МРТ головного мозга. Mts или tbs ?

Пол пациента: 
Область исследования: 
Методы исследования: 

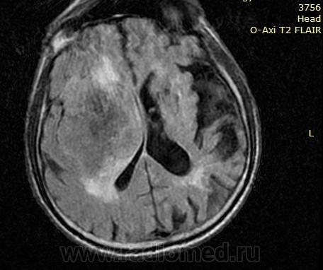
Пациент в тяжелом лежачем состоянии, резкое ухудшение 2 недели назад, прогрессирует. В конце 70годов лечился от туберкулеза легких. С 80гг время от времени наблюдается у невропатолога: нарушение сна, утомляемость, головные боли. На рентгенограммах от 03года выраженные фиброзные изменения, в верхушках множественные очаги (похоже на перенесенный tbs), в корне левого легкого от 10года какая-то не очень ясная маленькая тень/тяж, от 11 года там же большое 5-7 см плотное образование (похоже на центральный рак). И вот такая голова. 

  • https://radiomed.ru/sites/default/files/styles/case_slider_image/public/user/6212/flair.jpg?itok=zVeOUR3m
  • https://radiomed.ru/sites/default/files/styles/case_slider_image/public/user/6212/t1c.jpg?itok=Xu62Dl6e
ID:14511
Катенёв Валентин Львович аватар
Не на сайте
Был на сайте: 7 лет 5 месяцев назад
Зарегистрирован: 22.03.2008 - 22:15
Публикации: 54876

Трудненько нам, классикам, нету полёта, нет и специальных знаний. По аналогии, сходству ориентируемся. Вот нашел у себя в "загашнике", на мой взгляд "аналогичный случай".

Катенёв Валентин Львович аватар
Не на сайте
Был на сайте: 7 лет 5 месяцев назад
Зарегистрирован: 22.03.2008 - 22:15
Публикации: 54876

.

Приложения: 
1.m.slayd110.jpg2.m.slayd111.jpg3.m.slayd112.jpg4.m.slayd113.jpg5.m.slayd114.jpg6.m.slayd115.jpg7.m.slayd116.jpg
Stanislava аватар
Не на сайте
Был на сайте: 6 лет 2 месяцев назад
Зарегистрирован: 21.06.2011 - 08:24
Публикации: 82

Несочтите за назойливость, unre ALL, а возможно ли увидеть другие проекции этого исследования?

unre_ALL аватар
Не на сайте
Был на сайте: 8 лет 4 месяцев назад
Зарегистрирован: 15.09.2010 - 14:52
Публикации: 187

Возможно, а о чем Вы думаете? Я к тому, что сброс снимков мне обходится в 4-5 стадий. Расскажите, что ожидаете там увидеть, и что именно Вас смущает? Лично меня -отсутствие выраженного масс-эффекта. На снимках представленных уважаемым Валентином Львовичом патология как-раз таки укладывается в метастатическое поражение. Здесь же- огромный размер,  минимально выраженный перифокальный отек от сдавления, а на представленных сканах срединная линия вообще не смещена. Ниже она уходит влево до 5 мм. Сказать куда подевался весь объем, если это мтс- затрудняюсь. Разве что в расширенную на фоне атрофии сильвиевую щель, если она была такая же, как слева. Отсюда и возникли сомнения, а не туберкулема ли это с расплавленным веществом г.м. внутри. Да и контраст как-то вяленко идет, не по-злому.

Дело ясное, что дело темное.

 

-------------------------------------------------------------------------------------------------

Я получил счет от хирургов. Теперь мне понятно, почему эти парни работают в масках. 

GlowingOne аватар
Не на сайте
Был на сайте: 14 лет 8 месяцев назад
Зарегистрирован: 15.07.2009 - 16:29
Публикации: 10

По мне выглядит как опухоль, на Т2 туберкулезные дела дали гиперинтенсивный сигнал, однако для полной уверенности надо провести диффузно-взвешенную последовательность, если усиление сигнала будет только по периферии или вообще нет усиления то вероятнее всего опухоль, если усиление сигнала по всему образованию то уж точно воспалительный процесс (tbc?), что врядли...  

Stanislava аватар
Не на сайте
Был на сайте: 6 лет 2 месяцев назад
Зарегистрирован: 21.06.2011 - 08:24
Публикации: 82

«Все мысли, мысли в голове…..А где ж еще то?»

