Непонятный случай.

Пол пациента: 
Область исследования: 
Методы исследования: 

Добрый вечер, коллеги! Нужен совет. Интересный случай. Пытаюсь разобраться. Пишу все дословно со слов лечащего врача. Ваше мнение?

 

 

Жалобы

На выраженную головную боль, преимущественно в лобной области, средней и высокой интенсивности, усиливающуюся при взгляде на свет, громких звуках, тошноту после употребления пищи.

Анамнез жизни

Инфекционные заболевания отрицает. Контузия (ЗЧМТ) около 15-17 лет назад, периодически беспокоили головные боли умеренной интенсивности. Гипертонической болезнью не страдает. Наследственность не отягощена.

 

Анамнез настоящего заболевания

Со слов больного и его родственников, 01.06.2012 после сна, во время вставания с постели, внезапно возникла резкая головная боль (со слов жены, больной закричал от боли), которая сопровождалась чувством нехватки воздуха.  Отмечается кратковременная потеря сознания. Дважды вызывалась скорая помощь, вводились обезболивающие препараты, на этом фоне головная боль уменьшилась незначительно, в связи с чем 02.06.12 пациент был госпитализирован  в отделение реанимации. Выписан по настоянию родственников с диагнозом «дыхательная недостаточность III ст. неясной этиологии. Транзиторная ишемическая атака».

Больной был госпитализирован в отделение ОНМК. За время нахождения в указанном отделении, в неврологическом статусе очаговой симптоматики не отмечалось, также отсутствуют менингиальные знаки. Жалобы на выраженную головную боль преходящего характера.

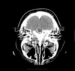
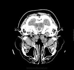
3.06.12 больному выполнена КТ без контраста, заподозрено подкравливание из аневризмы бифуркации базилярной артерии, либо ее тромбирование. Рекомендовано проведение СКТ-АГ.

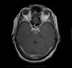
04.06.2012 проведено СКТ-АГ, выявлено объемное образование ската, спинки турецкого седла с супраселлярным  ростом. Небольшое неоднородное накопление контраста в строме опухоли.

После выставленного диагноза опухоли основания черепа, переведен в НХО для дообследования и хирургичсеского лечения.

Соматический статус

Состояние средней тяжести. Кожные покровы и  слизистые обычной окраски. Отеков голеней нет. В легких дыхание везикулярное, хрипов нет. Периодически отмечаются эпизоды апноэ, дыхательной недостаточности нет. Тоны сердца ритмичные, приглушенные. ЧСС 64 уд/мин. АД 140/80 мм.рт.ст. Язык чистый. Живот мягкий, безболезненный. Тазовые функции контролирует.  

Неврологический статус

В ясном сознании. Менингеальной симптоматики нет. Зрачки правильной формы, равновеликие. Фотореакция живая. Глазодвигательных нарушений нет. Двигательных и чувствительных нарушений нет. Сухожильные рефлексы живые. Менингиальных знаков нет. Поза Ромберга не проверялась. Самостоятельно встает с постели, ходит на небольшое расстояние. Тазовые функции контролирует.

Выраженная общемозговая симптоматика в виде головной боли, светобоязни, труднокупируемая анальгетиками.

Диагноз

Объемное образование ската и спинки турецкого седла (дермоидная киста?). Ликворея из фистулы базальных отделов черепа.

 

Дополнения к анамнезу.

