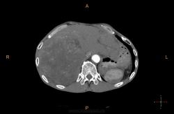
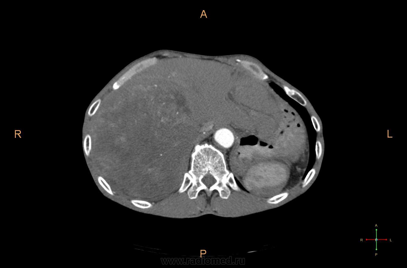
Пол пациента: Мужской пол Тип патологии: Злокачественное новообразование Область исследования: Пищеварительная система Методы исследования: КТ Пациент 64 лет с Ds: Хронический холангит в стадии обострения? ID:5078 Чт, 29/07/2010 - 16:29 #1 koriatus Не на сайте Был на сайте: 2 года 12 месяцев назад Зарегистрирован: 14.06.2010 - 01:49 Публикации: 452 Я бы думал о гепатоцеллюлярном раке. Чт, 29/07/2010 - 16:44 #2 rentgengb1 Не на сайте Был на сайте: 11 лет 11 месяцев назад Зарегистрирован: 13.02.2009 - 23:02 Публикации: 290 Согласен с Кориатус, гетерогенное контрастирование всего объема массы, в артериальную фазу прежде всего характерно для ГЦР. Чт, 29/07/2010 - 16:55 #3 v1tal Не на сайте Был на сайте: 4 года 9 месяцев назад Зарегистрирован: 07.06.2008 - 19:41 Публикации: 1779 Согласен с Вами, я тоже в заключении это указал, но от верификации пациент отказался, ему будет проводиться симптоматическая терапия. "Знаешь, у некоторых врачей есть комплекс мессии — им необходимо спасать мир. А у тебя комплекс Рубика — тебе необходимо решать головоломки."
Я бы думал о гепатоцеллюлярном раке.
Согласен с Кориатус, гетерогенное контрастирование всего объема массы, в артериальную фазу прежде всего характерно для ГЦР.
Согласен с Вами, я тоже в заключении это указал, но от верификации пациент отказался, ему будет проводиться симптоматическая терапия.
"Знаешь, у некоторых врачей есть комплекс мессии — им необходимо спасать мир. А у тебя комплекс Рубика — тебе необходимо решать головоломки."