Норма или не совсем

Пол пациента: 
Тип патологии: 
Область исследования: 
Методы исследования: 

                Коллеги, выскажите свои мнения по поводу данного случая. Заранее благодарен.

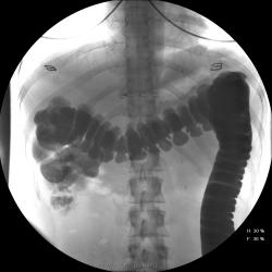
Девушка, 27 лет, жалуется на периодические боли в правой подвздошной области, области паха справа. Во время этого идет нарушение стула - то слабит, то несколько дней не может ходить в туалет, вздутие кишечника. Жалобы несколько лет . Обследованна кем только можно. Хирург посоветовал ирригоскопию. Работа достаточно нервная. До первого случая данных проблем , за неделю, проходила сан лечение в пансионате ( для поднятия общего иммунитета - так говорит), был курс клизм с травами - сама думает, что это не связанно.

  • https://radiomed.ru/sites/default/files/styles/case_slider_image/public/user/2983/IMAGE_195-1.jpg?itok=_pzsh2K9
  • https://radiomed.ru/sites/default/files/styles/case_slider_image/public/user/2983/IMAGE_196-1.jpg?itok=IBl9dD82
  • https://radiomed.ru/sites/default/files/styles/case_slider_image/public/user/2983/IMAGE_197-1.jpg?itok=wNE7yaLT
  • https://radiomed.ru/sites/default/files/styles/case_slider_image/public/user/2983/IMAGE_198-1.jpg?itok=QZgs-V4T
  • https://radiomed.ru/sites/default/files/styles/case_slider_image/public/user/2983/IMAGE_199-1.jpg?itok=712sJjja
  • https://radiomed.ru/sites/default/files/styles/case_slider_image/public/user/2983/IMAGE_200-1.jpg?itok=VPvetMoQ
  • https://radiomed.ru/sites/default/files/styles/case_slider_image/public/user/2983/IMAGE_201-1.jpg?itok=ssoMoJes
  • https://radiomed.ru/sites/default/files/styles/case_slider_image/public/user/2983/IMAGE_202-1.jpg?itok=Ui75EnLr
  • https://radiomed.ru/sites/default/files/styles/case_slider_image/public/user/2983/IMAGE_203-1.jpg?itok=NRZr-_7l
  • https://radiomed.ru/sites/default/files/styles/case_slider_image/public/user/2983/IMAGE_204-1.jpg?itok=GJfysQ-P
  • https://radiomed.ru/sites/default/files/styles/case_slider_image/public/user/2983/IMAGE_205-1.jpg?itok=e0cK3KeH
  • https://radiomed.ru/sites/default/files/styles/case_slider_image/public/user/2983/IMAGE_206-1.jpg?itok=NNoDBr_y
  • https://radiomed.ru/sites/default/files/styles/case_slider_image/public/user/2983/IMAGE_207-1.jpg?itok=Ep7GTckO
  • https://radiomed.ru/sites/default/files/styles/case_slider_image/public/user/2983/IMAGE_208-1.jpg?itok=IiqAbTVO
  • https://radiomed.ru/sites/default/files/styles/case_slider_image/public/user/2983/IMAGE_209-1.jpg?itok=yRgsADut
ID:2418
brainmodel аватар
Не на сайте
Был на сайте: 2 месяцев 2 недели назад
Зарегистрирован: 18.03.2010 - 22:04
Публикации: 2881

В целом -не вижу, к чему придраться, хоть и тонус низковат. Что это? В проекции левого мечеточника. Причем цепочка тенюшек тянется под диафрагму занчительно выше проеции почки?

Verum plus uno esse non potest.

Юрич аватар
Не на сайте
Был на сайте: 6 лет 5 месяцев назад
Зарегистрирован: 17.01.2010 - 09:55
Публикации: 351

Цепочка тенюшек - это наша "гордость)" следы от контраста после гистеросальпингоскопии. чтоб вымыть ,надо разбирать стол , а это только с представителем сименса. вот так.) а правые отделы толстой кишки на расширены? я кроме лополнительной петли сигмы сам ничего не вижу. несколько настораживает некоторое расширение правых отделов кишки- может за счет запоров, которые случаются у девушки? не хочется что то пропустить.

brainmodel аватар
Не на сайте
Был на сайте: 2 месяцев 2 недели назад
Зарегистрирован: 18.03.2010 - 22:04
Публикации: 2881

Не к делу вопрос - что творили гинекологи, чтобы загнать контрасть под деку?

Verum plus uno esse non potest.

Юрич аватар
Не на сайте
Был на сайте: 6 лет 5 месяцев назад
Зарегистрирован: 17.01.2010 - 09:55
Публикации: 351

Коллеги, значит пишу долихосигма и все?

Almo аватар
Не на сайте
Был на сайте: 18 часов 40 минут назад
Зарегистрирован: 28.09.2008 - 18:50
Публикации: 8259

Считаю, данных за долихосигму нет.

Юрич аватар
Не на сайте
Был на сайте: 6 лет 5 месяцев назад
Зарегистрирован: 17.01.2010 - 09:55
Публикации: 351

А образованый петлями ее клубок - вариант нормы? не может ли он давать запоры?

