Может пожалеть деток?

Пол пациента: 
Методы исследования: 

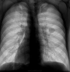
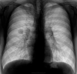
Бомжеватого вида молодой человек, вспомнив о двух детках, решил устроиться на работу, требует положительной флгр. Жалоб не предъявляет, архива нет. Предыдущая Ro-гр.ОГК - 2 года назад в наркодиспансере, где выходил из запоя. По его словам - было все ОК. Что-то есть справа в S1. А что это за гомогенноинтенсивночеткий кругляшок, да еще (если пофантазировать) с дренажным сосудиком? Какая-то киста, или что-то посерьезней. Если допустить, что на верхушке фиброзноочаговые изм., а второе - киста - можно и отпустить с богом. Все равно (по его словам) денег на КТ ОГК, консультации (особенно в онко) нет. Пожалеть деток?

  • https://radiomed.ru/sites/default/files/styles/case_slider_image/public/user/3055/1973g.r.22.12.2010g.zadn_.jpg?itok=Ocnp3_TU
  • https://radiomed.ru/sites/default/files/styles/case_slider_image/public/user/3055/1973g.r.22.12.2010g.pr_.bok_.jpg?itok=jPoTVMm6
ID:10495
Вячеслав аватар
Не на сайте
Был на сайте: 5 лет 7 месяцев назад
Зарегистрирован: 01.04.2010 - 19:56
Публикации: 209

Игорь Иванович wrote:

Бомжеватого вида молодой человек...

 Да, деток надо пожалеть... дообследовать этого молодого человека по полной программе, сообщить куда надо, что папа деток болен, пусть заставят его пройти все необходимые обследования и, если потребуется,  полечится. Да и себя освободите от лишнего "гемор-я". Пустите его по линии фтизиатров: они должны все исследования провести бесплатно и в срок.

Катенёв Валентин Львович аватар
Не на сайте
Был на сайте: 7 лет 1 месяц назад
Зарегистрирован: 22.03.2008 - 22:15
Публикации: 54876

 

Не внушает мне эта тень «фейсно», как отражение периферического рака, никакого доверия и симпатии.

Приложения: 
1.f.1973g.r.22.12.2010g..jpg2.f.1973g.r.22.12.2010g.zadn_.jpg3.f.1973g.r.22.12.2010g.pr_.bok_.jpg4.f.13g.r.22.12a.jpg6.f.93g.r.22.12a.jpg45.f.1973g.r.22.12b.jpg
Катенёв Валентин Львович аватар
Не на сайте
Был на сайте: 7 лет 1 месяц назад
Зарегистрирован: 22.03.2008 - 22:15
Публикации: 54876

А, это "трио" прямо по "линейке" плачет и вздыхает...

Приложения: 
1.sodruzhestvo.jpg2.sodruzhestvoaaaaa.jpg3.sodruzhestvoabaaa.jpg
Николай аватар
Не на сайте
Был на сайте: 2 года 9 месяцев назад
Зарегистрирован: 29.05.2009 - 04:38
Публикации: 554

что значит отпустить пожалеть деток? Здесь нужно довести дело до конца провести полноценное обследование, пролечить. Отпустить то всегда можно, а что дальше вы уверены что деткам станет легче, когда их папа сляжет через некоторое время?