После проведения диагностической пункции  выявлено САК. В ликворе визуально отмечается большое количество крови, мутной консистенции с большим количеством хлопьев (цитоз 36/3). На второй день (08.06.2012) в бак.посевах роста нет. После указанной процедуры в состоянии больного отмечается значительное улучшение: через 30 мин отмечает полный регресс головной боли. В этих условиях больной уточнил данные своего заболевания и указал, что около 27 лет назад во время полета на самолете (работал военным летчиком) произошла резкая разгерметизация салона, после чего обнаружил кровянистое выделение из левого уха, которому значения не придал. Через полгода после указанного обстоятельства у больного появился кашель на фоне общего благополучия, который усиливался при приеме пищи. Кашель больной связывал с суровыми климатическими условиями, в которых пребывал (северное побережье Ледовитого океана). Обращался к врачам, принимал антибиотики (эритромицин), которые облегчения не приносили. Через некоторое время стал ощущать по задней стенке гортани стекающую жидкость. Указанное ощущения отмечалось по несколько раз в день, преимущественно возникало при смене погоды, при приеме пищи. Через несколько лет отмечал эпизод потери сознания в автомобиле. Также отмечает, что любое простудное заболевания протекает тяжело: «тяжесть в голове», «мутность и туман в голове». Периодически самостоятельно принимал тетрациклин и отмечал улучшения состояния. С течением времени к указанному состоянию больной адаптировался и не придавал большого значения. Тщательно обследовался у врачей во время диспансеризации по работе, однако патологии выявлено не было. В динамике количество ощущаемой стекающей жидкости по гортани увеличивалось. По утрам часто больной откашливал прозрачную жидкость. Также приносил отхаркиваемую мокроту к врачам, при обследовании, которой диагноза выставлено не было. Характеристики указанной жидкости колебались от относительно чистой до мутной с хлопьями и кровянистой. За последние несколько лет стал отмечать, что жидкость попадает в легкие, в результате чего отмечает нехватку воздуха, онемение, головокружение, сужение поля зрения, вплоть до потери сознания. Для купирования одышки и вышеизложенных симптомов больной самостоятельно отхаркивал жидкость, и при отходе мокроты состояние сразу нормализовывалось. Также врачами в один из приступов врачами было рекомендовано простукивание грудной клетки ладонями, что успешно применяли родственники впоследствии. За последний год, больной отмечает увеличение стекания жидкости, которое сопровождается слышимыми посторонними звуками напоминающими  вхождение воздуха в сосуд с водой.

Учитывая вышеизложенную симптоматику заболевания приступ,  повлекший за собой госпитализацию в стационар, представлял собой самостоятельное закрытие базальной фистулы, в результате которого возникла симптоматика внутричерепной гипертензии.

На фоне установленного люмбального дренажа симптоматика гипертензии регрессировала.

В настоящее время планируется санация ликвора (за первые сутки по люмбальному дренажу визуально отмечается уменьшение крови в ликворе, значительное снижение его мутности и хлопьев), затем планируется проведение шунтирующая операция.

