Новорождённый

Пол пациента: 
Тип патологии: 
Методы исследования: 

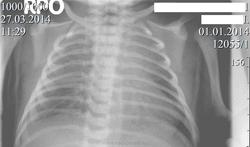
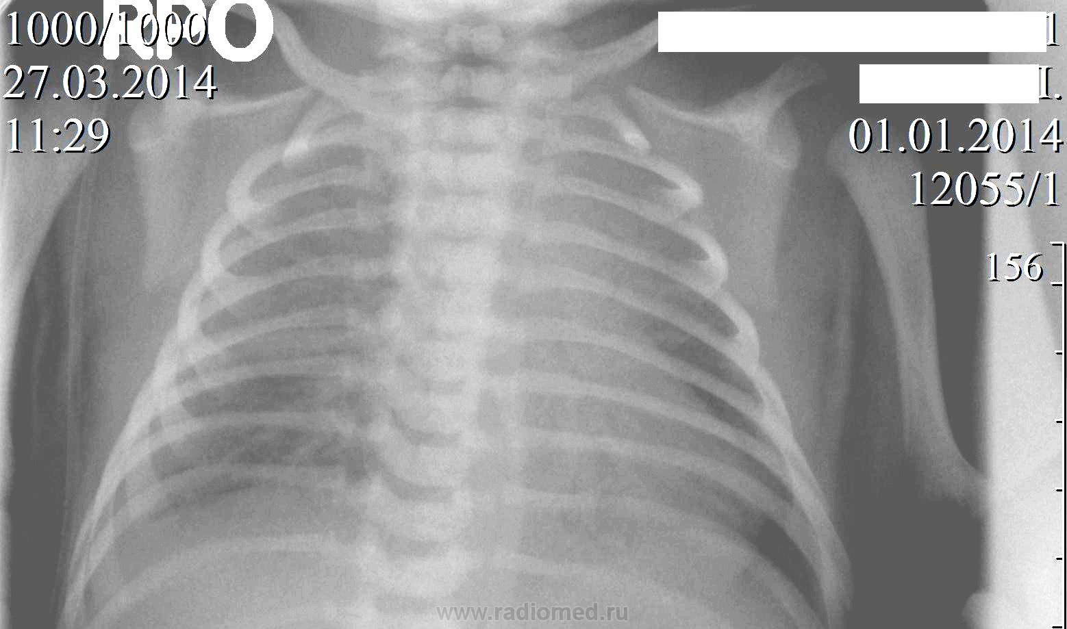
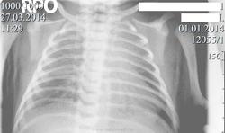
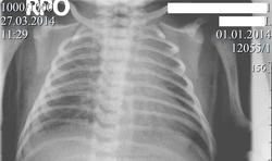
Новорождённый.  Направлен с подозрением на врождённый порок  сердца.R-графия  лёгких  в прямой проекции.

 

  • https://radiomed.ru/sites/default/files/styles/case_slider_image/public/user/2841/nov-0-.jpg?itok=zO_RkQVZ
  • https://radiomed.ru/sites/default/files/styles/case_slider_image/public/user/2841/nov-0-00.jpg?itok=QtxQPie9
  • https://radiomed.ru/sites/default/files/styles/case_slider_image/public/user/2841/nov-0-00-00.jpg?itok=pSpA_0gL
ID:36489
Almo аватар
Не на сайте
Был на сайте: 1 час 48 минут назад
Зарегистрирован: 28.09.2008 - 18:50
Публикации: 8256

Возникли вопросы по оценке  тяжистой тени слева на фоне тени сердца и справа в среднем поле.

ren_gen аватар
Не на сайте
Был на сайте: 11 лет 1 месяц назад
Зарегистрирован: 30.10.2010 - 19:17
Публикации: 285

качество не позволяет увидеть ничего

Минкин Игорь Викторович аватар
Не на сайте
Был на сайте: 5 лет 3 месяцев назад
Зарегистрирован: 16.10.2013 - 03:12
Публикации: 9

респираторный дистресс синдром??

