Нужен совет по легким

Пол пациента: 
Тип патологии: 
Методы исследования: 

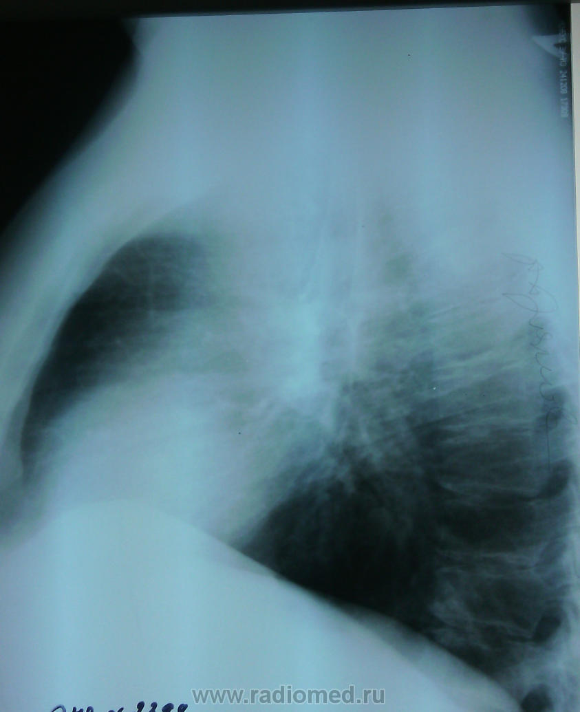
м, 43, СДиабет. Меня смущает тень около дуги аорты слева. Грудина вроде накладывается на тень. Буду благодарна мнениям )

 

  • https://radiomed.ru/sites/default/files/styles/case_slider_image/public/user/16633/img_201409253_08051.jpg?itok=B_JtpVWd
  • https://radiomed.ru/sites/default/files/styles/case_slider_image/public/user/16633/img_20140910_1031191.jpg?itok=RqE8oQSd
ID:41795
Helios аватар
Не на сайте
Был на сайте: 1 год 2 недели назад
Зарегистрирован: 06.08.2010 - 15:16
Публикации: 4417
svetlana292929 аватар
Не на сайте
Был на сайте: 4 года 4 недели назад
Зарегистрирован: 18.06.2012 - 13:53
Публикации: 869

Helios wrote:

http://www.radiomed.ru/blogs/stovbav/chto-s-aortoi

Похоже?

спасибо за ссылку! Но считаю, что в моем случае тень далеко от аорты

Mila85 аватар
Не на сайте
Был на сайте: 3 года 6 месяцев назад
Зарегистрирован: 15.03.2012 - 16:59
Публикации: 1790

Архив надо. На новообразование конечно не особо похоже, но кто его знает

svetlana292929 аватар
Не на сайте
Был на сайте: 4 года 4 недели назад
Зарегистрирован: 18.06.2012 - 13:53
Публикации: 869

Mila85 wrote:

Архив надо. На новообразование конечно не особо похоже, но кто его знает

У нас клиника, с архивом вообще проблемы. Да и какой-то не очень благополучный мужчина, думаю, нет архива. Чего мне его, на КТ отправлять что ли?

NIL аватар
NIL
Не на сайте
Был на сайте: 4 дня 9 часов назад
Зарегистрирован: 25.11.2013 - 20:50
Публикации: 18217

Эта тень живёт своей жизнью. Находится парамедиастинально. У меня три версии: увеличенный лф/узел , туберкулома (правда, такой формы не встречала ни в жизни, ни в литературе) или ретенционная киста .


"Слушай всех, прислушивайся к немногим, решай сам".©

Андрей Юрьевич аватар
Не на сайте
Был на сайте: 2 недели 1 день назад
Зарегистрирован: 16.11.2008 - 22:16
Публикации: 18106

svetka292929 wrote:

Mila85 wrote:

Архив надо. На новообразование конечно не особо похоже, но кто его знает

У нас клиника, с архивом вообще проблемы. Да и какой-то не очень благополучный мужчина, думаю, нет архива. Чего мне его, на КТ отправлять что ли?


Не знаю о чем вы? Возможно левый паратрахеальный лимфоузел. Но, если у вас просто с КТ, направляйте, СД - группа риска по ТВС.

Андрей Юрьевич

svetlana292929 аватар
Не на сайте
Был на сайте: 4 года 4 недели назад
Зарегистрирован: 18.06.2012 - 13:53
Публикации: 869

Андрей Юрьевич wrote:

svetka292929 wrote:

Mila85 wrote:

Архив надо. На новообразование конечно не особо похоже, но кто его знает

У нас клиника, с архивом вообще проблемы. Да и какой-то не очень благополучный мужчина, думаю, нет архива. Чего мне его, на КТ отправлять что ли?


Не знаю о чем вы? Возможно левый паратрахеальный лимфоузел. Но, если у вас просто с КТ, направляйте, СД - группа риска по ТВС.

А Вы бы как поступили с таким больным? 

Андрей Юрьевич аватар
Не на сайте
Был на сайте: 2 недели 1 день назад
Зарегистрирован: 16.11.2008 - 22:16
Публикации: 18106

У вас стационар? Написал "рек. дообследование на предмет активности туб процесса".