  • https://radiomed.ru/sites/default/files/styles/case_slider_image/public/user/16596/002.001.jpg?itok=YG1NONF7
  • https://radiomed.ru/sites/default/files/styles/case_slider_image/public/user/16596/005.001.jpg?itok=Wk7OoxPE
  • https://radiomed.ru/sites/default/files/styles/case_slider_image/public/user/16596/005.001_0.jpg?itok=E9-GeuZ0
  • https://radiomed.ru/sites/default/files/styles/case_slider_image/public/user/16596/006.001.jpg?itok=7pHw5Qb9
  • https://radiomed.ru/sites/default/files/styles/case_slider_image/public/user/16596/007.001.jpg?itok=1IrWWSNt
  • https://radiomed.ru/sites/default/files/styles/case_slider_image/public/user/16596/008.001.jpg?itok=Z6ksoELe
  • https://radiomed.ru/sites/default/files/styles/case_slider_image/public/user/16596/009.001.jpg?itok=ZSR3tJH5
  • https://radiomed.ru/sites/default/files/styles/case_slider_image/public/user/16596/010.001.jpg?itok=RyMZhx_O
  • https://radiomed.ru/sites/default/files/styles/case_slider_image/public/user/16596/011.001.jpg?itok=8S5uMH8v
  • https://radiomed.ru/sites/default/files/styles/case_slider_image/public/user/16596/012.001.jpg?itok=dVJ4VhsG
  • https://radiomed.ru/sites/default/files/styles/case_slider_image/public/user/16596/013.001.jpg?itok=12sThUFb
  • https://radiomed.ru/sites/default/files/styles/case_slider_image/public/user/16596/014.001.jpg?itok=cTSUvmZ2
  • https://radiomed.ru/sites/default/files/styles/case_slider_image/public/user/16596/015.001.jpg?itok=t6F5-fOM
  • https://radiomed.ru/sites/default/files/styles/case_slider_image/public/user/16596/016.001.jpg?itok=DqIrPKiG
  • https://radiomed.ru/sites/default/files/styles/case_slider_image/public/user/16596/017.001.jpg?itok=uiNPHUbn
  • https://radiomed.ru/sites/default/files/styles/case_slider_image/public/user/16596/018.001.jpg?itok=BUyj6eDQ
  • https://radiomed.ru/sites/default/files/styles/case_slider_image/public/user/16596/019.001.jpg?itok=E3k9s25I
  • https://radiomed.ru/sites/default/files/styles/case_slider_image/public/user/16596/020.001.jpg?itok=1CFcN0p8
  • https://radiomed.ru/sites/default/files/styles/case_slider_image/public/user/16596/021.001.jpg?itok=fpu2iqL6
  • https://radiomed.ru/sites/default/files/styles/case_slider_image/public/user/16596/023.001.jpg?itok=Gzb4dWZV
  • https://radiomed.ru/sites/default/files/styles/case_slider_image/public/user/16596/024.001.jpg?itok=fvepzt08
  • https://radiomed.ru/sites/default/files/styles/case_slider_image/public/user/16596/026.001.jpg?itok=5ITZIe5D
  • https://radiomed.ru/sites/default/files/styles/case_slider_image/public/user/16596/030.001.jpg?itok=Y9OFfATn
  • https://radiomed.ru/sites/default/files/styles/case_slider_image/public/user/16596/031.001.jpg?itok=TCWH9KYB
  • https://radiomed.ru/sites/default/files/styles/case_slider_image/public/user/16596/032.001.jpg?itok=sEARsf7J
  • https://radiomed.ru/sites/default/files/styles/case_slider_image/public/user/16596/034.001.jpg?itok=MjxVw1b-
  • https://radiomed.ru/sites/default/files/styles/case_slider_image/public/user/16596/035.001.jpg?itok=wxH089ag
  • https://radiomed.ru/sites/default/files/styles/case_slider_image/public/user/16596/036.001.jpg?itok=FV1jNH78
  • https://radiomed.ru/sites/default/files/styles/case_slider_image/public/user/16596/037.001.jpg?itok=tUWi7mJj
  • https://radiomed.ru/sites/default/files/styles/case_slider_image/public/user/16596/037.001_0.jpg?itok=vPBX9Xeg
  • https://radiomed.ru/sites/default/files/styles/case_slider_image/public/user/16596/038.001.jpg?itok=-tF-SNd9
  • https://radiomed.ru/sites/default/files/styles/case_slider_image/public/user/16596/038.001_0.jpg?itok=z8IjBFLM
  • https://radiomed.ru/sites/default/files/styles/case_slider_image/public/user/16596/040.001.jpg?itok=GnPGQxl0
  • https://radiomed.ru/sites/default/files/styles/case_slider_image/public/user/16596/041.001.jpg?itok=QjwKuLpb
  • https://radiomed.ru/sites/default/files/styles/case_slider_image/public/user/16596/042.001.jpg?itok=ojzmT_QH
  • https://radiomed.ru/sites/default/files/styles/case_slider_image/public/user/16596/045.001.jpg?itok=8JaWXlNm
ID:21767
Сергей Нагорный аватар
Не на сайте
Был на сайте: 9 лет 8 месяцев назад
Зарегистрирован: 13.07.2010 - 22:49
Публикации: 1370

Так а в чем вопрос-то?

