Можно ли думать о раке?

Пол пациента: 
Методы исследования: 

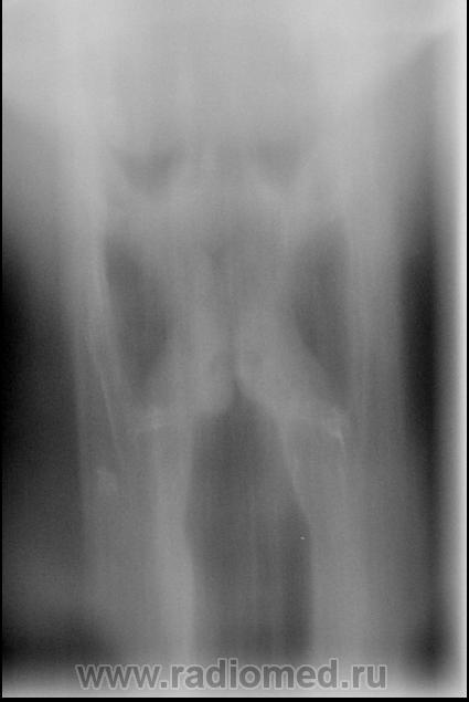
Мужчина 65 лет. Жалобы на осиплость голоса в течение 3 недель. Стаж курения 50 лет.

  • https://radiomed.ru/sites/default/files/styles/case_slider_image/public/user/9173/gortan_mashyanov.jpg?itok=0NjcnZjw
ID:12825
Zorg аватар
Не на сайте
Был на сайте: 14 лет 7 месяцев назад
Зарегистрирован: 14.03.2011 - 23:13
Публикации: 61

По тому, что есть, я не могу уверенно сказать об опухоли. В принципе, всё симметрично. Сам делаю 4 снимка: а)фонация "у" громко, чтоб в пультовой было слышно; б) в покое; в) на медленном продолжительном вдохе и г) в напряжении (попытка выдоха через сомкнутую голосовую щель). Предпочитаю делать снимки сам, со скопии. Но навязывать такую медоту очаровательной девушке не смею!

Helios аватар
Не на сайте
Был на сайте: 7 месяцев 2 недели назад
Зарегистрирован: 06.08.2010 - 15:16
Публикации: 4417

Присоединяюсь к коллеге.Симметрия не нарушена.

Бородулин М.А. аватар
Не на сайте
Был на сайте: 9 месяцев 1 неделя назад
Зарегистрирован: 17.02.2011 - 01:10
Публикации: 1409

Думать оно конечно можно, но    

Юлия Игоревна аватар
Не на сайте
Был на сайте: 14 лет 2 месяцев назад
Зарегистрирован: 18.02.2011 - 17:20
Публикации: 36

Спасибо за комментарии. Гортани смотрю очень редко, боюсь пропустить патологию.

v1tal аватар
Не на сайте
Был на сайте: 4 года 9 месяцев назад
Зарегистрирован: 07.06.2008 - 19:41
Публикации: 1779

Вами представлено несколько случаев  по поводу исследования хрящей гортани, а МРТ-исследования у Вас не проводиться?

"Знаешь, у некоторых врачей есть комплекс мессии — им необходимо спасать мир. А у тебя комплекс Рубика — тебе необходимо решать головоломки."

Юлия Игоревна аватар
Не на сайте
Был на сайте: 14 лет 2 месяцев назад
Зарегистрирован: 18.02.2011 - 17:20
Публикации: 36

К сожалению, нет.