Неожиданная динамика рентгенологической картины...

Пол пациента: 
Тип патологии: 

Пациент психиатрической лечебницы, 74 года (анамнез собрать невозможно, из всех своих болезней пациент рассказывает только о пояснично-крестцовом радикулите, которым страдает много лет). Тамошний рентгенолог предположил центральный рак левого легкого с ателектазом S3. Психиатры начали пристраивать пациента к онкологам. Онколог по телефону порекомендовл сначала проконсультировать больного у пульмонолога. С представленными снимками (через 4 дня  после их выполнения) пациент попал в нашу лечебницу к пульмонологу и, естественно, к нам (лучевым диагностам). По представленным снимкам возникли сомнения в наличии центрального рака левого легкого.

Изображение  Изображение

А Ваше мнение, коллеги?

Катенёв Валентин Львович аватар
Не на сайте
Был на сайте: 7 лет 3 месяцев назад
Зарегистрирован: 22.03.2008 - 22:15
Публикации: 54876

Уважаемый Alex,!

Конечно, у каждого из нас, своя тактика в обследовании и дообследовании пациентов. Кроме того, имеется некоторое сформированное убеждение, по поводу "контингента", который представляется на обследование. Пациенты психиатрической больницы, пациенты домов престарелых, хосписов и прочих социальных и полусоциальных учреждений мною условно относятся к "униженным и оскорбленных" и среди такого "социального контингента", как правило, как заболевание доминирует Его Величество Туберкулёз со своими вассалами в виде плевритов и ХНЗЛ. Конечно, это не исключает наличие неопластического процесса и других заболеваний.

Безусловно, на мой вкус, я обязательно взял-бы пациента "на стол", оттомографировал его в прямой проекции, да и возможно в боковой проекции. Ну а сейчас конкретно по снимкам.

1.Итак, слева в верхней доле, пристеночно, имеет место затемнение легочной ткани "вне анатомических границ", довольно однородной структуры, средней интенсивности с довольно четким, но неровным контуром.

Alex аватар
Не на сайте
Был на сайте: 3 года 9 месяцев назад
Зарегистрирован: 19.06.2009 - 16:43
Публикации: 174

Да, Валентин Львович, Вы всё правильно подметили. Ключевой момент Вы указали - имеет место затемнение легочной ткани "вне анатомических границ". Ателектаз не должен быть вне анатомических границ, линзоподобная паракостальная тень нас также заинтересовала. Левый корень кажется широким из-за неправильной укладки, больной повернут влево.Одним словом, учитывая всё выше приведенное и думая, что это не рак, мы повторили снимки. Стало ещё интересней...

 через 4 дня 27.07.09.    Изображение Изображение

Прямую рентгенограмму делали прицельно и жёстче для оценки ребер (помня о линзообразной паракостальной тени).

Какой-то глюк. Ещё раз прямая рентгенограмма. Куда исчезла первая я не знаю.

Катенёв Валентин Львович аватар
Не на сайте
Был на сайте: 7 лет 3 месяцев назад
Зарегистрирован: 22.03.2008 - 22:15
Публикации: 54876

Ну, мое впечатление, что в междоле выпот, а также собирается сзади и базально. Кстати и 6 сегмент несколько сниженной прозрачности.

Катенёв Валентин Львович аватар
Не на сайте
Был на сайте: 7 лет 3 месяцев назад
Зарегистрирован: 22.03.2008 - 22:15
Публикации: 54876

Что это нижние грудные позвонки такие "раскормленные" на представленной последней рентгенограмме

Alex аватар
Не на сайте
Был на сайте: 3 года 9 месяцев назад
Зарегистрирован: 19.06.2009 - 16:43
Публикации: 174

Тогда два вопроса:

1. Чем объяснить такую быструю отрицательную динамику за 4 дня

2. Почему такие странные границы у жидкости, появившейся за эти 4 дня (не осумкованной жидкости)

Изображение

Катенёв Валентин Львович аватар
Не на сайте
Был на сайте: 7 лет 3 месяцев назад
Зарегистрирован: 22.03.2008 - 22:15
Публикации: 54876

Понятно, что жесткие снимки, Вы произвели, чтобы исключить или подтвердить деструкцию ребер. Сейчас, более прицельно посмотрю боковой снимок.

Катенёв Валентин Львович аватар
Не на сайте
Был на сайте: 7 лет 3 месяцев назад
Зарегистрирован: 22.03.2008 - 22:15
Публикации: 54876

Не видны мне верхние грудные позвонки, кажется один деформированный и порозный. Возможно, это скиалогические заморочки?

Alex аватар
Не на сайте
Был на сайте: 3 года 9 месяцев назад
Зарегистрирован: 19.06.2009 - 16:43
Публикации: 174

Скорее да, чем нет, остеопороз и деформация есть, но на тот момент на позвонки мы и не смотрели. Увидя снимки и лейкоцитоз в 20тыс, больного оставили у нас в реанимации.  Там стали его интенсивно лечить и настойчиво задавать вопросы, а что дальше? Вопросы, естественно к нам.