Almo аватар
Не на сайте
Был на сайте: 1 час 48 минут назад
Зарегистрирован: 28.09.2008 - 18:50
Публикации: 8256

Я не сосем понял, что это было, но  на контрольных R-граммах сегодня ( представленный снимок выполнен вчера и были назначены снимки в  прямой, левой и правой боковых проекциях) нашёл  только нитевидное  уплотнение малой междолевой плевры справа.

алкс аватар
Не на сайте
Был на сайте: 10 лет 2 недели назад
Зарегистрирован: 24.10.2012 - 22:55
Публикации: 2915

Almo wrote:

Возникли вопросы по оценке  тяжистой тени слева на фоне тени сердца и справа в среднем поле.

Уважаемый коллега! Ну точно ни Х.орошо ничего не видно. Одно видно- легкие воздушны, сердце на месте и без оказий. Остальное в процессе.smiley Т.е. динамика решает тут все.

Дмитрий Волегов аватар
Не на сайте
Был на сайте: 3 года 6 месяцев назад
Зарегистрирован: 22.05.2013 - 00:32
Публикации: 1148

Не факт, что с первым вдохом легкие расправляются на сто процентов.

С Уважением, Дмитрий.

Almo аватар
Не на сайте
Был на сайте: 1 час 48 минут назад
Зарегистрирован: 28.09.2008 - 18:50
Публикации: 8256

Неплохая версия, Дмитрий!yes(Об этом надо подумать).Извиняюсь за плохое качество снимка!sad(дело в том, у меня на компьютере изображение вполне премлемое по качеству, но при переносе, получается такой "фантик", как выражался приснопамятный Петрович-надо учиться это делать или не морочить людям голову!).

Алексей Игоревич Чернявский аватар
Не на сайте
Был на сайте: 6 лет 10 месяцев назад
Зарегистрирован: 08.08.2012 - 21:52
Публикации: 786

Тень слева, очевидно, была экстракорпоральной, если на контрольном снимке ее нету. Может что-то забыли под младенцем. Справа, с учетом динамики, небольшой выпот в междолевой плевре.

"Обучая других - учишься сам". Н.И.Пирогов
 

Almo аватар
Не на сайте
Был на сайте: 1 час 48 минут назад
Зарегистрирован: 28.09.2008 - 18:50
Публикации: 8256

Спасибо коллеги, за помощь в редактировании( обработке) R-грамммы!

-------------------------------------------------------------------------------------------------------------------------------------------------------------------

"Только, если есть подозрение на "что-то" за тенью сердца, почему бы сразу боковую проекцию не доделать?"

---------------------------------------------------------------------------------------------------------------------------------------------------------------------

R-грамммы в боковых прокциях были сразу назначены и на следующий день выполнены, только я на них ничего не увидел, кроме уплотнения междолевой плевры справа по малой и главной щели в базальном отделе.

------------------------------------------------------------------------------------------------------------------------------------------------------------------------

"Тень слева, очевидно, была экстракорпоральной, если на контрольном снимке ее нету. Может что-то забыли под младенцем. "

------------------------------------------------------------------------------------------------------------------------------------------------------------------------

Может быть, но она скорее эта  тень производила впечатение анатомического образования-  возможно, какого-то сосуда( только какого?).

Спасибо, за отзовы!

Nobody аватар
Не на сайте
Был на сайте: 11 лет 4 недели назад
Зарегистрирован: 15.03.2014 - 20:29
Публикации: 2013

Хорошо бы взглянуть на весь имеющийся архив.

Постобработкой можно улучшить качество. Но нельзя проявить то, на что не хватило выставленного на аппаратном пульте киловольтажа.(

"Лишь утратив всё до конца, мы обретаем свободу." F.C.