Пол пациента:
Тип патологии:
Область исследования:
Методы исследования:
ГОРЛИНА АННА.
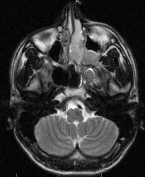
В последнее время на сайте много сообщений о патологии такой локализации. По закону парности и ко мне пришел пациент с направлением "Исключить опухоль орбиты". Мужчина 1982 г.р. жалуется на значительное снижение зрения на левый глаз. Зрачок расширен, движения глаза ограничены.
Рекомендовала КТ, врач КТ решил делать с контрастом.
Петрович!
Я сделала, как смогла.
Лёгкая добыча рентгенолога, говорил в таких случаях мой учитель. У МРТ-ологов, конечно, может быть иное мнение.
Большого объёма негомогенная масса, скорее всего опухоль, занимает слева полностью решетчатый лабиринт (видимо отсюда и исходит), а также частично полость носа, гайморову, клиновидную и лобную (полностью?) пазухи, проникает в глазницу, сдавливая и оттесняя её содержимое вперёд и кнаружи.
Все картинки хороши, особенно цветная.
Неоднозначно всё
Отдельное Спасибо Людмиле Николаевне Катенёвой за то, что не покинула нас в трудный час.
Неоднозначно всё