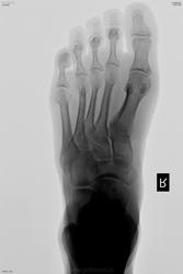
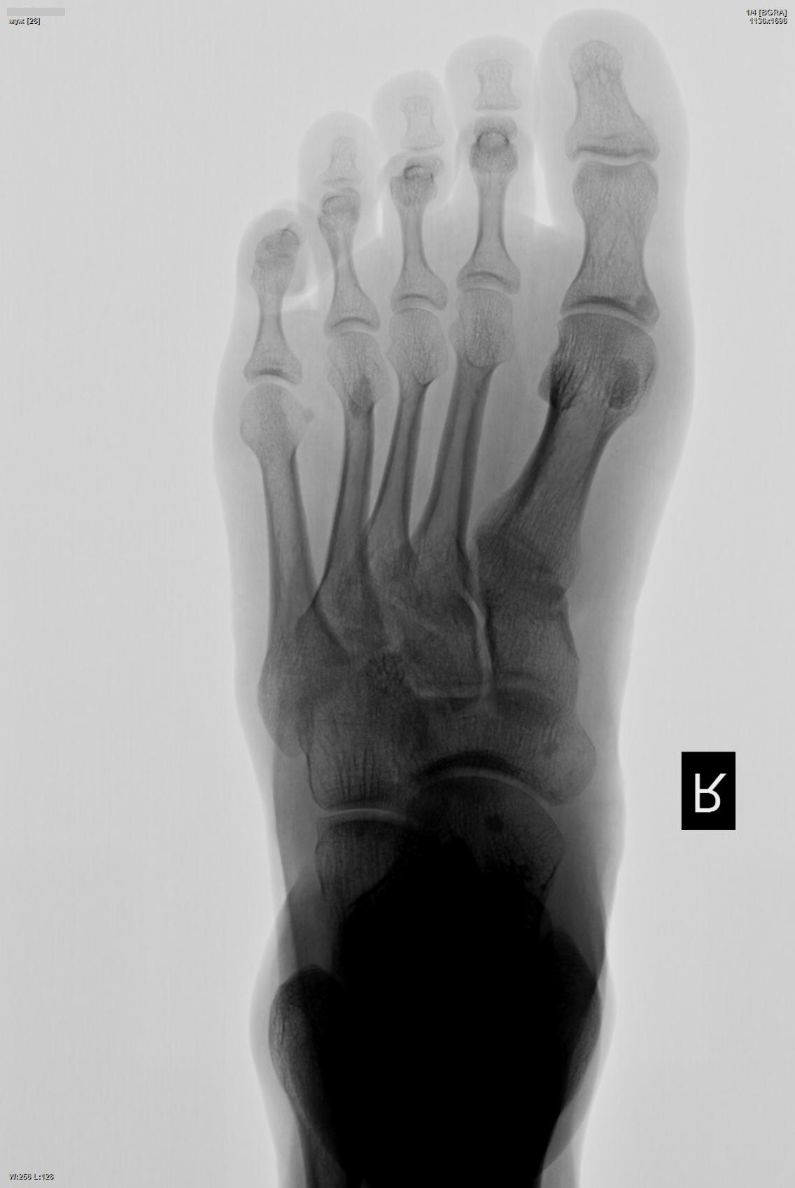
И такое бывает. Но говорят, что это не плохо.) ID:46271 Сб, 31/05/2014 - 12:39 #1 Nobody Не на сайте Был на сайте: 11 лет 4 недели назад Зарегистрирован: 15.03.2014 - 20:29 Публикации: 2013 ... С этим долго живут, нам говорят.)Приложения: "Лишь утратив всё до конца, мы обретаем свободу." F.C. Сб, 31/05/2014 - 13:16 #2 И.Бондаренко Не на сайте Был на сайте: 3 дня 16 часов назад Зарегистрирован: 13.09.2011 - 22:55 Публикации: 9206 Интересные уплотнения. Сб, 31/05/2014 - 13:50 #3 NIL Не на сайте Был на сайте: 23 часа 11 минут назад Зарегистрирован: 25.11.2013 - 20:50 Публикации: 18205 Эностоз или остеопойкилия? "Слушай всех, прислушивайся к немногим, решай сам".© Сб, 31/05/2014 - 17:02 #4 atexta Не на сайте Был на сайте: 2 года 10 месяцев назад Зарегистрирован: 08.02.2014 - 18:41 Публикации: 4842 Похоже , кажется, на случай shlyapa с бедренной костью, интересно, есть у этого научное название ? Может, Андрей Юрьевич заглянет сюда... Не нам судить… Сб, 31/05/2014 - 18:51 #5 алкс Не на сайте Был на сайте: 10 лет 2 недели назад Зарегистрирован: 24.10.2012 - 22:55 Публикации: 2915 NIL wrote: Эностоз или остеопойкилия? А это и есть ответ. Сб, 31/05/2014 - 18:55 #6 NIL Не на сайте Был на сайте: 23 часа 11 минут назад Зарегистрирован: 25.11.2013 - 20:50 Публикации: 18205 алкс wrote: NIL wrote: Эностоз или остеопойкилия? А это и есть ответ. Нет, мысли вслух"Или " не годится. Учитывая количество плотных очагов, пусть будет остеопойкилия. Эностоз - гордая одиночка. "Слушай всех, прислушивайся к немногим, решай сам".© Сб, 31/05/2014 - 19:11 #7 алкс Не на сайте Был на сайте: 10 лет 2 недели назад Зарегистрирован: 24.10.2012 - 22:55 Публикации: 2915 NIL wrote: алкс wrote: NIL wrote: Эностоз или остеопойкилия? А это и есть ответ. Нет, мысли вслух"Или " не годится. Учитывая количество плотных очагов, пусть будет остеопойкилия. Эностоз - гордая одиночка. Я за!
... С этим долго живут, нам говорят.)
"Лишь утратив всё до конца, мы обретаем свободу." F.C.
Интересные уплотнения.
Эностоз или остеопойкилия?
"Слушай всех, прислушивайся к немногим, решай сам".©
Похоже , кажется, на случай shlyapa с бедренной костью, интересно, есть у этого научное название ? Может, Андрей Юрьевич заглянет сюда...
Не нам судить…
А это и есть ответ.
"Слушай всех, прислушивайся к немногим, решай сам".©
Я за!