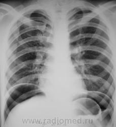
Да, на обзорге ОГК стенка свода желудка ровная, тонкая (париетография прям). А на РГ ОБП между газом слева и пузырем желудка какая-то тень, может кровь натекла?
А рана где? Может это внутристеночная гематома желудка (негомогенно смотрится). Однако же, коллеги, ну пофантазируйте: вот два снимка, на одном стенка свода линейная, на втором - нет. Что это (кроме занудного ответа "скиалогия":)
Газ в брюшной полости понятен.Не понято,что в желудке.
Вы об уровне жидкости, та, что в желудке?
Нет,там сверху что-то свисает,могу ошибаться.
Да, на обзорге ОГК стенка свода желудка ровная, тонкая (париетография прям). А на РГ ОБП между газом слева и пузырем желудка какая-то тень, может кровь натекла?
Verum plus uno esse non potest.
Виктор Григорьевич Стовба у нас большой специалист в этих вопросах
Интересен промежуток времени между снимками...
С уважением,
Между снимками промежуток в 2 минуты
Ничего там не натекло, значит.
С уважением,
А рана где? Может это внутристеночная гематома желудка (негомогенно смотрится). Однако же, коллеги, ну пофантазируйте: вот два снимка, на одном стенка свода линейная, на втором - нет. Что это (кроме занудного ответа "скиалогия":)
Verum plus uno esse non potest.
Со слов оперировавшего хирурга, большое количество крови было в сальниковой сумке...
С уважением,