Наблюдение Морозова А.И. Фиксированная параэзофагеальная грыжа пищеводного отверстия диафрагмы

Пол пациента: 
Тип патологии: 
Область исследования: 
Методы исследования: 

Врач-рентгенолог Морозов А.И

Фиксированная параэзофагеальная грыжа пищеводного отверстия диафрагмы.

 

Клиника:
Пациентка 58 лет наблюдается у кардиолога с диагнозом гипертоническая болезнь, III ст. Была направлена на профилактическую флюорграфию органов грудной клетки. После выявленных изменений на флюорографии, назначено дообследование, в процессе которого выяснилось, что пациентка предъявляет жалобы на постоянные давящие боли в области нижней части
грудины. Жалобы появились 2 года назад, возможно связанные с сильнейшим стрессом.

Лучевое исследование:
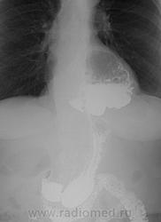
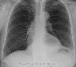
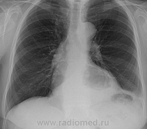
Флюорография органов грудной клетки: Лёгкие без очаговых и инфильтративных изменений. Умеренно выраженное усиление и деформация легочного рисунка, за счёт явлений пневмосклероза. Сердце несколько расширено в поперечнике. На фоне тени средостения определяется дополнительное полостное образование, вероятно кардиофундальный отдел желудка.
Рентгенологически: больше данных за фиксированную грыжу пищеводного отверстия диафрагмы, для уточнения рекомендована рентгеноскопия желудка.
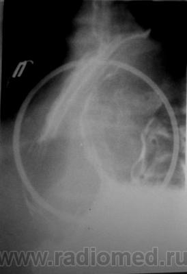
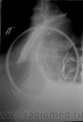
Рентгеноскопия желудка (верхнего отдела желудочно-кишечного тракта): Акт глотания не нарушен. Пищевод свободно проходим до нижней трети грудного отдела, ниже определяется задержка продвижения контраста; контрастированный участок значительно расширен, создаётся впечатление, что последний является кариофундальным отделом желудка. Сам пищевод не укорочен, переходит в желудок в обычном месте.
Желудок: в вертикальном положении кардиофундальный отдел расположен в средостении (фиксирован), форма не изменена, смещаемость части желудка, расположенной в брюшной полости свободная. Складки слизистой прослеживаются на всём протяжении, ровные. Перистальтика глубокая, начальная эвакуация своевременная .12-перстная кишка и начальные петли тощей кишки без особенностей.

Заключение:
Фиксированная параэзофагеальная кардиофундальная грыжа пищеводного отверстия диафрагмы.

  • https://radiomed.ru/sites/default/files/styles/case_slider_image/public/user/12/2..morozov..jpg?itok=KYwwu2_M
  • https://radiomed.ru/sites/default/files/styles/case_slider_image/public/user/12/3..morozov...jpg?itok=o_MoVFy7
  • https://radiomed.ru/sites/default/files/styles/case_slider_image/public/user/12/4..morozov..jpg?itok=5fv0sMPp
  • https://radiomed.ru/sites/default/files/styles/case_slider_image/public/user/12/5..morozov..jpg?itok=7RQ7FqgG
ID:20917
brainmodel аватар
Не на сайте
Был на сайте: 3 месяцев 1 неделя назад
Зарегистрирован: 18.03.2010 - 22:04
Публикации: 2881

No comments. Classical beauty!

Verum plus uno esse non potest.

Катенёв Валентин Львович аватар
Не на сайте
Был на сайте: 7 лет 1 месяц назад
Зарегистрирован: 22.03.2008 - 22:15
Публикации: 54876

Да, комментарии излишни!

Представление случая на высоком уровне, отлично иллюстрировано.

Almo аватар
Не на сайте
Был на сайте: 23 часа 36 минут назад
Зарегистрирован: 28.09.2008 - 18:50
Публикации: 8281

Спасибо коллеги, за добрые слова !

Александр Морозов.