С уважением, С.Н. Нагорный

Др. Реутов аватар
Не на сайте
Был на сайте: 11 лет 5 месяцев назад
Зарегистрирован: 08.06.2012 - 22:47
Публикации: 14

Вопрос - есть ли дермоид? Почему КТ - цистернография не показала фистулу? Есть ли что-то в результатах методов нейровизуализации что мы не заметили? Откуда кровь в ликворе?

Евгений Второй аватар
Не на сайте
Был на сайте: 3 недели 6 дней назад
Зарегистрирован: 13.09.2011 - 22:00
Публикации: 1772

так аневризма то есть или нет? за опухоль наверное могли принять сгусток в предмостовой цистерне, сигнал на Т1 с контрастом и без от предмостовой цистерны одинаков на мой взгляд. МРТ контроль в динамике решит вопрос ИМХО.

Сергей Нагорный аватар
Не на сайте
Был на сайте: 9 лет 8 месяцев назад
Зарегистрирован: 13.07.2010 - 22:49
Публикации: 1370

Много непонятного.

У пациента клиническая картина САК, ему показано выполнение ДСА, но раз уж выполнялась МСКТ-АГ, то нужны тонкие срезы и весь массив данных, чтобы попытаться выявить источник кровотечения (например, аневризму).

То, что стекает по носоглотке - нередкая хроническая патология, цистернография ничего не покажет, если нет грубых изменений, энцефалоцеле, если есть - покажет.

Abstract

43 patients with nasal liquorrhea (NL) were admitted to and operated on using endonasal endoscopic technique in N. N. Burdenko Research Institute of Neurosurgery from 1999 to 2002. The diagnostic examination included nasal cavity endoscopy, biochemistry of glucose in nasal discharge. CT and MRT-cysternography, plain CT and MRT of the brain. By etiology, liquor fistulas were divided into spontaneous (n = 21), posttraumatic (n = 6) and iatrogenic (n = 16). The source of liquorrhea located in the sphenoidal sinus (n = 20), roof of the ethmoidal labyrinth (n = 10), cribriform plate (n = 12). A total of 47 operations and 4 reoperations were made with application of the biological fibrin-thrombin glue tissucol. The maximal size of the defect in the base of the skull in this series reached 15 mm. Lumbar drainage, removed on postoperative day 5, on the average, was established during endoscopic endonasal plastic repair of the liquor fistula in 34 patients. In maximal follow-up of 3.5 years, a complete recovery was observed in 38 (88.4%) operated on patients. The main causes of unsatisfactory effectiveness of endonasal operations were the following: impossible visualization of the fistula in a deep lateral pocket of the sphenoidal sinus, compound pathology (nasal liquorrhea and tumor of the base of the skull), extensive multiple traumas of the bone structures of the base of the skull.

 

Была ли проведена назальная эндоскопия? В данном случае, думаю, это просто сочетание двух проблем. Дермоида не вижу, только кровь, покажите стрелкой, куда смотреть?

С уважением, С.Н. Нагорный

Др. Реутов аватар
Не на сайте
Был на сайте: 11 лет 5 месяцев назад
Зарегистрирован: 08.06.2012 - 22:47
Публикации: 14

Данных за аневризму нет. Мысль об опухоли возникла в связи с тем, что базилярка отошла от ската. Пару раз встречал дермоиды с подобной клиникой. Куда делась фистула, если была явная ликворея? Мне кажется или контраст во время КТ цистернографии затек во внутренний слуховой?