Андрей Юрьевич аватар
Не на сайте
Был на сайте: 1 месяц 2 недели назад
Зарегистрирован: 16.11.2008 - 22:16
Публикации: 18101

Прошу прощения, а где прямой снимок "через 4 дня"?

Андрей Юрьевич

v1tal аватар
Не на сайте
Был на сайте: 5 лет 4 дня назад
Зарегистрирован: 07.06.2008 - 19:41
Публикации: 1779

По последним снимочкам складывается впечатлиние об паракостальном осумкованном плеврите.

"Знаешь, у некоторых врачей есть комплекс мессии — им необходимо спасать мир. А у тебя комплекс Рубика — тебе необходимо решать головоломки."

Alex аватар
Не на сайте
Был на сайте: 3 года 9 месяцев назад
Зарегистрирован: 19.06.2009 - 16:43
Публикации: 174

Да, похоже, только вот времени на осумкование не было.

Андрей Юрьевич аватар
Не на сайте
Был на сайте: 1 месяц 2 недели назад
Зарегистрирован: 16.11.2008 - 22:16
Публикации: 18101

ОК, теперь увидел. Коллега Алекс, а возможность эмпиемы плевры Вы не рассматриваете?

Андрей Юрьевич

Катенёв Валентин Львович аватар
Не на сайте
Был на сайте: 7 лет 3 месяцев назад
Зарегистрирован: 22.03.2008 - 22:15
Публикации: 54876

Катенёв Валентин Львович аватар
Не на сайте
Был на сайте: 7 лет 3 месяцев назад
Зарегистрирован: 22.03.2008 - 22:15
Публикации: 54876

Диагноз, в принципе ясен. Пусть весьма активно подключаются фтизиатры.

Андрей Юрьевич аватар
Не на сайте
Был на сайте: 1 месяц 2 недели назад
Зарегистрирован: 16.11.2008 - 22:16
Публикации: 18101

Фтизиатры? Фтизиатры, конечно, не помешают, хотя лейкоцитоз 20 тыс. для фтизиатрии не вполне характерен. А вот плевральная пункция весьма желательна.

Андрей Юрьевич

Катенёв Валентин Львович аватар
Не на сайте
Был на сайте: 7 лет 3 месяцев назад
Зарегистрирован: 22.03.2008 - 22:15
Публикации: 54876

Пункция само сабой обязательна, и с последующим анализом полученного пунктата. Но процесс то давний. Представленное коллегой, просто одна из "квинтэссенций". которые могли быть, а возможно и будут.

Андрей Юрьевич аватар
Не на сайте
Был на сайте: 1 месяц 2 недели назад
Зарегистрирован: 16.11.2008 - 22:16
Публикации: 18101

При всем уважении, Валенти Львович, не соглашусь. Процесс весьма свежий и быстро развивающийся.

Андрей Юрьевич

Катенёв Валентин Львович аватар
Не на сайте
Был на сайте: 7 лет 3 месяцев назад
Зарегистрирован: 22.03.2008 - 22:15
Публикации: 54876

Я думаю, автор публикации, по мере "поступления материала" к нему, проинформирует коллег, ведь случай действительно очень интересный и поучительный.

Alex аватар
Не на сайте
Был на сайте: 3 года 9 месяцев назад
Зарегистрирован: 19.06.2009 - 16:43
Публикации: 174

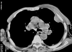
Отлично, коллеги, конечно, слева отграниченное скопление жидкости (за 4 дня значительно увеличившееся в объеме). Туберкулёз такую скорость не даст. Лейкоцитоз - в пользу гноя. Поскольку есть КТ, то логично его выполнить, прежде, чем пунктировать. КТ существенно дополнило общую картину, но некоторые вопросы остались. Прошу обратить внимание на топограмму и не обращать его на качество сканов (пошаговый томограф, скан 8мм, больной дыхание не задерживал),

Изображение Изображение Изображение Изображение Изображение Изображение Изображение Изображение Изображение Изображение Изображение Изображение Изображение Изображение Изображение Изображение Изображение Изображение Изображение Изображение Изображение Изображение Изображение Изображение Изображение Изображение Изображение Изображение Изображение Изображение Изображение Изображение Изображение 

Alex аватар
Не на сайте
Был на сайте: 3 года 9 месяцев назад
Зарегистрирован: 19.06.2009 - 16:43
Публикации: 174

Увеличил наиболее принципиальные фрагменты сканов. Одиночная стрелка - пузырьки газа. Двойная стрелка - очаг деструкции в ребре (12мм).

