Норма или нет?

Пол пациента: 
Методы исследования: 

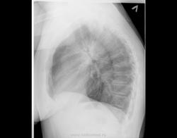
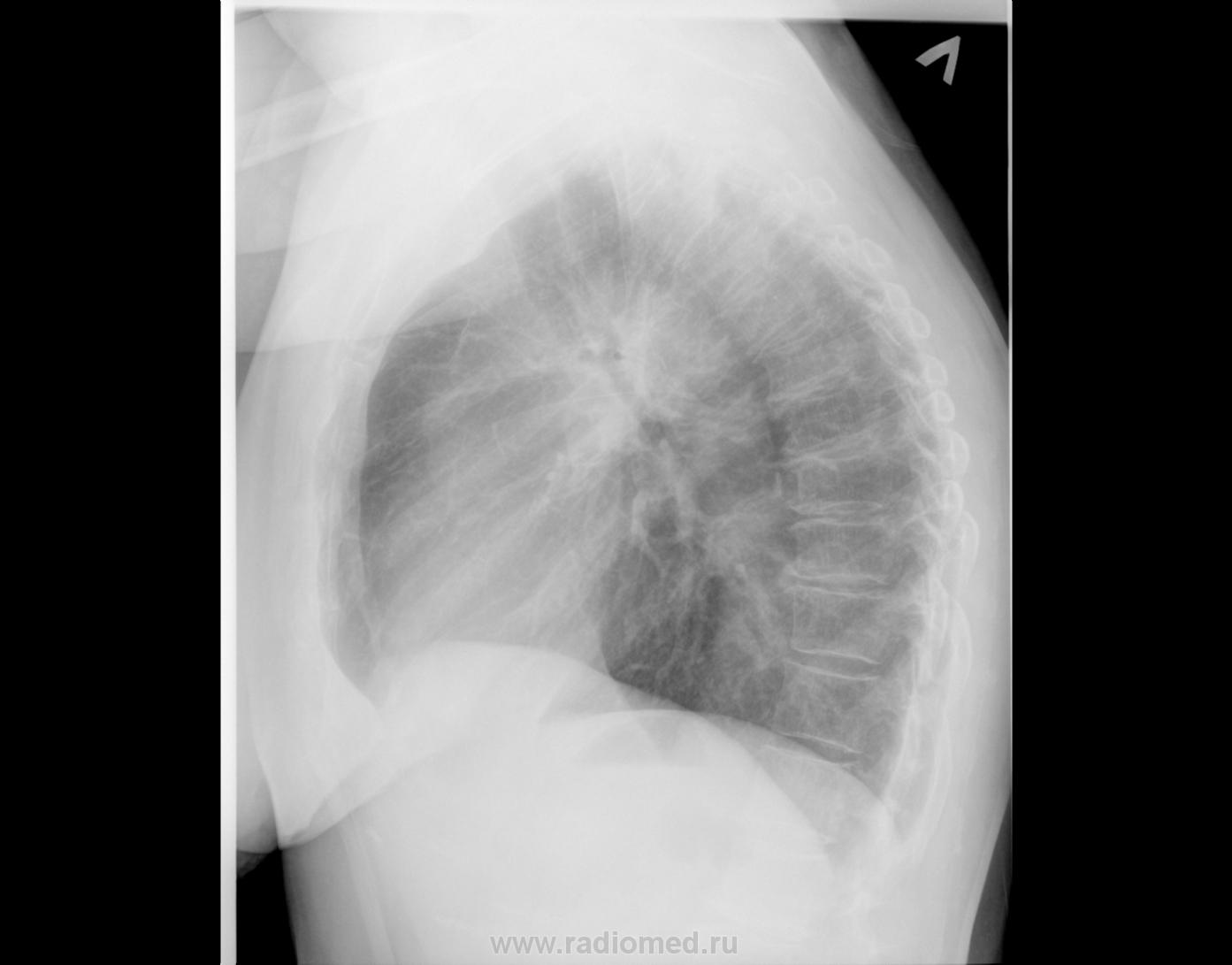
Пожилая пациентка, метастаз аденокарциномы в бедренную кость. Исследование выполнено с целью поиска первичного очага. Есть ли к чему придраться?

