Направлен на рентгенографию ППН. Случай 1, случай 2 и случай 3.

Пол пациента: 
Область исследования: 
Методы исследования: 

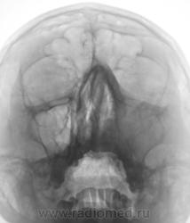
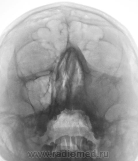
Первый пациент.

Длительное время лечится по поводу "ринита". Направлен на рентгенографию ППН.

Второй пациент.

Третий пациент.

  • https://radiomed.ru/sites/default/files/styles/case_slider_image/public/user/12/2.p9170077.jpg?itok=-6jM8n7A
  • https://radiomed.ru/sites/default/files/styles/case_slider_image/public/user/12/3.p9170075.jpg?itok=XqTxsVjb
  • https://radiomed.ru/sites/default/files/styles/case_slider_image/public/user/12/4.p9170075a.jpg?itok=Jy-7xwG7
  • https://radiomed.ru/sites/default/files/styles/case_slider_image/public/user/12/5.p9170076.jpg?itok=_Lhixj7M
  • https://radiomed.ru/sites/default/files/styles/case_slider_image/public/user/12/6.p9170076a.jpg?itok=71blZOnN
  • https://radiomed.ru/sites/default/files/styles/case_slider_image/public/user/12/1.p1130006.jpg?itok=8ta9scy7
  • https://radiomed.ru/sites/default/files/styles/case_slider_image/public/user/12/2.p1130006a.jpg?itok=KvEt1gye
  • https://radiomed.ru/sites/default/files/styles/case_slider_image/public/user/12/3.p1130007cu.jpg?itok=g1Kj-pfW
  • https://radiomed.ru/sites/default/files/styles/case_slider_image/public/user/12/1.p4080037a.jpg?itok=93pb0QVs
  • https://radiomed.ru/sites/default/files/styles/case_slider_image/public/user/12/3.p4080039a.jpg?itok=xKmBvRzG
ID:20028
наденька76 аватар
Не на сайте
Был на сайте: 6 лет 11 месяцев назад
Зарегистрирован: 08.12.2011 - 22:22
Публикации: 36

пристеночное затемнение левой верхнечелюпазухи за счет отека и набухания слизистой-катаральный гайморит

Almo аватар
Не на сайте
Был на сайте: 12 часов 34 минуты назад
Зарегистрирован: 28.09.2008 - 18:50
Публикации: 8251

Могу предположить гиперплазию слизистой( характерная картинка ( смотрите книги Файзуллина М.Х.) +анамнез (длительное время лечится по поводу "ринита").

Mine аватар
Не на сайте
Был на сайте: 6 лет 1 неделя назад
Зарегистрирован: 14.06.2017 - 23:15
Публикации: 245

По поводу третьего пациента, остеома или эктопированный зуб?

Катенёв Валентин Львович аватар
Не на сайте
Был на сайте: 7 лет 2 недели назад
Зарегистрирован: 22.03.2008 - 22:15
Публикации: 54876

Mine wrote:

По поводу третьего пациента, остеома или эктопированный зуб?

Остеома оказалась.

Кстати, я вытянул для Вас ЛОРовские презентации.

DrMaximova аватар
Не на сайте
Был на сайте: 3 года 2 месяцев назад
Зарегистрирован: 25.11.2012 - 17:38
Публикации: 287

Валентин Львович! А можно и мне презентации....

Катенёв Валентин Львович аватар
Не на сайте
Был на сайте: 7 лет 2 недели назад
Зарегистрирован: 22.03.2008 - 22:15
Публикации: 54876

А они на 1 странице "Новое на сайте".

Mine аватар
Не на сайте
Был на сайте: 6 лет 1 неделя назад
Зарегистрирован: 14.06.2017 - 23:15
Публикации: 245

Катенёв Валентин Львович wrote:

А они на 1 странице "Новое на сайте".

Спасибо!

DrMaximova аватар
Не на сайте
Был на сайте: 3 года 2 месяцев назад
Зарегистрирован: 25.11.2012 - 17:38
Публикации: 287

Катенёв Валентин Львович wrote:

А они на 1 странице "Новое на сайте".

Спасибо огромное!!!

DrMaximova аватар
Не на сайте
Был на сайте: 3 года 2 месяцев назад
Зарегистрирован: 25.11.2012 - 17:38
Публикации: 287

Валентин Львович! А можно посмею попросить накидать R-грамм ППН, что бы больше патологии насмотреться. Потому что ЛОР-врачи часто направляют, и спрашивают о "линзовидном" затемнение лобных пазух.... И много всего.... Заранее спасибо!

Катенёв Валентин Львович аватар
Не на сайте
Был на сайте: 7 лет 2 недели назад
Зарегистрирован: 22.03.2008 - 22:15
Публикации: 54876

А Вы посмотрите, полистайте по ссылке, что понравится, то и обсудим.

Материала то "вагон и маленькая тележка"...

https://radiomed.ru/cases?taxonomy_vocabulary_3_tid%5B0%5D=25

DrMaximova аватар
Не на сайте
Был на сайте: 3 года 2 месяцев назад
Зарегистрирован: 25.11.2012 - 17:38
Публикации: 287

посмотрела я ППН, еще больше возникло вопросов. О кистах лобных и ВЧП пазух, хронический синусит... Синусит у пожилых людей, и когда считается возрастной нормой. А когда нужна консультация ЛОР врача (((((

Катенёв Валентин Львович аватар
Не на сайте
Был на сайте: 7 лет 2 недели назад
Зарегистрирован: 22.03.2008 - 22:15
Публикации: 54876