Во-первых сразу же смущает диф.ряд “mts, tbc”. Слишком редко встречается единичный метастаз или туберкулезное поражение ГМ таких больших размеров.

Во-вторых несоизмеримость размеров поражения и выраженности перифокальной реакции. Как метастатическое поражение так и туберкулезное, да еще таких размеров, должны сопровождаться выраженным отеком. Далее о самой перифокальной реакции. Вы полагаете, что это «отек»? Но учитывая столь незначительную выраженность реакции, не формирующейся ли это перитумарозный глиоз от длительной компрессий мозговой ткани.   

В-третьих туберкулезное поражение ГМ проявляется в двух формах: это туберкулезный менингит, что мы сразу исключаем, и туберкулома – инкапсулированный очаг казеозного некроза. Туберкулома имеет довольно толстую капсулу и гораздо более неоднородную структуру, чем на представленных снимках. Кстати и для mts-поражения характерна более гиперинтенсивная структура по Т2 ВИ. Теперь о накоплении К/В: в случаи с туберкуломой это должно быть кольцевидное контрастирование, т.е накопление идет по капсуле (сам некроз копить контраст не может!!!!!!!), для метастазов характерен и кольцивидный тип накопления и диффузный. Ни тот ни другой вразумительно в данном случаи не прослеживается.

Далее, такие мелочи, как гистологическая верификация объемного образования легких. Была ли она? Если да, то каковы её результаты? Если Сr тогда вопрос снимается с повестки дня. Если нет, до при длительном туберкулезном анамнезе, лимфогенное распространение процесса приводит к вовлечению бифуркационных, паратрахеальных и шейных лимфоузлов.

Исходя из этого меня интересуюсь нет ли связи образования с ТМО в конвекситальных отделах либо в области основания? Если таковая отсутствует, то вариант оболочечного поражения снимается. Но диффиренциальный ряд «mts, tbc?» лично для меня под большим вопросом.

unre_ALL аватар
Не на сайте
Был на сайте: 8 лет 4 месяцев назад
Зарегистрирован: 15.09.2010 - 14:52
Публикации: 187

Спасибо за ответ.  Пардон, ну очень тяжело вы рассуждаете.

 

Quote:
Слишком редко встречается единичный метастаз или туберкулезное поражение ГМ таких больших размеров.

Слишком редко у Вас- это не значит слишком редко у всех. Обращаю ваше внимание, что уважаемый Валентин Львович представил иллюстрацию - размер не намного меньше. Выложил, причем, сразу же. Будем помягче- не характерен.

 

Quote:
Вы полагаете, что это «отек»?  Но учитывая столь незначительную выраженность реакции, не формирующейся ли это перитумарозный глиоз от длительной компрессий мозговой ткани
   Я сказал "минимально выраженный". Вы готовы биться об заклад, что его там нету даже в умозрительном объеме равным 1 мл?  То, что это по большей части глиоз, это очевидно, при сравнении с контрлатеральной стороной.

Quote:
Как метастатическое поражение так и туберкулезное, да еще таких размеров, должны сопровождаться выраженным отеком.

у этих нозологий он разный по сути. Старый туберкулез может быть и без отека.

 

Quote:
Ни тот ни другой вразумительно в данном случаи не прослеживается.
Т.е. вы не видите "корона-эффект", оно же накопление по периферии, оно же, да, кольцевидное накопление  - на третьем скане?  Это караул.

Да, и если не сложно - покажите диффузное накопление при метастазах.

 

Quote:
Далее, такие мелочи, как гистологическая верификация объемного образования легких. Была ли она? Если да, то каковы её результаты? Если Сr тогда вопрос снимается с повестки дня. Если нет, до при длительном туберкулезном анамнезе, лимфогенное распространение процесса приводит к вовлечению бифуркационных, паратрахеальных и шейных лимфоузлов.

Зачем говорить подобные вещи, я не понимаю. Я подробно описываю в легких рентгенологическую картину - при том, вы полагаете, что  на руках есть верифицированный диагноз?  Говорить заученными фразами, не применяя их к месту и времени - есть непозволиительная роскошь. Я написал наверху анамнез. Прочитай еще раз. Шутка в том, что он такой- какой есть, пациент ушел, а что есть- наводит на размышления. Повторяю, рентгенологически в легких картина ОЧЕНЬ похожа на центральный рак легкого, выросший за ~год. Бронхоскопию не провели из-за тяжести состояния.

