Неудачно поднял штангу

Пол пациента: 
Тип патологии: 
Область исследования: 
Методы исследования: 

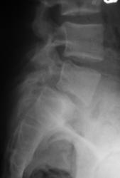
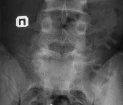
Молодой человек, занимаясь в спортзале, неаккуратно взял вес. Беспокоят боли в пояснице.

  • https://radiomed.ru/sites/default/files/styles/case_slider_image/public/user/712/sl274144.jpg?itok=-I3DvGlX
  • https://radiomed.ru/sites/default/files/styles/case_slider_image/public/user/712/sl274145.jpg?itok=Z9ERqYlO
  • https://radiomed.ru/sites/default/files/styles/case_slider_image/public/user/712/sl274146.jpg?itok=N4ZJjqyv
ID:18199
Ganesh аватар
Не на сайте
Был на сайте: 9 лет 2 месяцев назад
Зарегистрирован: 26.12.2011 - 20:05
Публикации: 35

Истинный передний спондилолистез I степени и незаращение дужки L5

И.Бондаренко аватар
Не на сайте
Был на сайте: 3 дня 9 часов назад
Зарегистрирован: 13.09.2011 - 22:55
Публикации: 9206

+1. Spina bifida S1.

Регион05Наира аватар
Не на сайте
Был на сайте: 13 лет 9 месяцев назад
Зарегистрирован: 26.11.2011 - 14:43
Публикации: 59

А у Рубашевой есть мнение что расхождение может быть ипосле травмы...Спондилолистез крестца кзади

ДокRg аватар
Не на сайте
Был на сайте: 12 лет 3 месяцев назад
Зарегистрирован: 30.03.2011 - 20:05
Публикации: 105

Ganesh wrote:

Истинный передний спондилолистез I степени и незаращение дужки L5

+1

тюрин аватар
Не на сайте
Был на сайте: 1 неделя 1 день назад
Зарегистрирован: 18.12.2009 - 17:23
Публикации: 215

Регион05Наира wrote:

А у Рубашевой есть мнение что расхождение может быть ипосле травмы...Спондилолистез крестца кзади

На сколько я понимаю, при описании смещений в сегментах позвоночного столба принято оценивать смещение более краниального позвонка (как, например, при переломах оценивают смещение дистального отломка). С этой позиции, "Спондилолистез крестца кзади" звучит не совсем корректно.

На мой взгляд, сложно сказать явился ли листез следствием травмы (гипернагрузки), предыдущих снимков скорее всего нет. но исходя из умозаключения "где тонко, там и рвётся", смею предположить, что причина жалоб пациента находится именно на уровне спондилолистеза. ...правда, как облачить это в форму заключения протокола рентгенографического исследования я не знаю...

Глазков Игорь Артурович аватар
Не на сайте
Был на сайте: 9 месяцев 1 неделя назад
Зарегистрирован: 19.12.2008 - 20:41
Публикации: 1597

за высказанные мнения.

Прийди к Себе

Наталия аватар
Не на сайте
Был на сайте: 8 лет 7 месяцев назад
Зарегистрирован: 30.07.2008 - 13:24
Публикации: 538

Ganesh wrote:

Истинный передний спондилолистез I степени и незаращение дужки L5

+1

Игорь Иванович аватар
Не на сайте
Был на сайте: 3 года 9 месяцев назад
Зарегистрирован: 23.01.2010 - 14:56
Публикации: 3695

Если бы такой листез был следствием однократной гипернагрузки, думаю, что без инвалидной коляски бы не обошлось. Но о дальнейшем занятии таким спортом нужно задуматься.

Наталия аватар
Не на сайте
Был на сайте: 8 лет 7 месяцев назад
Зарегистрирован: 30.07.2008 - 13:24
Публикации: 538

Игорь Иванович wrote:

Если бы такой листез был следствием однократной гипернагрузки, думаю, что без инвалидной коляски бы не обошлось. Но о дальнейшем занятии таким спортом нужно задуматься.

+1