Речь идет об этом:
Коллега делала исследование надпочечников.
Женщина мучается с артериальной гипертензией, очень худая.
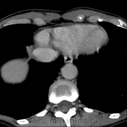
Левый надпочечник диффузно утолщен, без особенностей.
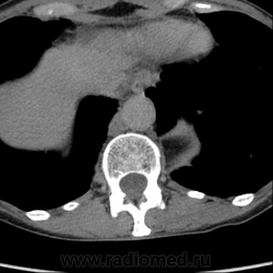
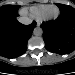
Обнаружилось небольшое образование низкой плотности, с достаточно ровными, четкими контурами парааортально справа около ножки диафрагмы на уровне тела L1 позвонка.
В артериальную фазу больная задумалась (со слов больной) и не вдохнула, срезали...
При нативе плотность 6HU, паренхиматозная - 18-20HU, экскреторная (15 минут) - 60-65HU.
Выкладываю по очереди срезы на одинаковых уровнях, сначала паренхиматозная, потом отсроченная фазы.
Какие мнения?
- https://radiomed.ru/sites/default/files/styles/case_slider_image/public/user/5374/se001_9.png?itok=w92P-OgI
- https://radiomed.ru/sites/default/files/styles/case_slider_image/public/user/5374/se002_8.png?itok=a32hn9I4
- https://radiomed.ru/sites/default/files/styles/case_slider_image/public/user/5374/se003_8.png?itok=7saF9935
- https://radiomed.ru/sites/default/files/styles/case_slider_image/public/user/5374/se004_9.png?itok=PVsBGMPd
- https://radiomed.ru/sites/default/files/styles/case_slider_image/public/user/5374/se005_5.png?itok=xUZhaEO0
- https://radiomed.ru/sites/default/files/styles/case_slider_image/public/user/5374/se006_6.png?itok=Z6cL-JMf
- https://radiomed.ru/sites/default/files/styles/case_slider_image/public/user/5374/se007_7.png?itok=TYyh58u5
- https://radiomed.ru/sites/default/files/styles/case_slider_image/public/user/5374/se008_2.png?itok=xALv1oMP
- https://radiomed.ru/sites/default/files/styles/case_slider_image/public/user/5374/se009_3.png?itok=fJqZz5cR
- https://radiomed.ru/sites/default/files/styles/case_slider_image/public/user/5374/se010_3.png?itok=PZjF3Ulr
- https://radiomed.ru/sites/default/files/styles/case_slider_image/public/user/5374/se011.png?itok=wu84fJTO
- https://radiomed.ru/sites/default/files/styles/case_slider_image/public/user/5374/rech.png?itok=Uy8tiBt2
ID:53193
Цистерна грудного лимфатического протока? Я в кт ноль :)
Достаточно просто хорошо знать анатомию
С уважением, С.Н. Нагорный
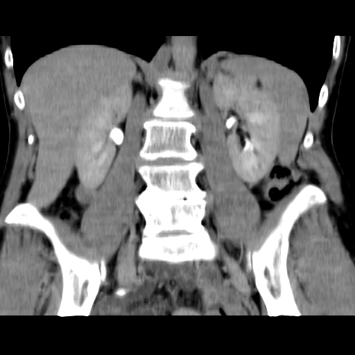
вот на этой картинке никто ничего подозрительного не заметил???
можете выложить более тонкии срезы на уровне данного образования аксиальные и коронольные срезы в венозную фазу???
Игорь Юрьевич
для полной картины не хватате мрт надпочечников!!!!!!! а если можно, сделайте мрт всей брюшной полости!!!
Игорь Юрьевич
МРТ пациентка делала недавно, в заключении гиперплазия левого надпочечника. Я гиперплазию не заметил.
Гарик, что на картинке подозрительного?
С уважением, С.Н. Нагорный
или я придираюсь или там что-то под правой почкой есть!!! сканограм побольше бы?!!!! можно еще немного кадров корон в венозную фазу выложить????
Игорь Юрьевич
Не придираетесь, однозначно что-то есть. Что - не знаю, на днях посмотрю серию и если что выложу
С уважением, С.Н. Нагорный
с нетерпением буду ждать!!!!!!!!
еще небольшая просьба если есть мрт сканы, пожалуйста и их выложите!!!
Игорь Юрьевич
Позвонил сейчас на работу, не выдержал. Коллега посмотрела - петля тонкой кишки 100%.
МРТ нет и не будет, я их не видел. Видел предыдущие КТ, видел выписки м заключением МРТ - везде написано гиперплазия левого надпочечника. В упор не вижу...
С уважением, С.Н. Нагорный
я так и думал!!!!
но все же если можно выложите побольше корон в венозную фазу?!
Игорь Юрьевич