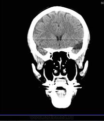
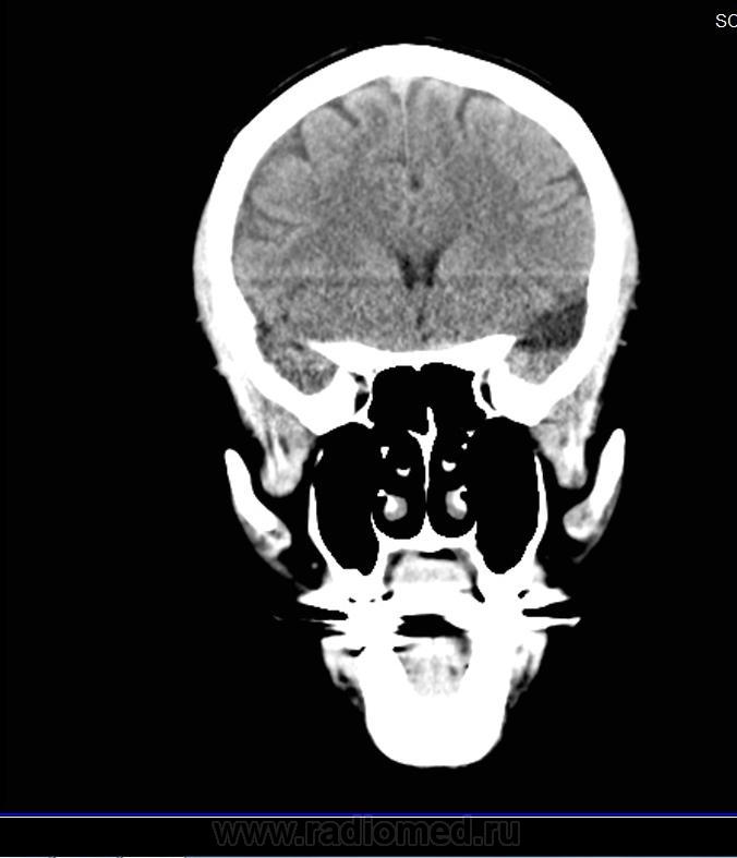
На снимках КТ головного мозга непонятное белое пятно.

Методы исследования: 

Здравствуйте!

  Обращаюсь к Вам за помощью.

Обясните мне , пожалуйста, что это за белое пятно, темное возле шеии, и засветленное пятно сверху?

  Диагноз : Ушибленная рана затылочной области.  В левой лобной доле базально зона ушиба мозга -3 х 2.5 х 1 см.

 Эта КТ  сделана через сорок дней после травмы. Доктор сказал, что все нормально, но до сих пор чувствую себя неважно.

С уважением!

  • https://radiomed.ru/sites/default/files/styles/case_slider_image/public/user/19570/mozg2.jpg?itok=f2rwMNdU
  • https://radiomed.ru/sites/default/files/styles/case_slider_image/public/user/19570/mozg3.jpg?itok=7cXoCS6w
  • https://radiomed.ru/sites/default/files/styles/case_slider_image/public/user/19570/mozg4.jpg?itok=p7VE5U-i
ID:43935
Nela аватар
Не на сайте
Был на сайте: 6 лет 1 месяц назад
Зарегистрирован: 12.05.2009 - 20:43
Публикации: 1847

А где же КТ?

Евгений Второй аватар
Не на сайте
Был на сайте: 1 день 4 часа назад
Зарегистрирован: 13.09.2011 - 22:00
Публикации: 1772

Скоро придут экстрасенсы. Посмотрят пятно без снимков.

Катенёв Валентин Львович аватар
Не на сайте
Был на сайте: 7 лет 3 недели назад
Зарегистрирован: 22.03.2008 - 22:15
Публикации: 54876

Да, срок открытия экспертизы выставлен такой (в днях), что я точно не доживу до этого светлого дня...

Nela аватар
Не на сайте
Был на сайте: 6 лет 1 месяц назад
Зарегистрирован: 12.05.2009 - 20:43
Публикации: 1847

Если хотите реальную консультацию, загрузите дайкомы. По этим четырем картинкам ничего особенного не видно.

Андрей Юрьевич аватар
Не на сайте
Был на сайте: 1 неделя 6 дней назад
Зарегистрирован: 16.11.2008 - 22:16
Публикации: 18098

Трудно понять текст непрофессионала, но предположу, что "темное возле шеии" - это жировая ткань, "засветленное пятно сверху" - это эпифиз, а  "что это за белое пятно" - дажене представляю к чему относится.

А по делу: дайком-файлы с диска нужны.

Андрей Юрьевич

И.Бондаренко аватар
Не на сайте
Был на сайте: 1 день 6 часов назад
Зарегистрирован: 13.09.2011 - 22:55
Публикации: 9206

Обызвествление шишковидной железы.

Евгений Второй аватар
Не на сайте
Был на сайте: 1 день 4 часа назад
Зарегистрирован: 13.09.2011 - 22:00
Публикации: 1772

Скорее обызвествление сосудистого сплетения желудочка.

Helios аватар
Не на сайте
Был на сайте: 7 месяцев 3 недели назад
Зарегистрирован: 06.08.2010 - 15:16
Публикации: 4417

 

Для железы далековато, а для заднего рога бокового желудочка- самый раз.

Андрей Юрьевич аватар
Не на сайте
Был на сайте: 1 неделя 6 дней назад
Зарегистрирован: 16.11.2008 - 22:16
Публикации: 18098

Да, вы правы, далековато от средней линии

Андрей Юрьевич