Др. Реутов аватар
Не на сайте
Был на сайте: 11 лет 5 месяцев назад
Зарегистрирован: 08.06.2012 - 22:47
Публикации: 14

Смутил участок кзади от спинки седла по скату гиперинтенсивное на Т2, оттесняющий основную и ЗМА. Переделаю на 3 Тесла

Др. Реутов аватар
Не на сайте
Был на сайте: 11 лет 5 месяцев назад
Зарегистрирован: 08.06.2012 - 22:47
Публикации: 14

Эндоскопия была. С работой 2002 года знаком. Немоного устаревшие данные. С 2005 по 2011 в Бурденко изменились взгляды на диагностику и лечение ликвореи. В том числе на глюкозовый тест и люмбальный дренаж. Обычно фистула всегда бывает видна. Особенно при длительно существующих процессах за счет местного воспаления. Возможно она закрылась за счет местного арахноидита и тем самым спровоцировала жуткую гипертензии? Ликворное давление зашкаливает. Подумываю о ФК-МРТ в диагностике. Мне было важно понять есть дермоид по средней линии. Разрыв может сопровождаться клиникой асептичекого менингита и соответствующей картиной.

Сергей Нагорный аватар
Не на сайте
Был на сайте: 9 лет 8 месяцев назад
Зарегистрирован: 13.07.2010 - 22:49
Публикации: 1370

Я что-то не понимаю....

То есть САК для вас не является причиной гипертензии что ли?

Новых публикаций по подходам к лечению ликвореи в Бурденко не нахожу ни в платных, ни в бесплатных источниках. Не поделитесь ссылкой?

Повторюсь, что при скудной ликворее, КТ-цистернография чаще имеет отрицательный результат.

С уважением, С.Н. Нагорный

Др. Реутов аватар
Не на сайте
Был на сайте: 11 лет 5 месяцев назад
Зарегистрирован: 08.06.2012 - 22:47
Публикации: 14

Видимо не понимаете. Говорим о разных вещах. Если у человека 30 лет была назальная ликворея, то почему она закрылась на фоне жуткой гипертензии. Что закрыло фистулу? У пациента уровень ликворного давления больше 40. Вопрос был просто есть ли какой-либо объем (опухоль? локальный арахноидит) на основании?

Др. Реутов аватар
Не на сайте
Был на сайте: 11 лет 5 месяцев назад
Зарегистрирован: 08.06.2012 - 22:47
Публикации: 14

Скину ссылку из нашего предпоследнего журнала, если найду эл. вариант. Повторюсь (в ИБ описано), что у пациента не скрытая, а ЯВНАЯ назальная ликворея. По утрам хлещет.. пациент захлебывается ликвором....

Др. Реутов аватар
Не на сайте
Был на сайте: 11 лет 5 месяцев назад
Зарегистрирован: 08.06.2012 - 22:47
Публикации: 14

Ссылка на последнюю работу по ликвореям  http://www.mediasphera.ru/journals/burdenko/detail/818/12939/. Досуп к полной статье у авторизованных пользователей. При необходимости могу скачать и отправить в формате PDF. 

Сергей Нагорный аватар
Не на сайте
Был на сайте: 9 лет 8 месяцев назад
Зарегистрирован: 13.07.2010 - 22:49
Публикации: 1370

Если ликворея явная - вопросов нет, тогда другие НО:

"Учитывая вышеизложенную симптоматику заболевания приступ, повлекший за собой госпитализацию в стационар, представлял собой самостоятельное закрытие базальной фистулы, в результате которого возникла симптоматика внутричерепной гипертензии"

откуда тогда столько крови в ликворе, если это всего лишь закрытие фистулы с интракраниальной гипертензией? Да и клиника описана классическая для САК.

По мне дык это перимезенцефалическое САК, что мы и видим на МРТ (как раз и аневризм не нашли). И гипертензия при САК - обычное явление. Как оно (кровоизлияние) повлияло на фистулу - не знаю, надо подумать, но способствовать могло. А стекания ликвора прекратились полностью?

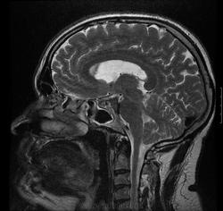
Если можете, выложите DICOM куда-нибудь, на представленных картинках не совсем всё ясно, особенно интересна КТ-АГ и МРТ. Не могу разглядеть опухоль тут с накоплением конрастного препарата.