Напоследок, я окончательно потерял логическую нить ваших рассуждений. Ведь если 

Quote:
Если Сr тогда вопрос снимается с повестки дня
  

то зачем тогда все эти инсинуации

Quote:
сразу же смущает диф.ряд "mts, tbc"

Слишком редко встречается единичный метастаз

Но диффиренциальный ряд «mts, tbc?» лично для меня под большим вопросом.

  Под большим вопросом, но будет верификация и все сразу станет понятно? :)  Противоречите сами себе.  Как врач-диагност вы должны знать, что при наличии определенных признаков, опытный рентгенолог поставит центральынй рак с очень высокой степенью вероятности, я бы сказал процентов 90.

Какое там оболочечное поражение, вы о чем вообще.... Шар в пол-головы здесь.

 

Ну и, конечно, несказанно нравятся рассуждения "лично для меня под большим вопросом". Как это мило. Это по-нашему :) А предложить ХОТЬ ЧТО-НИБУДЬ свое, кроме того, что намекнуть "мол вы нифига" - как у нас с этим ? :) Есть 2 основные патологии, которые мы совершенно обоснованно с учетом всех имеющихся данных рассматриваем на предмет диссеменации - и вдруг сказать, что это все не то, тут совсем другое, и при этом не упомянуть даже в каком направлении другое, я уж не говорю о конкретных нозологиях это, извините, epic fail. Напоминает мне кое-что :)

Да уж, не убедили за другими проекциями лезть :)

 

С Уважением

 

-------------------------------------------------------------------------------------------------

Я получил счет от хирургов. Теперь мне понятно, почему эти парни работают в масках. 

ЛГ аватар
Не на сайте
Был на сайте: 9 лет 3 месяцев назад
Зарегистрирован: 06.01.2010 - 12:31
Публикации: 3523

Белый Медведь плохо переносит жаруsmiley. Не понимаю в МРТ, но вроде нашла похожие изображения. http://www.radiologyassistant.nl/en/47f86aa182b3a

Перевод Гугла, я не при чем. Может, кроме тбс и мтс, есть другие варианты? Только сильно не рычать))

Приложения: 
33.png
unre_ALL аватар
Не на сайте
Был на сайте: 8 лет 4 месяцев назад
Зарегистрирован: 15.09.2010 - 14:52
Публикации: 187

Медведь не рычит, медведь работает :))

 

Quote:
Не понимаю в МРТ

Давайте я Вас научу :) Тяжело только первые 60 лет, дальше легче).  Серьезно, выкладывайте )

 

Кстати, последняя картинка в тему. Инфильтративный рост. Может оказаться и так. Только структура у них разная, это смущает, и  накопление контраста разное: 3й снимок у меня - накопление по периферии, значит есть некий контур у образования -  и правый нижний на 33.png, сравните.  Такое хаотичное усиление как на 33.png как раз и говорит об инфильтративном росте, растет куда попало, без четкой границы.

 

Может, конечно, и что-то другое... В медицине встречается все, это я уже давно понял. Только не могу придумать в данном случае куда еще приложиться.  

Quote:
Есть пятнистый аксессуара
  А не пятнистого нет? :)) 

Подозревал, что в гугле полно китайцев :)

 

-------------------------------------------------------------------------------------------------

Я получил счет от хирургов. Теперь мне понятно, почему эти парни работают в масках. 

Катенёв Валентин Львович аватар
Не на сайте
Был на сайте: 7 лет 5 месяцев назад
Зарегистрирован: 22.03.2008 - 22:15
Публикации: 54876

"Давайте я Вас научу :) Тяжело только первые 60 лет, дальше легче). Серьезно, выкладывайте )"

Так можно выложить изображения?

unre_ALL аватар
Не на сайте
Был на сайте: 8 лет 4 месяцев назад
Зарегистрирован: 15.09.2010 - 14:52
Публикации: 187

Нужно.

))

 

Вы тоже хотите научить Людмилу Григорьевну? :)

 

Выкладывайте, количество-мало, качество-много, а то запутаемся. Желательно с интересующими вопросами, что бы легче начать. Задайте их себе, попробуйте ответить, после постараемся разобраться вместе.

 

 

P.S. от у нас еще одна мега голова прошла, в понедельник попробую выложить

 

-------------------------------------------------------------------------------------------------

Я получил счет от хирургов. Теперь мне понятно, почему эти парни работают в масках. 

