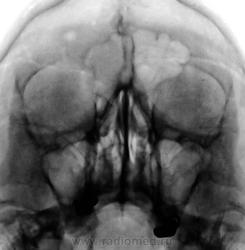
Пол пациента: Женский пол Тип патологии: Другое Область исследования: Челюстно-лицевая область и шея Методы исследования: Rg Направлен ЛОРом. Жалобы на головные боли. https://radiomed.ru/sites/default/files/styles/case_slider_image/public/user/12/2.201310110046.jpg?itok=H9w-gIdU ID:32353 Вс, 13/10/2013 - 11:15 #1 maker4ik Не на сайте Был на сайте: 8 лет 7 месяцев назад Зарегистрирован: 19.10.2011 - 17:49 Публикации: 2682 Да вроде нормально все? Вс, 13/10/2013 - 13:44 #2 И.Бондаренко Не на сайте Был на сайте: 1 день 11 часов назад Зарегистрирован: 13.09.2011 - 22:55 Публикации: 9206 Что за кругляшка справа? Краниограммы не делали? Вс, 13/10/2013 - 17:16 #3 Сергей Кузьминов Не на сайте Был на сайте: 1 год 3 недели назад Зарегистрирован: 06.10.2012 - 15:51 Публикации: 11813 Да вот и я второй день смотрю и не могу понять,что в правой половине лобной кости.Кто-нибудь знает? Вс, 13/10/2013 - 19:11 #4 Катенёв Валенти... Не на сайте Был на сайте: 7 лет 3 недели назад Зарегистрирован: 22.03.2008 - 22:15 Публикации: 54876 И.Бондаренко wrote: Краниограммы не делали? Нет, не делали. Вс, 13/10/2013 - 19:11 #5 Катенёв Валенти... Не на сайте Был на сайте: 7 лет 3 недели назад Зарегистрирован: 22.03.2008 - 22:15 Публикации: 54876 Сергей Кузьминов wrote: Да вот и я второй день смотрю и не могу понять,что в правой половине лобной кости. В лобной кости, или в лобной пазухе? Вс, 13/10/2013 - 19:59 #6 Бородулин М.А. Не на сайте Был на сайте: 9 месяцев 3 недели назад Зарегистрирован: 17.02.2011 - 01:10 Публикации: 1409 Катенёв Валентин Львович wrote: Сергей Кузьминов wrote: Да вот и я второй день смотрю и не могу понять,что в правой половине лобной кости. В лобной кости, или в лобной пазухе? Хороший вопрос)))) Вс, 13/10/2013 - 20:22 #7 алкс Не на сайте Был на сайте: 10 лет 3 недели назад Зарегистрирован: 24.10.2012 - 22:55 Публикации: 2915 Вне пазухи, скорее затылочная кость.Приложения: Втр, 15/10/2013 - 16:02 #8 Nela Не на сайте Был на сайте: 6 лет 1 месяц назад Зарегистрирован: 12.05.2009 - 20:43 Публикации: 1847 Скорее всего венозный выпускник.
Да вроде нормально все?
Что за кругляшка справа? Краниограммы не делали?
Да вот и я второй день смотрю и не могу понять,что в правой половине лобной кости.Кто-нибудь знает?
Нет, не делали.
В лобной кости, или в лобной пазухе?
Хороший вопрос))))
Вне пазухи, скорее затылочная кость.
Скорее всего венозный выпускник.