С уважением, С.Н. Нагорный

Сергей Нагорный аватар
Не на сайте
Был на сайте: 9 лет 8 месяцев назад
Зарегистрирован: 13.07.2010 - 22:49
Публикации: 1370

Др. Реутов wrote:

Ссылка на последнюю работу по ликвореям  http://www.mediasphera.ru/journals/burdenko/detail/818/12939/. Досуп к полной статье у авторизованных пользователей. При необходимости могу скачать и отправить в формате PDF. 

Да, статья интересна, авторизации у меня нет. Буду благодарен, если пришлёте.

С уважением, С.Н. Нагорный

Др. Реутов аватар
Не на сайте
Был на сайте: 11 лет 5 месяцев назад
Зарегистрирован: 08.06.2012 - 22:47
Публикации: 14

Сергей Николаевич, САК есть однозначно (клиника+нейровизуализация). Ликвория полостью прекратилась. Даже проба с анемизацией слизистой не выявила признаков ликвореи. Вот и я тоже весь в "думках" как эти процессы связаны между собой...

P.S. Статью прикрепил

Приложения: 
ВложениеРазмер
Иконка PDF likvoreya.pdf1.11 МБ
Сергей Нагорный аватар
Не на сайте
Был на сайте: 9 лет 8 месяцев назад
Зарегистрирован: 13.07.2010 - 22:49
Публикации: 1370

Огромное спасибо за статью!

По части КТЦГ с давних времен, вроде, ничего не поменялось:

КТЦГ  позволяет  судить  о  нарушениях  в  ликворной системе,   наличии  менингоэнцефалоцеле,  пневмоцефалии, ликвора в придаточных пазухах черепа. Однако у пациентов с рецидивирующей ликвореей или низкой скоростью истечения  ликвора  данные КТЦГ могут  быть  ложноотрицательными.  Поэтому  чувствительность  метода варьирует от 48 до 96%, по разным данным, в зависимости от скорости потока ликвора через фистулу и локализации фистулы. Наиболее информативна КТЦГ при локализации фистулы  в  лобной или клиновидной пазухах, поскольку  они  являются  резервуаром  для  контрастного вещества. В области ситовидной пластинки контрастный
материал может вытекать в глотку и поэтому не достигает достаточного  объема  для  обнаружения  фистулы.  Таким образом, КТЦГ является методом выбора, главным образом, при дефектах лобной и клиновидной пазух Однако он противопоказан при окклюзии ликворных путей и признаках воспалительного процесса.

 

В статьях попадается информация от облитерации арахноидальных пространств после кровоизлияний, арахноидитов после САК, так что, думаю, надо в эту сторону копать.

С уважением, С.Н. Нагорный

Helios аватар
Не на сайте
Был на сайте: 7 месяцев 2 недели назад
Зарегистрирован: 06.08.2010 - 15:16
Публикации: 4417

Я извиняюсь-может быть, не в тему,но мне интересно  на представленных сканах МР(КТ) признаки внутричерепной гипертензии найти.Просто недавно  разбирали эту тему, поэтому сейчас обращаю  внимание на все,включая форму глазных яблок и состояние зрительных нервов, не говоря уже про узость боковых желудочков ( здесь кроме незаращения лисков прозрачной перегородки, желудочки в норме).Согласна с Евгением по поводу признаков наличия крови ( недавно случай выставлялся,кажется, Евгением Широковым).

