МРТ коленного сустава 2

Пол пациента: 
Тип патологии: 
Область исследования: 
Методы исследования: 

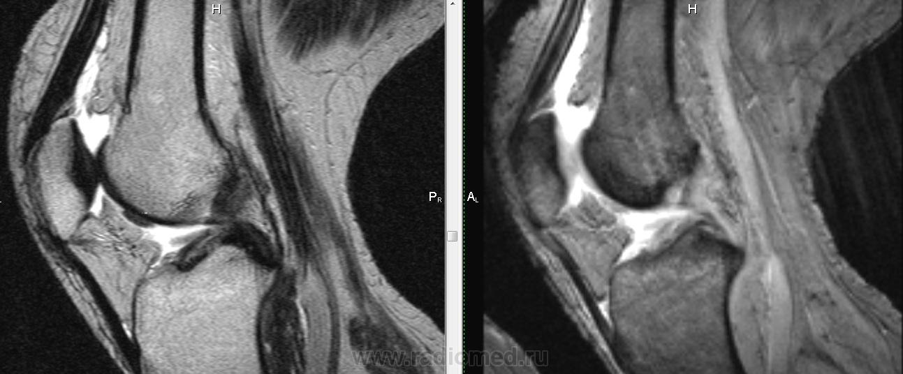
Падение с велосипеда. Вперед выступает фрагмент ПКС?

http://yadi.sk/d/o_dCq8NGDCgxp - дайком.

  • https://radiomed.ru/sites/default/files/styles/case_slider_image/public/user/7985/rad2.jpg?itok=aycaoQxc
  • https://radiomed.ru/sites/default/files/styles/case_slider_image/public/user/7985/rad3.jpg?itok=EMTng9eF
  • https://radiomed.ru/sites/default/files/styles/case_slider_image/public/user/7985/rad4.jpg?itok=JCtWFBD6
  • https://radiomed.ru/sites/default/files/styles/case_slider_image/public/user/7985/rad5.jpg?itok=Z79Uy8md
  • https://radiomed.ru/sites/default/files/styles/case_slider_image/public/user/7985/rad6.jpg?itok=KU9GrPW0
  • https://radiomed.ru/sites/default/files/styles/case_slider_image/public/user/7985/rad7.jpg?itok=8_kQGRoT
  • https://radiomed.ru/sites/default/files/styles/case_slider_image/public/user/7985/rad8.jpg?itok=AW7groFc
  • https://radiomed.ru/sites/default/files/styles/case_slider_image/public/user/7985/rad9.jpg?itok=CCyFkbvl
  • https://radiomed.ru/sites/default/files/styles/case_slider_image/public/user/7985/rad10.jpg?itok=XiYmSt2s
  • https://radiomed.ru/sites/default/files/styles/case_slider_image/public/user/7985/rad11.jpg?itok=uUn9rDUy
  • https://radiomed.ru/sites/default/files/styles/case_slider_image/public/user/7985/rad12.jpg?itok=wcTlYV8i
ID:33560
Helios аватар
Не на сайте
Был на сайте: 7 месяцев 2 недели назад
Зарегистрирован: 06.08.2010 - 15:16
Публикации: 4417

Не очень понятно, Михаил Александрович.Как-будто бы симптом "двойной  крестообразной связки", но не совсем похоже: при  этом  связка как-бы дугообразно идет.И мениски визуально вроде бы целы.Не может это быть фрагментом  переднего рога мениска?

Dima аватар
Не на сайте
Был на сайте: 7 лет 2 месяцев назад
Зарегистрирован: 05.08.2012 - 17:39
Публикации: 2467

Трудно сказать, на фрагмен мениска более похоже. Да и ПКС не отечная и внутренний мениск какой-то дефицитный. Если вопрос о цесостности ПКС обычно косая проекция выручает.

Терпимость - это когда прощают чужие ошибки; такт - когда не замечают их. (Артур Шницлер)

Фил аватар
Не на сайте
Был на сайте: 6 лет 9 месяцев назад
Зарегистрирован: 13.09.2011 - 16:24
Публикации: 137

Думаю , тут фрагмент   переднего рога и части тела  латерального мениска ,  он(фрагмент) совсем  оторвался и уплыл кпереди .