Катенёв Валентин Львович аватар
Не на сайте
Был на сайте: 7 лет 5 месяцев назад
Зарегистрирован: 22.03.2008 - 22:15
Публикации: 54876

Я никого не хочу научить, я просто сам хочу иметь хотя бы малое представление об этом чудесном методе.

Катенёв Валентин Львович аватар
Не на сайте
Был на сайте: 7 лет 5 месяцев назад
Зарегистрирован: 22.03.2008 - 22:15
Публикации: 54876

Вопрос один - что это, или д/д ряд.

1. Серия.

Приложения: 
1.110322-3.jpg2.110322-4.jpg3.110322-15.jpg4.110322-23.jpg5.110322-25.jpg6.110322-27.jpg7.110322-34.jpg8.110322-36.jpg9.110322-37.jpg
Катенёв Валентин Львович аватар
Не на сайте
Был на сайте: 7 лет 5 месяцев назад
Зарегистрирован: 22.03.2008 - 22:15
Публикации: 54876

2. Серия.

Приложения: 
11.110319-21.jpg12.110319-43.jpg13.110319-29.jpg14.110319-51.jpg15.110319-20.jpg16.110319-6.jpg17.110319-54.jpg18.110319-22.jpg19.110319-9.jpg20.110319-44.jpg21.110319-81.jpg22.110319-89.jpg23.110319-43.jpg24.110319-100.jpg25.110319-30.jpg26.110319-103.jpg27.110319-35.jpg
Катенёв Валентин Львович аватар
Не на сайте
Был на сайте: 7 лет 5 месяцев назад
Зарегистрирован: 22.03.2008 - 22:15
Публикации: 54876

3. серия.

Приложения: 
28.110322-1.jpg29.110322-2.jpg30.110322-3.jpg31.110322-4.jpg32.110322-5.jpg33.110322-6.jpg34.110322-7.jpg35.110322-8.jpg36.110322-9.jpg
gar70 аватар
Не на сайте
Был на сайте: 10 лет 1 неделя назад
Зарегистрирован: 16.02.2011 - 21:49
Публикации: 43

На КТ-сфеноидит,этмоидит,на МРТ то же самое, осложненное абсцедированием (как  подписано на снимке 23.110319-43.jpg).

Что касается случая,представленного unre_ALLэто может быть и атипичный МТС из легкого, и первичная опухоль (насчет ТБЦ промолчу-,размеры неправдоподобно большие,хотя всякое бывает).Примеры из "Диагностической радиологии" КорниенкоВ.Н. и Пронина.И.Н.

А вообще, мне нравится выражение, прочитанное в одной из книг Е.Гришковца (не врача) : "Не надо лучше, чем надо".Переводя в плоскость лучевой диагностики скажу-не надо преувеличивать возможности даже самых современных методов,слишком много вариантов у самых разных патологических процессов,оставляйте  диффряд-надо  и лечащим врачам дать подумать .

Приложения: 
mts.jpggliosarkoma.jpg
Катенёв Валентин Львович аватар
Не на сайте
Был на сайте: 7 лет 5 месяцев назад
Зарегистрирован: 22.03.2008 - 22:15
Публикации: 54876

Это понятно (про абсцессы). А абсцессы типичные (характерные)?

gar70 аватар
Не на сайте
Был на сайте: 10 лет 1 неделя назад
Зарегистрирован: 16.02.2011 - 21:49
Публикации: 43

По мне, так самые,что ни на есть характерные-особенно при Т1-ВИ с в/в усилением-контрастное вещество накапливается в капсуле абсцесса,окрашивая ее в белый цвет,центральная часть остается жидкостной(темный цвет).А в чем подвох?

Катенёв Валентин Львович аватар
Не на сайте
Был на сайте: 7 лет 5 месяцев назад
Зарегистрирован: 22.03.2008 - 22:15
Публикации: 54876

А, в самом мозгу все "леге артис"?

gar70 аватар
Не на сайте
Был на сайте: 10 лет 1 неделя назад
Зарегистрирован: 16.02.2011 - 21:49
Публикации: 43

Вижу отек в лобной доле и  вокруг гиппокампа. Пора брать помощь клуба?

Катенёв Валентин Львович аватар
Не на сайте
Был на сайте: 7 лет 5 месяцев назад
Зарегистрирован: 22.03.2008 - 22:15
Публикации: 54876

gar70 wrote:

Вижу отек в лобной доле и  вокруг гиппокампа. Пора брать помощь клуба?