Сергей Нагорный аватар
Не на сайте
Был на сайте: 9 лет 8 месяцев назад
Зарегистрирован: 13.07.2010 - 22:49
Публикации: 1370

Helios wrote:

Я извиняюсь-может быть, не в тему,но мне интересно  на представленных сканах МР(КТ) признаки внутричерепной гипертензии найти.Просто недавно  разбирали эту тему, поэтому сейчас обращаю  внимание на все,включая форму глазных яблок и состояние зрительных нервов, не говоря уже про узость боковых желудочков ( здесь кроме незаращения лисков прозрачной перегородки, желудочки в норме).Согласна с Евгением по поводу признаков наличия крови ( недавно случай выставлялся,кажется, Евгением Широковым).

Здесь по данным визуализации говорить о ВЧГ не приходится, признаков нет, незаращение листков - вообще фигня, не признак.

С уважением, С.Н. Нагорный

Helios аватар
Не на сайте
Был на сайте: 7 месяцев 2 недели назад
Зарегистрирован: 06.08.2010 - 15:16
Публикации: 4417

Сергей Николаевич, я понимаю, что прозрачная перегородка тут не при делах, я про признаки ВЧГ.Я их здесь не вижу.Говорит ли это о том, что ее нет или не говорит?Вот в чем мой вопрос.

Др. Реутов аватар
Не на сайте
Был на сайте: 11 лет 5 месяцев назад
Зарегистрирован: 08.06.2012 - 22:47
Публикации: 14

"В статьях попадается информация от облитерации арахноидальных пространств после кровоизлияний, арахноидитов после САК, так что, думаю, надо в эту сторону копать."

Супер! Вот и я об этом. Будем думать дальше!

Сергей Нагорный аватар
Не на сайте
Был на сайте: 9 лет 8 месяцев назад
Зарегистрирован: 13.07.2010 - 22:49
Публикации: 1370

Helios, как я понял, тут стоит люмбальный дренаж, поэтому есть компенсация, и изменение картины при визуализации (регресс ВЧГ) наступает достаточно быстро.

С уважением, С.Н. Нагорный

Др. Реутов аватар
Не на сайте
Был на сайте: 11 лет 5 месяцев назад
Зарегистрирован: 08.06.2012 - 22:47
Публикации: 14

Никогда не обращал внимание на форму глазных яблок.. Интересный момент. У меня были пациенты с атрофией зрительных нервов на фоне ВЧГ с очень даже красивыми глазами и наоборот. А как меняется форма глазных яблок? Я лишь обратил внимание на "тесное" БЗО и заострение миндаликов "peg-like"

Др. Реутов аватар
Не на сайте
Был на сайте: 11 лет 5 месяцев назад
Зарегистрирован: 08.06.2012 - 22:47
Публикации: 14

Helios, КТ было выполнено до имплантации люмбального дренажа. Пациент клинически "заболел" гипертензией совсем недавно. Не думаю, что можно найти принаки ВЧГ.

Сергей Нагорный аватар
Не на сайте
Был на сайте: 9 лет 8 месяцев назад
Зарегистрирован: 13.07.2010 - 22:49
Публикации: 1370

По форме глазных яблок - уплощение задних склер

http://www.ajnr.org/content/32/11/1986.full.pdf+html

С уважением, С.Н. Нагорный

Др. Реутов аватар
Не на сайте
Был на сайте: 11 лет 5 месяцев назад
Зарегистрирован: 08.06.2012 - 22:47
Публикации: 14

очень интересно! Спасибо большое! Буду изучать!!!

Nela аватар
Не на сайте
Был на сайте: 6 лет 3 недели назад
Зарегистрирован: 12.05.2009 - 20:43
Публикации: 1847

Лечат же спинальную ликворею "кровяными заплатками", может и здесь САК помог...

Helios аватар
Не на сайте
Был на сайте: 7 месяцев 2 недели назад
Зарегистрирован: 06.08.2010 - 15:16
Публикации: 4417

Не только уплощение, но и извитость глазных нервов.Каждый из этих признаков отдельно может ничего и не стоить, а вкупе являться проявлением ВЧГ.Очень хорошо об этом в этой ветке http://www.radiographia.ru/node/1084?page=2