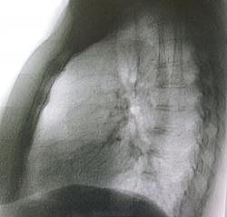
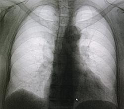
Пол пациента: Мужской пол Тип патологии: Инфекция Область исследования: Грудная клетка и верхние дыхательные пути Методы исследования: Rg Пациент средних лет, плановый осмотр, жалоб не предъявляет(незначительный кашель). https://radiomed.ru/sites/default/files/styles/case_slider_image/public/user/712/sl273319.jpg?itok=L3hNXDOC https://radiomed.ru/sites/default/files/styles/case_slider_image/public/user/712/sl273318.jpg?itok=wxMta4sk ID:9208 Сб, 20/11/2010 - 20:50 #1 Makcimalist Не на сайте Был на сайте: 11 лет 9 месяцев назад Зарегистрирован: 08.05.2010 - 14:28 Публикации: 1994 - снимки (репродукции по Петровичу) низкого качества, переделал бы снимки! -------------- "Просто, по видимости, не видеть логики в очевидных вещах - это тоже одно из свойств некоторых умов, наряду с грустными думами о свойствах ума других." © Vega 08/10/2011 Вс, 21/11/2010 - 01:38 #2 Петрович Не на сайте Был на сайте: 7 лет 3 месяцев назад Зарегистрирован: 22.03.2009 - 01:13 Публикации: 3908 Makcimalist wrote: - снимки (репродукции по Петровичу) низкого качества, переделал бы снимки!Верно! А то поговорить-то о пневмонии можно, но безответственно. Неоднозначно всё Вс, 21/11/2010 - 01:53 #3 Helios Не на сайте Был на сайте: 7 месяцев 4 недели назад Зарегистрирован: 06.08.2010 - 15:16 Публикации: 4417 Признаков не вижу.Не буду кидать больше камней в огород по поводу качества -и так досталось. Вс, 21/11/2010 - 02:01 #4 Петрович Не на сайте Был на сайте: 7 лет 3 месяцев назад Зарегистрирован: 22.03.2009 - 01:13 Публикации: 3908 Это кто ж посмел обидеть Ревнительницу Качества? Дайте ссылку! Неоднозначно всё Вс, 21/11/2010 - 10:14 #5 Helios Не на сайте Был на сайте: 7 месяцев 4 недели назад Зарегистрирован: 06.08.2010 - 15:16 Публикации: 4417 Петрович wrote: Это кто ж посмел обидеть Ревнительницу Качества? Дайте ссылку! Петрович, меня не так легко обидеть.Конечно, попытаться-то можно, но за последствия не ручаюсь. Это я пытаюсь подбодрить Игоря Артуровича-его случай. По поводу качества-понимаю, что хороший снимок и ду..(ой!) любой доктор прочитать сможет.Мне по душе больше качественные,Справедливый Вы наш! Вс, 21/11/2010 - 12:47 #6 Иван Тяпкин Не на сайте Был на сайте: 8 лет 4 месяцев назад Зарегистрирован: 27.09.2009 - 22:18 Публикации: 37 Пневмонии не вижу Вс, 21/11/2010 - 16:23 #7 Глазков Игорь А... Не на сайте Был на сайте: 9 месяцев 3 недели назад Зарегистрирован: 19.12.2008 - 20:41 Публикации: 1597 Helios wrote: Петрович wrote: Это кто ж посмел обидеть Ревнительницу Качества? Дайте ссылку! Петрович, меня не так легко обидеть.Конечно, попытаться-то можно, но за последствия не ручаюсь. Это я пытаюсь подбодрить Игоря Артуровича-его случай. По поводу качества-понимаю, что хороший снимок и ду..(ой!) любой доктор прочитать сможет.Мне по душе больше качественные,Справедливый Вы наш! ПОДДЕРЖКУ. Прийди к Себе Вс, 21/11/2010 - 18:41 #8 Катенёв Валенти... Не на сайте Был на сайте: 7 лет 4 недели назад Зарегистрирован: 22.03.2008 - 22:15 Публикации: 54876 А, Ваше мнение по поводу "пневмонии" какое Игорь Артурович? Вс, 21/11/2010 - 18:48 #9 Катенёв Валенти... Не на сайте Был на сайте: 7 лет 4 недели назад Зарегистрирован: 22.03.2008 - 22:15 Публикации: 54876 Меня сильно смущает на этих снимках только одно - "горбик" по контуру левого желудочка. Что УЗИ, что ЭКГ? Данных за аневризму левого желудочка нет? Приложения: Вс, 21/11/2010 - 18:52 #10 Катенёв Валенти... Не на сайте Был на сайте: 7 лет 4 недели назад Зарегистрирован: 22.03.2008 - 22:15 Публикации: 54876 Наличие пневмонии в данном случае совсен не воодушевляет.Приложения: Вс, 21/11/2010 - 18:56 #11 Дарья Не на сайте Был на сайте: 15 лет 4 недели назад Зарегистрирован: 22.09.2010 - 22:33 Публикации: 98 "горбик" по контуру левого желудочка-плевро-перикардиальная спайка? Вс, 21/11/2010 - 18:58 #12 Катенёв Валенти... Не на сайте Был на сайте: 7 лет 4 недели назад Зарегистрирован: 22.03.2008 - 22:15 Публикации: 54876 Дарья wrote: "горбик" по контуру левого желудочка-плевро-перикардиальная спайка? Может и спайка, а может и нет... Вс, 21/11/2010 - 21:08 #13 Глазков Игорь А... Не на сайте Был на сайте: 9 месяцев 3 недели назад Зарегистрирован: 19.12.2008 - 20:41 Публикации: 1597 пневмонии здесь нет. УЗИ сделать порекомендую. Прийди к Себе
- снимки (репродукции по Петровичу) низкого качества, переделал бы снимки!
--------------
"Просто, по видимости, не видеть логики в очевидных вещах - это тоже одно из свойств некоторых умов, наряду с грустными думами о свойствах ума других." © Vega 08/10/2011
Неоднозначно всё
Признаков не вижу.Не буду кидать больше камней в огород по поводу качества -и так досталось.
Это кто ж посмел обидеть Ревнительницу Качества? Дайте ссылку!
Неоднозначно всё
Это я пытаюсь подбодрить Игоря Артуровича-его случай.
По поводу качества-понимаю, что хороший снимок и ду..(ой!) любой доктор прочитать сможет.Мне по душе больше качественные,Справедливый Вы наш!
Пневмонии не вижу
Прийди к Себе
А, Ваше мнение по поводу "пневмонии" какое Игорь Артурович?
Меня сильно смущает на этих снимках только одно - "горбик" по контуру левого желудочка. Что УЗИ, что ЭКГ? Данных за аневризму левого желудочка нет?
Наличие пневмонии в данном случае совсен не воодушевляет.
"горбик" по контуру левого желудочка-плевро-перикардиальная спайка?
Может и спайка, а может и нет...
пневмонии здесь нет. УЗИ сделать порекомендую.
Прийди к Себе