Да, это и непонятно, учитывая это, и выставил иллюстрации.

gar70 аватар
Не на сайте
Был на сайте: 10 лет 1 неделя назад
Зарегистрирован: 16.02.2011 - 21:49
Публикации: 43

Почему бы не расценить  это как перифокальный отек вокруг абсцесса?

Катенёв Валентин Львович аватар
Не на сайте
Был на сайте: 7 лет 5 месяцев назад
Зарегистрирован: 22.03.2008 - 22:15
Публикации: 54876

Я, в КТ и МРТ ни черта не смыслю, вот и обращаюсь к коллегам с вопросом.

unre_ALL аватар
Не на сайте
Был на сайте: 8 лет 4 месяцев назад
Зарегистрирован: 15.09.2010 - 14:52
Публикации: 187

Согласен. Воспалительный процесс, начавшийся в одной из придаточных пазух слева, распространившийся на все остальные (решетку, гайморову, основную, лобную), я бы сказал - левосторонний пансинусит. Прорвался в орбиту, видим ретробульбарный абсцесс (15.110319-20jpg).   Самый кашмар - это наличие внутримозгового абсцесса (12.110319-43, 18.110319-22, 20.110319-44, 22.110319-89.jpg.). Даже есть минимально выраженные признаки начинающегося дислокационного синдрома.

Учитывая выраженность процесса, немного (немного) смущает отсутствие жидкости, скажем, в гайморовой пазухе,  при этом видим выраженную гиперплазию слизистой ее  стенок . Есть мнение, что жидкость более характерна для острого периода, а здесь, на мой взгляд, самый что ни на есть острый. Хотя встречал и другое мнение, в сети описаны случаи, когда рентгенологи ставили по МРТ в гайморовых уровень жидкости, рекомендовали пунктировать, а на пункции жидкости обнаружено не было, что вызывало резкое юридическое недовольство по отношению к врачам.            

 

Quote:
Почему бы не расценить это как перифокальный отек вокруг абсцесса?
 

На  22.110319-89.jpg виден более яркий вокруг внутримозгового, вот он перифокальный, а от него некая дорожка к  большому и более бледному отеку, скорее всего, другого генеза. Какого? Учитывая локализацию- белове вещество, а так же прожилки накопления контраста в нем (12.110319-43), говорящие о нарушении ГЭБ, предположу, что это вазогенный отек. 

И/или обсеменение по оболочкам. Ситуация катастрофическая.

 

-------------------------------------------------------------------------------------------------

Я получил счет от хирургов. Теперь мне понятно, почему эти парни работают в масках. 

Катенёв Валентин Львович аватар
Не на сайте
Был на сайте: 7 лет 5 месяцев назад
Зарегистрирован: 22.03.2008 - 22:15
Публикации: 54876

Спасибо!!!

Катенёв Валентин Львович аватар
Не на сайте
Был на сайте: 7 лет 5 месяцев назад
Зарегистрирован: 22.03.2008 - 22:15
Публикации: 54876

Ещё одна "непонятка".

Приложения: 
21.dsc50624.jpg22.dsc50626.jpg23.dsc50632k.jpg24.dsc50634k.jpg25.dsc50640.jpg26.dsc50642.jpg27.dsc50651.jpg28.dsc50654.jpg
ЛГ аватар
Не на сайте
Был на сайте: 9 лет 3 месяцев назад
Зарегистрирован: 06.01.2010 - 12:31
Публикации: 3523

Катенёв Валентин Львович аватар
Не на сайте
Был на сайте: 7 лет 5 месяцев назад
Зарегистрирован: 22.03.2008 - 22:15
Публикации: 54876

Продолжение непонятки...

Приложения: 
29.dsc50655.jpg30.dsc50656.jpg31.dsc50659.jpg32.dsc50660.jpg1.n.dsc50663.jpg2.n.dsc50665.jpg3.n.dsc50667.jpg4.n.dsc50669.jpg
gar70 аватар
Не на сайте
Был на сайте: 10 лет 1 неделя назад
Зарегистрирован: 16.02.2011 - 21:49
Публикации: 43

Анамнез, конечно неизвестен? :-)

Придется пофантазировать-навскидку-ЧМТ, оперативное вмешательство по любому поводу, синусит. В левой лобной доле-образование смешанной структуры (есть капсула, воздух и жидкость- вероятно кровь и (или)  гной. Кроме того, на снимках 22.dsc50626.jpg и 24.dsc50634k.jpg между более крупным образованием и костью визуализируется отделенное от него тонкостенной капсулой (или твердой мозговой оболочкой)  жидкостное содержимое, интенсивно накапливающее контрастное вещество. Ну и конечно-перифокальный отек,масс-эффект. Мне кажется правдоподобным абсцесс с дочерним абсцессом,либо эпидуральной эмпиемой.