Dr_vova аватар
Не на сайте
Был на сайте: 11 лет 2 месяцев назад
Зарегистрирован: 06.05.2008 - 20:22
Публикации: 15

При таких симптомах ищи "бабьи дела", может быть хр. аппедицит. Необходимо определиться с характером и продолжительностью болей. Наиболее вероятнно - недостаточность функции Баугиневой заслонки. При указании или подозрении на эту патологию меняется методика обследования. Ваши снимки расположены хаотично, а не по мере заполнения кишечника. При подзрении на недостаточность функции Баугиневой заслонки, по рекомедации Шнигера, заполняется толстая кишка до печёночного угла, а далше только с помощью глубокой пальпации. Если в этом случае удаётся провести контраст в тонкую кишку или при опорожнеии кишечника контраст попадает в тонкую - пиши недостаточность Баугиневой заслонки.

stovbav аватар
Не на сайте
Был на сайте: 2 года 2 месяцев назад
Зарегистрирован: 20.12.2009 - 17:28
Публикации: 7066

1.Даже сам Витебский признавал оносительность как клапана Баугиньевой заслонки...

2. У Вашей больной типичный дисбактериоз.....эту проблему Вы не исключали? еще не известно...что это были за клизмы...и какую флору она с ними получила...или какой избавилась...

Юрич аватар
Не на сайте
Был на сайте: 6 лет 5 месяцев назад
Зарегистрирован: 17.01.2010 - 09:55
Публикации: 351

Спасибо за комментарии. а снимки по порядку, только в обратном порядке. извиняюсь за тавтологию.

Катенёв Валентин Львович аватар
Не на сайте
Был на сайте: 7 лет 3 недели назад
Зарегистрирован: 22.03.2008 - 22:15
Публикации: 54876

А, чем вызвана неоднородность контрастирования слепой и частично восходящего отдела?

Тугого контрастирования слепой не достигнуто. Должны быть причины.

 

Приложения: 
100_VYZVANO..JPG101.VYZVANO.JPG
Петрович аватар
Не на сайте
Был на сайте: 7 лет 2 месяцев назад
Зарегистрирован: 22.03.2009 - 01:13
Публикации: 3908

  Слепая кишка в конце исследования, несмотря на её содержимое, заполнилась прилично. А вот гаустрация сигмовидной кишки не сглажена?

Неоднозначно всё

stovbav аватар
Не на сайте
Был на сайте: 2 года 2 месяцев назад
Зарегистрирован: 20.12.2009 - 17:28
Публикации: 7066

Almo wrote:

Считаю, данных за долихосигму нет.

Признак долихосигмы - это наличие т.н. симптома "трехстволки", есть это - есть и долихосигма. В данном случае такой вариант имеет место быть.

Игорь Иванович аватар
Не на сайте
Был на сайте: 3 года 9 месяцев назад
Зарегистрирован: 23.01.2010 - 14:56
Публикации: 3695

Не буду уточнять конкретно, ну уж очень близкий человек на курорте попался на такую же удочку (повышение иммунитета), и после этого такие же жалобы, боли...На ирригуше написал норму, хотя проктолог на ней увидел колит. На колоноскопии - тоже колит, что-то назначали. но прошло само собой. И первопричина, я думаю, эти орошения. Попытаюсь сейчас найти снимки, сфоткать (как получится). Короче на фоне окна тюли и улицы...Да, это было в 2001 году. До сегодняшнего дня - жалоб нет. А на представленных снимках я бы никчему бы не придрался.

Приложения: 
31032010378.jpg31032010377.jpg
Юрич аватар
Не на сайте
Был на сайте: 6 лет 5 месяцев назад
Зарегистрирован: 17.01.2010 - 09:55
Публикации: 351

может и правда гаустрация левых оделов толстой кишки сглажена? интересно, а выраженность гаустрации зависитиот наследственных особенностей - у кого то лучше, у кого то хуже выражена? или все же сглаженность - признак патологии?

stovbav аватар
Не на сайте
Был на сайте: 2 года 2 месяцев назад
Зарегистрирован: 20.12.2009 - 17:28
Публикации: 7066

Явная сглаженость никак нормой быть не может...в том числе и слева...а уж если мелкая зубчастось, пусть и преходящая...а если и спастические скоращения на большом протящении...а если и неровность и несимметричность гаустр...а если и боль при рентгенопальпации...а если и изменения структуры рельефа...вот тогда и о КОЛИТЕ поговорить можно...

Юрич аватар
Не на сайте
Был на сайте: 6 лет 5 месяцев назад
Зарегистрирован: 17.01.2010 - 09:55
Публикации: 351

Я не понял, stovbav , так эти признаки у моей пациентки есть?

stovbav аватар
Не на сайте
Был на сайте: 2 года 2 месяцев назад
Зарегистрирован: 20.12.2009 - 17:28
Публикации: 7066

Юрич wrote:

Я не понял, stovbav , так эти признаки у моей пациентки есть?

1. Нет.

2. Меня зовут Виктором Григорьевичем.

3. Я думал Вы сравните даный мной набор признаков я наличиствующими изображениями...потому и перечислил....

Юрич аватар
Не на сайте
Был на сайте: 6 лет 5 месяцев назад
Зарегистрирован: 17.01.2010 - 09:55
Публикации: 351

Спасибо, Виктор Григорьевич. Кстати, меня зовут Степаном Юрьевичем.

Игорь Иванович аватар
Не на сайте
Был на сайте: 3 года 9 месяцев назад
Зарегистрирован: 23.01.2010 - 14:56
Публикации: 3695

Все мозги разбили на части, все извилины заплели...

Петрович аватар
Не на сайте
Был на сайте: 7 лет 2 месяцев назад
Зарегистрирован: 22.03.2009 - 01:13
Публикации: 3908

Игорь Иванович wrote:
Все мозги разбили на части, все извилины заплели...
  И не говорите: практически нормальный (в рентгеновском отображении) кишечник, но, сколько споров и разногласий. Подмигиваю И ведь это в рамках одной пока ещё школы рентгенодиагностики. Улыбаюсь

Неоднозначно всё