Андрей Юрьевич

svetlana292929 аватар
Не на сайте
Был на сайте: 4 года 4 недели назад
Зарегистрирован: 18.06.2012 - 13:53
Публикации: 869

Андрей Юрьевич wrote:

У вас стационар? Написал "рек. дообследование на предмет активности туб процесса".

Да, стационар. Написать увеличенный паратрахеальный лимфоузел, консультация фтизиатра?

Андрей Юрьевич аватар
Не на сайте
Был на сайте: 2 недели 1 день назад
Зарегистрирован: 16.11.2008 - 22:16
Публикации: 18106

svetka292929 wrote:

Андрей Юрьевич wrote:

У вас стационар? Написал "рек. дообследование на предмет активности туб процесса".

Да, стационар. Написать увеличенный паратрахеальный лимфоузел, консультация фтизиатра?


Не просто паратрахеальный, а левый паратрахеальный. Ну, а дальше, пишите как привыкли, мой вариант "рек. дообследование на предмет активности туб процесса", ваш "рек. консультация фтизиатра". Мой (на мой взгляд) строже. Что толку, если фтизиатр ограничится осмотром?

Андрей Юрьевич

Галина Че аватар
Не на сайте
Был на сайте: 11 лет 6 месяцев назад
Зарегистрирован: 01.09.2014 - 20:34
Публикации: 5

Может также быть артроз грудино-ключичного сочленения, а так КТ желательно.

Андрей Юрьевич аватар
Не на сайте
Был на сайте: 2 недели 1 день назад
Зарегистрирован: 16.11.2008 - 22:16
Публикации: 18106

Галина Че wrote:

..... а так КТ желательно.


За редким исключением, КТ желательно всем. А всем их (аппаратов КТ)  зачастую не хватает

Андрей Юрьевич

Сергей Кузьминов аватар
Не на сайте
Был на сайте: 1 год 5 месяцев назад
Зарегистрирован: 06.10.2012 - 15:51
Публикации: 11813

Делайте КТ и не мучайтесь.

Андрей Юрьевич аватар
Не на сайте
Был на сайте: 2 недели 1 день назад
Зарегистрирован: 16.11.2008 - 22:16
Публикации: 18106

Сергей Кузьминов wrote:
Делайте КТ и не мучайтесь.

Сергей, вот сечас у нас сломаны оба аппрата КТ. Один стоит уже с мая. Ремонт (в лучшем случае), через 2 месяца. Что писАть? "Рек. КТ", а дальше хоть не рассветай?

Андрей Юрьевич

Mila85 аватар
Не на сайте
Был на сайте: 3 года 6 месяцев назад
Зарегистрирован: 15.03.2012 - 16:59
Публикации: 1790

Фтизиатры кстати тоже КТ в итоге порекомендуют, все этим обычно и заканчивается

UPD - жаль, что нет связи между амбулаторным звеном и стационаром, была бы общая база данных, может бы вопрос за секунды разрешился. У скандинавов база данных с доступом ко всем лабораторным данным и рентгеновским исследованиям из любого лпу, все это еще соединено с аптеками, очень удбно

Андрей Юрьевич аватар
Не на сайте
Был на сайте: 2 недели 1 день назад
Зарегистрирован: 16.11.2008 - 22:16
Публикации: 18106

Это их дело. И заметьте

Андрей Юрьевич

Андрей Юрьевич аватар
Не на сайте
Был на сайте: 2 недели 1 день назад
Зарегистрирован: 16.11.2008 - 22:16
Публикации: 18106

Mila85 wrote:

У скандинавов база данных с доступом ко всем лабораторным данным и рентгеновским исследованиям из любого лпу, все это еще соединено с аптеками, очень удбно


Вы еще Вольво с Ладой сравните. Ага.

Андрей Юрьевич

Сергей Кузьминов аватар
Не на сайте
Был на сайте: 1 год 5 месяцев назад
Зарегистрирован: 06.10.2012 - 15:51
Публикации: 11813

Ну, если сломаны аппараты, то по ситуации.В другом ЛПУ, например.А в данном случае КТ очень надо.На лимфоузлы с линейкой лезть дело малоперспективное.

Андрей Юрьевич аватар
Не на сайте
Был на сайте: 2 недели 1 день назад
Зарегистрирован: 16.11.2008 - 22:16
Публикации: 18106

Сергей Кузьминов wrote:
Ну, если сломаны аппараты, то по ситуации.В другом ЛПУ, например.А в данном случае КТ очень надо.На лимфоузлы с линейкой лезть дело малоперспективное.

Сергей, ну что такое в другом ЛПУ в условиях сельского  района любой области? В другом районе? Каком? В соседнем районе есть только в коммерции, у вас (насколько я понял) тоже.

Только для этого больного? Почему только ему? Посмотрите любые последние 10 РГ ОГК, выставленые на этом сайте, и скажите, кому НЕ "очень надо КТ"?

Андрей Юрьевич

svetlana292929 аватар
Не на сайте
Был на сайте: 4 года 4 недели назад
Зарегистрирован: 18.06.2012 - 13:53
Публикации: 869

благодарю всех за участие! отправила к фтизиатру