Пол пациента:
Тип патологии:
Область исследования:
Методы исследования:
- https://radiomed.ru/sites/default/files/styles/case_slider_image/public/user/1787/P1010546.JPG?itok=v4X45N3Z
- https://radiomed.ru/sites/default/files/styles/case_slider_image/public/user/1787/P1010547.JPG?itok=yG1TODf9
- https://radiomed.ru/sites/default/files/styles/case_slider_image/public/user/1787/P1010548.JPG?itok=rAarbZX7
- https://radiomed.ru/sites/default/files/styles/case_slider_image/public/user/1787/P1010550.JPG?itok=11z1NugO
- https://radiomed.ru/sites/default/files/styles/case_slider_image/public/user/1787/P1010558.JPG?itok=gl4eecsC
ID:3363
По УЗИ - в малом тазу "гуля" 25 см в диаметре
Виктор.
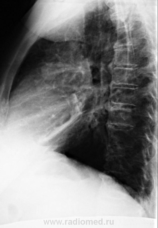
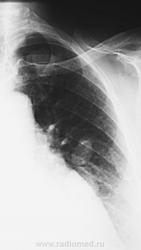
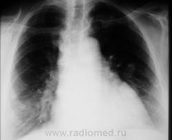
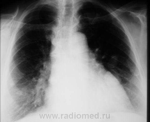
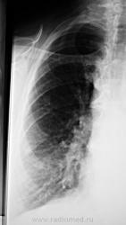
По рентгенографии органов грудной клетки в легких не менее 4 образований... Поскольку живем не в юго-восточной Азии с паразитами, предполагаем в первую очередь метастазы.
Позвольте вопросы:
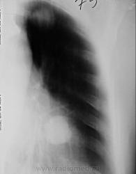
1. на фига делали линейную томографию?
2. А что УЗИ? конкретней, откуда образование в малом тазу сказать не могут? (уволила бы - такая штука руками пальпируется - нафиг узисты, если нет толка...)
3. может ирригоскопию еще сделаем?
"самоуверенность дилетантов - предмет зависти профессионалов"
Для выявления "первичного очага" все методы хороши
"Знаешь, у некоторых врачей есть комплекс мессии — им необходимо спасать мир. А у тебя комплекс Рубика — тебе необходимо решать головоломки."
И какии же методом, уважаемый Виталий, в данном случае выявлен первичный очаг? Как я понимаю, он все еще не выявлен...
"самоуверенность дилетантов - предмет зависти профессионалов"
Так ведь и я о том же Татьяна Валентиновна, просто догадываюсь, что с учетом наличие "штуки 25см" в малом тазу, в ход пойдет всё, дивиться не чему.
"Знаешь, у некоторых врачей есть комплекс мессии — им необходимо спасать мир. А у тебя комплекс Рубика — тебе необходимо решать головоломки."
Из истории заболевания - оперирована по "женски" чуть больше 1 года назад, получала лучевую терапию....(гинекологи в направлении пишут рак влагалища..
Виктор.