Направлен ЛОРом

Пол пациента: 
Тип патологии: 
Область исследования: 
Методы исследования: 

Направлен ЛОРом

  • https://radiomed.ru/sites/default/files/styles/case_slider_image/public/user/12/2.201403310020.jpg?itok=C5TQYZK1
  • https://radiomed.ru/sites/default/files/styles/case_slider_image/public/user/12/3.201403310003.jpg?itok=PVR-3dWu
  • https://radiomed.ru/sites/default/files/styles/case_slider_image/public/user/12/4.201403310002.jpg?itok=KgTRpkei
ID:36642
Doc84 аватар
Не на сайте
Был на сайте: 11 лет 5 месяцев назад
Зарегистрирован: 05.03.2014 - 15:21
Публикации: 209

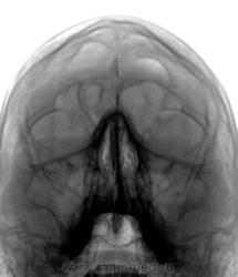
Пристеночные наслоения в лобных пазухах. В верхнечелюстной слева наверное больше на остеому похоже, хотя не исключил бы и кисту

NIL аватар
NIL
Не на сайте
Был на сайте: 18 часов 19 минут назад
Зарегистрирован: 25.11.2013 - 20:50
Публикации: 18208

А мне хочется норму написать.


"Слушай всех, прислушивайся к немногим, решай сам".©

atexta аватар
Не на сайте
Был на сайте: 2 года 10 месяцев назад
Зарегистрирован: 08.02.2014 - 18:41
Публикации: 4842

Многокамерная пазуха ?

Не нам судить…

NIL аватар
NIL
Не на сайте
Был на сайте: 18 часов 19 минут назад
Зарегистрирован: 25.11.2013 - 20:50
Публикации: 18208

atexta wrote:

Многокамерная пазуха ?

Согласна. 


"Слушай всех, прислушивайся к немногим, решай сам".©

Катенёв Валентин Львович аватар
Не на сайте
Был на сайте: 7 лет 4 недели назад
Зарегистрирован: 22.03.2008 - 22:15
Публикации: 54876

Так вопрос к локальному "окостенению" в районе фалькс церебри...