Изображение Изображение Изображение Изображение Изображение

Катенёв Валентин Львович аватар
Не на сайте
Был на сайте: 7 лет 3 месяцев назад
Зарегистрирован: 22.03.2008 - 22:15
Публикации: 54876

А что с правой плечевой костью? Патологический перелом или просто перелом? - топограмма.

Alex аватар
Не на сайте
Был на сайте: 3 года 9 месяцев назад
Зарегистрирован: 19.06.2009 - 16:43
Публикации: 174

Просто перелом, уже консолидированный. Движения правой руки почти в полном объеме, безболезненны. Больной травмы и переломы отрицает. Однако я за этот перелом зацепился, чтобы как-то объяснить скорость изменений слева. Впрочем, кому нужны объяснения, когда слева около 1л гноя? На гной указывают пузырьки газа.  

Катенёв Валентин Львович аватар
Не на сайте
Был на сайте: 7 лет 3 месяцев назад
Зарегистрирован: 22.03.2008 - 22:15
Публикации: 54876

А что пациента пунктировали?

Иногда отсутствие боли при переломе, вполне, может свидетельствовать о патологическом переломе.

Катенёв Валентин Львович аватар
Не на сайте
Был на сайте: 7 лет 3 месяцев назад
Зарегистрирован: 22.03.2008 - 22:15
Публикации: 54876

А остеопороз в левой плечевой кости в области проксимального эпиметафиза - это игра моего воображения, или действительно, имеет место быть?

Alex аватар
Не на сайте
Был на сайте: 3 года 9 месяцев назад
Зарегистрирован: 19.06.2009 - 16:43
Публикации: 174

По топограмме лучше не оценивать остеопороз (напряжение 133кV), хотя, конечно он есть, человек уже старческого возраста. Данный случай у меня оставил осадок неудовлетворённости. Пациент пробыл у нас менее суток. Найдя гной (на КТ), вызвали торакального хирурга из другой лечебницы. Он пропунктировал, задренировал, получил 1л. гноя и забрал пациента к себе. Остался не до конца выяснен механизм возникновения левосторонней эмпиемы. Я не успел больного посмотреть на УЗИ, а было бы интересно уточнить состояние мягких тканей 2-го межреберья слева, объем деструкции нижнего края преднего отрезка 2-го ребра. В конце-концов, теперь уже думаю, надо было сделать рентгенограммы поясничного отдела позвоночника. Пациент указывал на боль в нем. Думаю, что там могли оказаться свежие и, возможно, старые переломы.

Катенёв Валентин Львович аватар
Не на сайте
Был на сайте: 7 лет 3 месяцев назад
Зарегистрирован: 22.03.2008 - 22:15
Публикации: 54876

Ну чтож, раз так вышло. Однако случай интересный, заставил подвигать мозгами. Спасибо за случай Алекс.

Alex аватар
Не на сайте
Был на сайте: 3 года 9 месяцев назад
Зарегистрирован: 19.06.2009 - 16:43
Публикации: 174

У меня есть только одно предположение, хоть как-то объясняющее быструю отрицательную динамику рентгенологической картины. Думаю, что в результате травмы у больного нагноилась гематома мягких тканей левой половины грудной клетки(учитываю неизвестный перелом правой плечевой кости). На КТ на уровне 1-3 ребер слева определяется линзообразной формы отграниченное скопление жидкости, содержащей мелкие пузырьки газа (гной). Думаю, что именно его мы и видим на первом снимке " пристеночное затенение вне анатомических границ". Гной добрался до переднего отрезка 2-го ребра, а затем, частично разрушив межреберные мышцы, проник в грудную клетку. Вот здесь уже стала раздражаться и продуцировать много жидкости плевра. Жидкость смешивалась с гноем, кстати, при плевральной пункции гной был так жидок, что хорошо шел через тонкую иглу. Если предположение правильное, то слева эмпиема плевры "наизнанку", т.е. гной расположен экстраплеврально. Тому есть только косвенное подтверждение. Слева во втором межреберье отчетливо пальпировалось жидкостное образование, расположенное в мягких тканях (по КТ объём гноя в мягких тканях грудной стенки около 100мл). После установки дренажа в левую плевральную полость (а вернее, как я думаю, экстраплеврально), уже ничего не пальпировалось, что косвенно и указывает на наличие связи между двумя скоплениями жидкости. Думаю, что именно здесь (на этом скане, где видна деструкция нижнего края 2-го ребра) и сформировалась своеобразная "запонка", добравшаяся до плевры и вызвавшая такую скорость формирования эмпиемы. Это мое предположение, возможно, есть другие мнения. На самом деле первоисточником может быть остеомиелит ребра, правда, слишком велика диспропорция между объемом деструкции и количеством гноя (даже в мягких тканях грудной клетки). Но и тогда эмпиема тоже эстраплевральная. В любом случае, было что обсудить. Спасибо за высказанные мнения.

Изображение