Жду подхода "свежих голов"!

Катенёв Валентин Львович аватар
Не на сайте
Был на сайте: 7 лет 5 месяцев назад
Зарегистрирован: 22.03.2008 - 22:15
Публикации: 54876

Травм, операций не было. Лор-заболеваниями не болел.

estrelcova аватар
Не на сайте
Был на сайте: 14 лет 9 месяцев назад
Зарегистрирован: 05.02.2011 - 11:18
Публикации: 38

[quote=unre_ALL]

Пациент в тяжелом лежачем состоянии, резкое ухудшение 2 недели назад, прогрессирует. В конце 70годов лечился от туберкулеза легких. С 80гг время от времени наблюдается у невропатолога: нарушение сна, утомляемость, головные боли. На рентгенограммах от 03года выраженные фиброзные изменения, в верхушках множественные очаги (похоже на перенесенный tbs), в корне левого легкого от 10года какая-то не очень ясная маленькая тень/тяж, от 11 года там же большое 5-7 см плотное образование (похоже на центральный рак). И вот такая голова. 

Вероятнее всего- метастаз! 

unre_ALL аватар
Не на сайте
Был на сайте: 8 лет 4 месяцев назад
Зарегистрирован: 15.09.2010 - 14:52
Публикации: 187

Катенёв Валентин Львович wrote:

Травм, операций не было. Лор-заболеваниями не болел.

   Интересно, это к вам такие пациенты поступают? Я то думал это в чистом виде научные изыскания по картинкам.

Да уж.. Мощно.

 

Вижу образование с капсулой, уровнем жидкости, светлым геморрагическим компонентом и газом(всегда черный) наверху, из чего следует мысль о сформировавшемся абсцессе с аэробной флорой. 

Не совсем согласен с коллегой насчет "жидкостного  содержимого, накапливающий контраст" внутри образования. В режиме Т2  жидкость, как правило, выглядит светлой, а пристеночный компонент на том же снимке гипоинтенсивный. Не характерный для жидкости темный сигнал, а так же выраженное накопление парамагнетика , все же более характерное для ткани, чем для жидкости, позволяют сделать вывод о том, что это некий мягкотканный субстрат.  Дальше самое интересное... что делать, куда бежать :). Умозрительно он один, без окружающих его чудес напоминает менингиому.... Менингиома, осложнившеяся  абсцессом? Странно все это...    Тем не менее, учитывая выпуклую форму с широким основанием "маленького", и как бы на нем/вокруг него расположенного "большого" можно сделать смелое предположение, что "маленький" первично, "большой" вторично. Может и 2 разных по времени абсцесса, первый из которых с наличием активной грануляционной ткани, потому и накапливает.

Менее вероятно - паразитарное поражение.

Говорите правильный ответ :)

 

 

-------------------------------------------------------------------------------------------------

Я получил счет от хирургов. Теперь мне понятно, почему эти парни работают в масках. 

Катенёв Валентин Львович аватар
Не на сайте
Был на сайте: 7 лет 5 месяцев назад
Зарегистрирован: 22.03.2008 - 22:15
Публикации: 54876

Вы правы - "Я то думал это в чистом виде научные изыскания по картинкам."

Так оно и есть.

