Нарыли...

Пол пациента: 
Тип патологии: 
Методы исследования: 

Нарыли...

  • https://radiomed.ru/sites/default/files/styles/case_slider_image/public/user/12/2.203309240049.jpg?itok=WheIUAL-
  • https://radiomed.ru/sites/default/files/styles/case_slider_image/public/user/12/3.201201010050.jpg?itok=KqQNd1rS
  • https://radiomed.ru/sites/default/files/styles/case_slider_image/public/user/12/4.203309240051.jpg?itok=lbfIwHij
  • https://radiomed.ru/sites/default/files/styles/case_slider_image/public/user/12/5.203309240052.jpg?itok=PO5crVN0
  • https://radiomed.ru/sites/default/files/styles/case_slider_image/public/user/12/6.201201010053.jpg?itok=rwM5fPNA
  • https://radiomed.ru/sites/default/files/styles/case_slider_image/public/user/12/7.201201010054.jpg?itok=E0WxjqwK
ID:31452
медсанчасть регион 12 аватар
Не на сайте
Был на сайте: 11 лет 1 месяц назад
Зарегистрирован: 11.06.2013 - 10:46
Публикации: 136

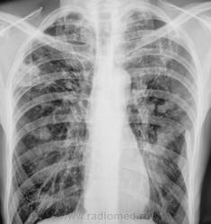
Пневмосклероз не уточненной этиологии.От туберкулезной/задействованы верхушки,уменьшена в/д справа/,до профессиональной/переломы ребер/.А вот по образованию в/д справа надо уточняться,от периферического cr до любого другого процесса.Больной сам многое расскажет.

Катенёв Валентин Львович аватар
Не на сайте
Был на сайте: 7 лет 2 недели назад
Зарегистрирован: 22.03.2008 - 22:15
Публикации: 54876

медсанчасть регион 12 wrote:

Больной сам многое расскажет.

Спасибо коллега за коммент, пока единственный коммент...

Больной ничего не расскажет, его почти силком притянули, лет 10 считай проживал, но известен не был...

алкс аватар
Не на сайте
Был на сайте: 10 лет 3 недели назад
Зарегистрирован: 24.10.2012 - 22:55
Публикации: 2915

На 99% туберкулез, с выраженными склеротическими изменениями в легких, пусть и не нашли дырки. О 100% диагнозе фтизиатры нам расскажут. Если палки есть- это одно, если нет - все равно он... Диссеминация имеет место быть. Для периферического - слишком четко все справа, хотя...

Катенёв Валентин Львович аватар
Не на сайте
Был на сайте: 7 лет 2 недели назад
Зарегистрирован: 22.03.2008 - 22:15
Публикации: 54876

Фтизиатры признали своим, и палки есть, есть неоднократно.

алкс аватар
Не на сайте
Был на сайте: 10 лет 3 недели назад
Зарегистрирован: 24.10.2012 - 22:55
Публикации: 2915

Катенёв Валентин Львович wrote:

Фтизиатры признали своим, и палки есть, есть неоднократно.

Небось и судим неоднократно...( про ребра слева)

Катенёв Валентин Львович аватар
Не на сайте
Был на сайте: 7 лет 2 недели назад
Зарегистрирован: 22.03.2008 - 22:15
Публикации: 54876

Нет не судим, просто человек странный, а может быть просто другой...

алкс аватар
Не на сайте
Был на сайте: 10 лет 3 недели назад
Зарегистрирован: 24.10.2012 - 22:55
Публикации: 2915

Катенёв Валентин Львович wrote:

Нет не судим, просто человек странный, а может быть просто другой...

Понятно, спасибо за случай(  мой любимый фтизиатр с "пеной у рта" кричала про периферический справа, но "взять к себе" соглашаласьsmiley)

Катенёв Валентин Львович аватар
Не на сайте
Был на сайте: 7 лет 2 недели назад
Зарегистрирован: 22.03.2008 - 22:15
Публикации: 54876

алкс wrote:

Понятно, спасибо за случай(  мой любимый фтизиатр с "пеной у рта" кричала про периферический справа, но "взять к себе" соглашаласьsmiley)

Спасибо - рано, ещё не вечер...

Пациента полечили, контроль через 3 месяца.

Приложения: 
1.201201010055.jpg2.201201010056.jpg3.201201010057.jpg4.201201010058.jpg
Алексей Станиславович аватар
Не на сайте
Был на сайте: 5 лет 10 месяцев назад
Зарегистрирован: 11.08.2012 - 20:33
Публикации: 1903

По мне, справа субплеврально - периферический с прорастанием плевры. Одно другому не мешает.

С уважением, smiley

ЕЕЮ аватар
Не на сайте
Был на сайте: 2 года 1 месяц назад
Зарегистрирован: 26.08.2013 - 11:22
Публикации: 410

Нарыли так нарыли. Интересный случай.

