Нужна помощь!

Пол пациента: 
Методы исследования: 

Пациент 1971 г.р., без каких либо жалоб.

Архив 2011 год

Выскажите Ваше мнение Уважаемые коллеги.

Спасибо

 

  • https://radiomed.ru/sites/default/files/styles/case_slider_image/public/user/18992/2_1.png?itok=V20oghZT
  • https://radiomed.ru/sites/default/files/styles/case_slider_image/public/user/18992/3_0.png?itok=nG8UtW5M
  • https://radiomed.ru/sites/default/files/styles/case_slider_image/public/user/18992/4_0.png?itok=1cdyNTym
  • https://radiomed.ru/sites/default/files/styles/case_slider_image/public/user/18992/5_0.png?itok=rrCT00DV
  • https://radiomed.ru/sites/default/files/styles/case_slider_image/public/user/18992/6_0.png?itok=UwqO1zw8
  • https://radiomed.ru/sites/default/files/styles/case_slider_image/public/user/18992/7_0.png?itok=tmV27hAi
ID:32222
Катенёв Валентин Львович аватар
Не на сайте
Был на сайте: 7 лет 1 месяц назад
Зарегистрирован: 22.03.2008 - 22:15
Публикации: 54876

Я бы дал барий.

Сергей Кузьминов аватар
Не на сайте
Был на сайте: 1 год 1 месяц назад
Зарегистрирован: 06.10.2012 - 15:51
Публикации: 11813

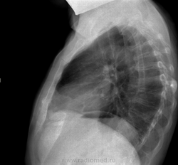
Вертикальная линейная палоса-вероятно не патология,тень мышцы.Очаговая тень слева в прикорневой зоне весьма нехороша,требуется уточнение.лучше КТ.Может оказаться опухолью.Поздравляем с дебютом.

Андрей Юрьевич аватар
Не на сайте
Был на сайте: 1 месяц 4 дня назад
Зарегистрирован: 16.11.2008 - 22:16
Публикации: 18098

Тень отмеченная на прямом снимке, на мой взгляд, тень сосуда, на боковом - передняя поверхность позвоночника (передняя продольная связка). А вот жалобы, скорее всего, есть. Грудная клетка бочкообразной формы - косвенный снимок бронхиальной обструкции.

Андрей Юрьевич

Сергей Кузьминов аватар
Не на сайте
Был на сайте: 1 год 1 месяц назад
Зарегистрирован: 06.10.2012 - 15:51
Публикации: 11813

Позвольте не согласиться с сосудом,уважаемый Андрей Юрьевич,форма тени овальная,не округлая,да и размеры великоваты для сосуда.

Андрей Юрьевич аватар
Не на сайте
Был на сайте: 1 месяц 4 дня назад
Зарегистрирован: 16.11.2008 - 22:16
Публикации: 18098

Ради бога, я не настаиваю. Есть ваше мнение, есть мое мнение, придет еще один - будет третье мнение.

Андрей Юрьевич

Nikolas аватар
Не на сайте
Был на сайте: 2 дня 5 часов назад
Зарегистрирован: 21.12.2010 - 20:37
Публикации: 4560

сделана на выдохе. Сосуд.

Mila85 аватар
Не на сайте
Был на сайте: 3 года 2 месяцев назад
Зарегистрирован: 15.03.2012 - 16:59
Публикации: 1790

Неглубоко вдохнул, поэтому корни другой вид приобрели, я тоже за сосуд

Сергей Кузьминов аватар
Не на сайте
Был на сайте: 1 год 1 месяц назад
Зарегистрирован: 06.10.2012 - 15:51
Публикации: 11813

Андрей Юрьевич wrote:

Ради бога, я не настаиваю. Есть ваше мнение, есть мое мнение, придет еще один - будет третье мнение.

А вот с такой постанавкой обсуждения согласен сразу и во веки веков.

Алексей Игоревич Чернявский аватар
Не на сайте
Был на сайте: 6 лет 11 месяцев назад
Зарегистрирован: 08.08.2012 - 21:52
Публикации: 786

Сосуд. На свежих снимках тени нету.

"Обучая других - учишься сам". Н.И.Пирогов
 

Яковлева Любовь Потаповна аватар
Не на сайте
Был на сайте: 12 лет 3 месяцев назад
Зарегистрирован: 08.10.2013 - 21:06
Публикации: 5

Завтра тогда попробую переделать в прямой проекции на максим. вдохе. А в позвонках нет ли компресии, Th7-Th8 единый костный блок?

Всем огромное спасибо за помощь.

Андрей Юрьевич аватар
Не на сайте
Был на сайте: 1 месяц 4 дня назад
Зарегистрирован: 16.11.2008 - 22:16
Публикации: 18098

Яковлева Любовь Потаповна wrote:
.... Th7-Th8 единый костный блок?

Нет, не единый.

Андрей Юрьевич

Киреев Кондрат аватар
Не на сайте
Был на сайте: 5 лет 8 месяцев назад
Зарегистрирован: 02.02.2012 - 17:37
Публикации: 238

Классическая симуляция оброзования:) с такими сомнительными моментами нужно просто глянуть скопически.

ЧЮГ аватар
Не на сайте
Был на сайте: 3 месяцев 3 недели назад
Зарегистрирован: 31.10.2012 - 15:10
Публикации: 414

При таких изменениях в позвоночнике и нет жалоб? - сомнительно!

Сделал бы Р-гр. позвоночника (хотя бы грудного отдела).

Сергей Кузьминов аватар
Не на сайте
Был на сайте: 1 год 1 месяц назад
Зарегистрирован: 06.10.2012 - 15:51
Публикации: 11813

Будет интересно посмотреть,как оно на вдохе,покажите пожалуйста.

marisa аватар
Не на сайте
Был на сайте: 7 лет 1 месяц назад
Зарегистрирован: 23.03.2012 - 17:33
Публикации: 35

пациент действительно 1971г.р.?