  

  • https://radiomed.ru/sites/default/files/styles/case_slider_image/public/user/1158/image_12.jpg?itok=3WXCskcZ
ID:24018
Побединский Михаил Александрович аватар
Не на сайте
Был на сайте: 7 лет 9 месяцев назад
Зарегистрирован: 25.12.2010 - 23:44
Публикации: 696

I-ое ребро слева вроде нехорошее.

Катенёв Валентин Львович аватар
Не на сайте
Был на сайте: 7 лет 2 недели назад
Зарегистрирован: 22.03.2008 - 22:15
Публикации: 54876

Придраться всегда можно.

1. Правому корню доверия нет.

2. Два позвонка грудного отдела не хило поротичны.

Любовь С. аватар
Не на сайте
Был на сайте: 9 лет 5 месяцев назад
Зарегистрирован: 23.12.2010 - 01:58
Публикации: 2324

Слишком много лёгочного рисунка... хочется "натянуть" на карциноматоз. Плюсом первое ребро слева, согласна.

Приложения: 
a_ph_9.jpg

"Предоставляя весь смысл и совершенство в распоряжение одного только Бога, вы избавляете себя от бездны хлопот." Джон Уитборн.

tatyana аватар
Не на сайте
Был на сайте: 4 года 1 месяц назад
Зарегистрирован: 24.06.2009 - 08:33
Публикации: 2090

чем это вам корень, ребро и легочный рисунок не угодили? Поясните, пожалуйста, свои мысли, коллеги

"самоуверенность дилетантов - предмет зависти профессионалов"

Любовь С. аватар
Не на сайте
Был на сайте: 9 лет 5 месяцев назад
Зарегистрирован: 23.12.2010 - 01:58
Публикации: 2324

Глюк... 2 трахеи на боковом, а на прямом бифуркация очень странная, не видно главных... Пора спать))).

Ребро - ощущение остеолитического очага, рисунок - его очень много,  вроде и диссеминация, а вроде нет... Интерстициальная сетка видится.

Приложения: 
rebrolev.jpg

"Предоставляя весь смысл и совершенство в распоряжение одного только Бога, вы избавляете себя от бездны хлопот." Джон Уитборн.

Катенёв Валентин Львович аватар
Не на сайте
Был на сайте: 7 лет 2 недели назад
Зарегистрирован: 22.03.2008 - 22:15
Публикации: 54876

tatyana wrote:

чем это вам корень...не угодили? Поясните, пожалуйста, свои мысли, коллеги

Плотноват в области головки и тела, создается впечатление, что несколько подтянут.

tatyana аватар
Не на сайте
Был на сайте: 4 года 1 месяц назад
Зарегистрирован: 24.06.2009 - 08:33
Публикации: 2090

Спасибо за комментарии.

Снимки через 2 месяца

Приложения: 
image_14.jpgimage_15.jpg

"самоуверенность дилетантов - предмет зависти профессионалов"

Катенёв Валентин Львович аватар
Не на сайте
Был на сайте: 7 лет 2 недели назад
Зарегистрирован: 22.03.2008 - 22:15
Публикации: 54876

Добавилисть очаговые тени справа на уровне 2 ребра, в апико-медиальном отделе верхушечного сегмента справа неоднородное снижение прозрачности. А, вот 1 ребра справа довольно плохо дифференцируется, особенно нижний контур.

Все. Далее только линейная томография, или КТ.

Андрей Юрьевич аватар
Не на сайте
Был на сайте: 6 дней 9 часов назад
Зарегистрирован: 16.11.2008 - 22:16
Публикации: 18098

Рискну и я: на первом снимке - нечеткая головка правого корня, правый корень поднятут кверху. На втором - плюс треугольная тень в верхне-медиальном отделе справа и очаговая тень на 2-м ребре справа. Предположу первичный очаг - центральный рак верхней доли правого легкого.

Андрей Юрьевич

tatyana аватар
Не на сайте
Был на сайте: 4 года 1 месяц назад
Зарегистрирован: 24.06.2009 - 08:33
Публикации: 2090

Респект Валентин Львович и Андрей Юрьевич!

Вот несколько сканов:

Приложения: 
image_16.jpgimage_17.jpgimage_18.jpgimage_19.jpg

"самоуверенность дилетантов - предмет зависти профессионалов"

Катенёв Валентин Львович аватар
Не на сайте
Был на сайте: 7 лет 2 недели назад
Зарегистрирован: 22.03.2008 - 22:15
Публикации: 54876

Респект Вам уважаемая tatyana за столь интересный и показательный случай в динамике!