образование?

Пол пациента: 
Тип патологии: 
Область исследования: 
Методы исследования: 

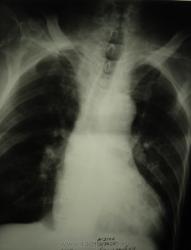
  мужчина 1932 г.р. (лежачий пациент, инвалид) привезли со скорой на рентфию ОГК. случайно оказалась рядом и выяснила у сына, что он 3 дня не разговаривает и не кушает. Решила дать глоток бария пока лежит(снимки наспине), вот что получилось....

  • https://radiomed.ru/sites/default/files/styles/case_slider_image/public/user/952/DSC02659.JPG?itok=jDrVMae-
  • https://radiomed.ru/sites/default/files/styles/case_slider_image/public/user/952/DSC02660.JPG?itok=MEt9HoFs
  • https://radiomed.ru/sites/default/files/styles/case_slider_image/public/user/952/DSC02664.JPG?itok=5AX6EEQb
  • https://radiomed.ru/sites/default/files/styles/case_slider_image/public/user/952/DSC02665.JPG?itok=aV3zlwOw
  • https://radiomed.ru/sites/default/files/styles/case_slider_image/public/user/952/DSC02666.JPG?itok=ZSODGOx6
ID:2888
Катенёв Валентин Львович аватар
Не на сайте
Был на сайте: 7 лет 1 месяц назад
Зарегистрирован: 22.03.2008 - 22:15
Публикации: 54876

Интересный случай.

 

Приложения: 
01.RAD_.JPG02.RAD_.jpg03.RAD_.JPG04.RAD_.jpg
Катенёв Валентин Львович аватар
Не на сайте
Был на сайте: 7 лет 1 месяц назад
Зарегистрирован: 22.03.2008 - 22:15
Публикации: 54876

Образование или инородное тело?

 

Приложения: 
101.RAD_.JPG102.RAD_.jpg103.RAD_.jpg104.RAD_.jpg105.RAD_.jpg106.RAD_.jpg107.RAD_.jpg108.RAD_.jpg
Катенёв Валентин Львович аватар
Не на сайте
Был на сайте: 7 лет 1 месяц назад
Зарегистрирован: 22.03.2008 - 22:15
Публикации: 54876

Образование или инородное тело?

 

Приложения: 
109.RAD_.JPG110.RAD_.jpg111.RAD_.JPG112.RAD_.jpg113.RAD_.jpg
v1tal аватар
Не на сайте
Был на сайте: 4 года 10 месяцев назад
Зарегистрирован: 07.06.2008 - 19:41
Публикации: 1779

С учетом таких контуров образования возможно лейомиома, но расположение странное, а может образование идет со стороны щитовидной железы?

"Знаешь, у некоторых врачей есть комплекс мессии — им необходимо спасать мир. А у тебя комплекс Рубика — тебе необходимо решать головоломки."

DR.RAD аватар
Не на сайте
Был на сайте: 11 лет 9 месяцев назад
Зарегистрирован: 25.03.2009 - 18:22
Публикации: 805

наверно инородное тело врядли (большое какое то), может из щитовидки что то прорасло??? а может вообще заглоточный абсцесс????

до завтра положили в стационар, а что с ним делать, на КТ уже врядли возьмут егоВ нерешительности( жалко дедулю хочется хоть чем то помочь).

v1tal аватар
Не на сайте
Был на сайте: 4 года 10 месяцев назад
Зарегистрирован: 07.06.2008 - 19:41
Публикации: 1779

А боковую проекцию не делали?

"Знаешь, у некоторых врачей есть комплекс мессии — им необходимо спасать мир. А у тебя комплекс Рубика — тебе необходимо решать головоломки."

Катенёв Валентин Львович аватар
Не на сайте
Был на сайте: 7 лет 1 месяц назад
Зарегистрирован: 22.03.2008 - 22:15
Публикации: 54876

Ну, у стариков инородное тело (кусок мяса) может дать интересные картинки.

DR.RAD аватар
Не на сайте
Был на сайте: 11 лет 9 месяцев назад
Зарегистрирован: 25.03.2009 - 18:22
Публикации: 805

ой а как же достать это мясо от туда, надо лора позвать???

боковую невозможно сделать, он парализован и даже не сидит(((((((((( я тоже об этом думала.... (только породие косых снимков получилось увы)

v1tal аватар
Не на сайте
Был на сайте: 4 года 10 месяцев назад
Зарегистрирован: 07.06.2008 - 19:41
Публикации: 1779

Уж больно четкий кусочек мяса, с учетом если с зубами не все в порядке.

"Знаешь, у некоторых врачей есть комплекс мессии — им необходимо спасать мир. А у тебя комплекс Рубика — тебе необходимо решать головоломки."

Катенёв Валентин Львович аватар
Не на сайте
Был на сайте: 7 лет 1 месяц назад
Зарегистрирован: 22.03.2008 - 22:15
Публикации: 54876

Коллега! Вы меня не правильно поняли. Я вовсе не утверждаю на все 100%, что "это" инородное тело. Просто, для размышления пища.

DR.RAD аватар
Не на сайте
Был на сайте: 11 лет 9 месяцев назад
Зарегистрирован: 25.03.2009 - 18:22
Публикации: 805

пацинта отправили домой, увы причину этого дефекта уже не узнать...

stovbav аватар
Не на сайте
Был на сайте: 2 года 3 месяцев назад
Зарегистрирован: 20.12.2009 - 17:28
Публикации: 7066

Катенёв Валентин Львович wrote:

Коллега! Вы меня не правильно поняли. Я вовсе не утверждаю на все 100%, что "это" инородное тело. Просто, для размышления пища.

Тоже на все 100% соглашаюсь с Валентином Львовичем, в первую очередь необходимо исключать т.н. "мясной завал", а мясо там...сало ...или еще что - дело десятое.....