Катенёв Валентин Львович аватар
Не на сайте
Был на сайте: 7 лет 5 месяцев назад
Зарегистрирован: 22.03.2008 - 22:15
Публикации: 54876

Правильный ответ - "Метастаз меланомы", похоже, или нет?

gar70 аватар
Не на сайте
Был на сайте: 10 лет 1 неделя назад
Зарегистрирован: 16.02.2011 - 21:49
Публикации: 43

Оно-то конечно, большая часть метастазов и абсцессов в головном мозге-близнецы-братья,но откуда газ? Кто-нибудь даст правдоподобное объяснение? Я придумал такое: делали стереотаксическую биопсию и занесли воздух  :-)

А вообще-то метастаз меланомы отличается от  других   тем,что может быть гиперинтенсивным при Т1-ВИ и изо-гипоинтенсивным при Т2-ВИ-тогда как с остальными МТС обычно наоборот- "вследствие присущего опухоли парамагнитного эффекта, обусловленного наличием меланина"(цитата из"Диагностической радиологии"Корниенко В.Н и Пронина И.Н)

Катенёв Валентин Львович аватар
Не на сайте
Был на сайте: 7 лет 5 месяцев назад
Зарегистрирован: 22.03.2008 - 22:15
Публикации: 54876

Вот нашел еще одну иллюстрацию метастаза меланомы.

Приложения: 
111.metastazslayd236.jpg
unre_ALL аватар
Не на сайте
Был на сайте: 8 лет 4 месяцев назад
Зарегистрирован: 15.09.2010 - 14:52
Публикации: 187

Вот это номер.  Ынтересно то как... ни разу такой меланомы не видел.

 

Quote:
Я придумал такое: делали стереотаксическую биопсию и занесли воздух :-)

 

А может абсцесс и занесли.

 

Quote:
  А вообще-то метастаз меланомы отличается от других тем,что может быть гиперинтенсивным при Т1-ВИ

 

Чеснгря, я других и не видел. Всегда светлые на Т1ВИ, много (голова, печень), не большие по размеру... мож какая атипичная?

 

-------------------------------------------------------------------------------------------------

Я получил счет от хирургов. Теперь мне понятно, почему эти парни работают в масках. 

unre_ALL аватар
Не на сайте
Был на сайте: 8 лет 4 месяцев назад
Зарегистрирован: 15.09.2010 - 14:52
Публикации: 187

А еще?

 

-------------------------------------------------------------------------------------------------

Я получил счет от хирургов. Теперь мне понятно, почему эти парни работают в масках. 

Катенёв Валентин Львович аватар
Не на сайте
Был на сайте: 7 лет 5 месяцев назад
Зарегистрирован: 22.03.2008 - 22:15
Публикации: 54876

Сегодня, "болтаясь" по всевозможным интернет-ресурсам, наткнулся на интересную иллюстрацию. Сначала, будучи профаном в этой высокой области, для себя подумал, что "это" макроаденома гипофиза...

Приложения: 
1.mm_.risunok1.jpg2.mm_.risunok2.jpg3.mm_.risunok5.jpg4.mm_.risunok6.jpg
Катенёв Валентин Львович аватар
Не на сайте
Был на сайте: 7 лет 5 месяцев назад
Зарегистрирован: 22.03.2008 - 22:15
Публикации: 54876

Но, динамика через 6 лет изумляет!

Приложения: 
5.mm_.risunok7.jpg6.mm_.risunok8.jpg7.mm_.risunok9.jpg8.mm_.risunok10.jpg9.mm_.risunok11.jpg10.mm_.risunok12.jpg11.mm_.risunok13.jpg12.mm_.risunok14.jpg13.mm_.risunok16.jpg
unre_ALL аватар
Не на сайте
Был на сайте: 8 лет 4 месяцев назад
Зарегистрирован: 15.09.2010 - 14:52
Публикации: 187

Краниофарингиома?

 

-------------------------------------------------------------------------------------------------

Я получил счет от хирургов. Теперь мне понятно, почему эти парни работают в масках. 

Катенёв Валентин Львович аватар
Не на сайте
Был на сайте: 7 лет 5 месяцев назад
Зарегистрирован: 22.03.2008 - 22:15
Публикации: 54876

Случай озаглавлен, как "Меланоцитома" (меланома).

estrelcova аватар
Не на сайте
Был на сайте: 14 лет 9 месяцев назад
Зарегистрирован: 05.02.2011 - 11:18
Публикации: 38

В моей практике КТ-врача была похожая КТ-картина образования головного мозга- состояние после ПХТ внутримозговой опухоли с присоединением анаэробной инфекции (снижен иммунитет). 

unre_ALL аватар
Не на сайте
Был на сайте: 8 лет 4 месяцев назад
Зарегистрирован: 15.09.2010 - 14:52
Публикации: 187

редкий сулчай, из оболочек скорее всего

 

-------------------------------------------------------------------------------------------------

Я получил счет от хирургов. Теперь мне понятно, почему эти парни работают в масках.