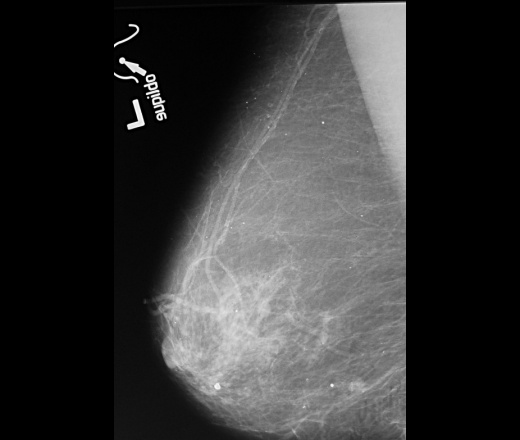
 как хорошо виден на прицеле злокачественное узловое образование с микрокальцинатами

lydmila K аватар
Не на сайте
Был на сайте: 16 лет 2 месяцев назад
Зарегистрирован: 07.12.2009 - 05:47
Публикации: 4

А с увеличением делать не пробовали?

Per aspera ad astra.

Vikkur аватар
Не на сайте
Был на сайте: 5 лет 2 недели назад
Зарегистрирован: 24.09.2009 - 14:34
Публикации: 1749

Извините я не знаю как это делать ((((. Спросить не у кого. Подскажите. Но насколько я понимаю надо либо орган от кассеты отодвинуть либо трубку. как это сделать я не предсавляю(

Виктор.

mila аватар
Не на сайте
Был на сайте: 5 лет 7 месяцев назад
Зарегистрирован: 26.02.2010 - 02:56
Публикации: 277

Для снимков с увеличением на вашем маммографе есть приставка и маленький тубус,  железа кладется на столик, режим выбирается вручную, я часто использую 23-125, или 22-100 в зависимости от размеров желзы, очень хорошо видны контуры образования, микрокальцинаты.

Приложения: 
pric_s_uv_IMG.jpgnepr_forma.jpg
Vikkur аватар
Не на сайте
Был на сайте: 5 лет 2 недели назад
Зарегистрирован: 24.09.2009 - 14:34
Публикации: 1749

Ас подскажите пожалуйста у Вас маммограф МД-РА? Где Вы взяли такую подставку?

 

Виктор.

mila аватар
Не на сайте
Был на сайте: 5 лет 7 месяцев назад
Зарегистрирован: 26.02.2010 - 02:56
Публикации: 277

Я по маркировкам и снимкам, думаю, что у нас одинаковые маммографы, МД-РА с трубкой филипс, в нашем регионе устанавливалсь в 1997-1999г, эти приставки входят в комплектацию, ищите в "кладовках", Маммограф очень хороший, хоть и не первой молодости, при правильной работе, снимки лучше чем на новых маммографах установленных по нацпроекту.

Vikkur аватар
Не на сайте
Был на сайте: 5 лет 2 недели назад
Зарегистрирован: 24.09.2009 - 14:34
Публикации: 1749

mila wrote:

Я по маркировкам и снимкам, думаю, что у нас одинаковые маммографы, МД-РА с трубкой филипс, в нашем регионе устанавливалсь в 1997-1999г, эти приставки входят в комплектацию, ищите в "кладовках", Маммограф очень хороший, хоть и не первой молодости, при правильной работе, снимки лучше чем на новых маммографах установленных по нацпроекту.

 

Спасибо! У Вас такой же "только с крыльями"-"Будем искать!"

Виктор.