Глазков Игорь Артурович аватар
Не на сайте
Был на сайте: 9 месяцев 2 недели назад
Зарегистрирован: 19.12.2008 - 20:41
Публикации: 1597

картина напоминает периферический рак.  Как-то обсуждался один случай, в котором была похожая ситуация. В конце обсуждения был сделан вывод, что туберкулёз и онкология иногда идут вместе.

Прийди к Себе

Катенёв Валентин Львович аватар
Не на сайте
Был на сайте: 7 лет 2 недели назад
Зарегистрирован: 22.03.2008 - 22:15
Публикации: 54876

ЕЕЮ wrote:

Нарыли так нарыли. Интересный случай.

Рановато однако, про "интересный случай", ещё не вечер...

Контроль через 3 месяца.

Приложения: 
1.201201010059.jpg2.201201010060.jpg3.201201010061.jpg
Алексей Станиславович аватар
Не на сайте
Был на сайте: 5 лет 10 месяцев назад
Зарегистрирован: 11.08.2012 - 20:33
Публикации: 1903

А периферический-то дренировался и спался... Ну и гут)))

С уважением, smiley

Катенёв Валентин Львович аватар
Не на сайте
Был на сайте: 7 лет 2 недели назад
Зарегистрирован: 22.03.2008 - 22:15
Публикации: 54876

Алексей Станиславович wrote:

А периферический-то дренировался и спался... Ну и гут)))

Конечно "гут", получает массивную специфическую терапию.

Катенёв Валентин Львович аватар
Не на сайте
Был на сайте: 7 лет 2 недели назад
Зарегистрирован: 22.03.2008 - 22:15
Публикации: 54876

Еще снимки в процессе лечения.

Приложения: 
1.201201010062.jpg2.201201010063.jpg3.201201010064.jpg
Катенёв Валентин Львович аватар
Не на сайте
Был на сайте: 7 лет 2 недели назад
Зарегистрирован: 22.03.2008 - 22:15
Публикации: 54876

А эти снимки через 6 месяцев от предыдущих, от позавчера.

 

Приложения: 
1.201201010065.jpg2.201201010066.jpg3.201201010067.jpg4.201201010068.jpg5.203309240069.jpg
ЕЕЮ аватар
Не на сайте
Был на сайте: 2 года 1 месяц назад
Зарегистрирован: 26.08.2013 - 11:22
Публикации: 410

Что-то динамики больно то никакой... Он чем дышит ещё? Диагноз клинический какой? У него ВИЧ - инфекции нет, плюсом ко всему?

Катенёв Валентин Львович аватар
Не на сайте
Был на сайте: 7 лет 2 недели назад
Зарегистрирован: 22.03.2008 - 22:15
Публикации: 54876

Зачем ему ВИЧ, ему и так довольно...

Значит динамики нет? Совсем никакой?

медсанчасть регион 12 аватар
Не на сайте
Был на сайте: 11 лет 1 месяц назад
Зарегистрирован: 11.06.2013 - 10:46
Публикации: 136

Динамика есть,положительная.Ушел воспалительный процесс,остался склеротический.И,наверно,МБТ перестал сеять.Вопрос в другом,что являлось субстрактом "образования".Инфильтрация?,осумкованный междолевой плеврит?

Nikolas аватар
Не на сайте
Был на сайте: 1 месяц 3 недели назад
Зарегистрирован: 21.12.2010 - 20:37
Публикации: 4559

легких довоенного (1941-1945) периода. Есть над чем подумать в широкой  стране моей родной.

Катенёв Валентин Львович аватар
Не на сайте
Был на сайте: 7 лет 2 недели назад
Зарегистрирован: 22.03.2008 - 22:15
Публикации: 54876

Справа распада нет?

Приложения: 
5.203309240069raspad.jpg
Nikolas аватар
Не на сайте
Был на сайте: 1 месяц 3 недели назад
Зарегистрирован: 21.12.2010 - 20:37
Публикации: 4559

СМ. рисунок.

Приложения: 
5.203309240069raspad.jpg
Катенёв Валентин Львович аватар
Не на сайте
Был на сайте: 7 лет 2 недели назад
Зарегистрирован: 22.03.2008 - 22:15
Публикации: 54876

Вы правы уважаемый коллега..., а следовательно, динамика есть...

Сольвейг аватар
Не на сайте
Был на сайте: 3 года 5 месяцев назад
Зарегистрирован: 05.02.2013 - 20:25
Публикации: 2239

Nikolas wrote:

СМ. рисунок.

По-моему,полость с фиброзными стенками действительно есть,но ее локализация-между латеральными стрелками(нижним полюсом прилегает к нижней стрелке)Наличие других полостей вызывает сомнение.Это скиалогия.Ничего не утверждаю,т.к.доказывать нужно оптим.тмг-ми или КТ.С уважением.

Сергей Кузьминов аватар
Не на сайте
Был на сайте: 1 год 2 недели назад
Зарегистрирован: 06.10.2012 - 15:51
Публикации: 11813

В данном случае диагноз доказан клинически,лабораторно и рентгенологически.Спасибо за интересный случай.