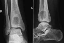
Молодой человек 18 лет поступил в стационар с ноющими периодическими болями в правом г/стопном суставе, год назад, в августе была травма(во время тренировки), по снимку без костно-травматических изменений, а вот снимок проведенный 28.06.10г.:

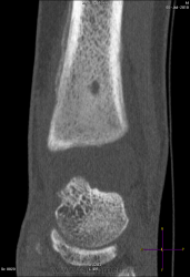
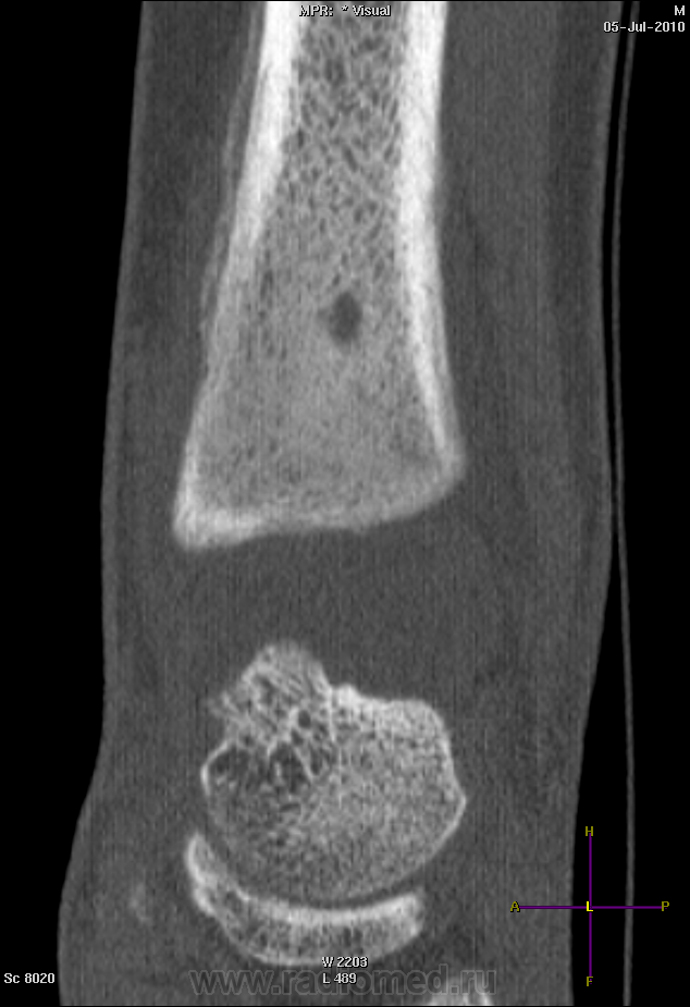
Вчера было проведено КТ-г/стопного сустава:


Ваше мнение?
Только по рентгенограммам (без учета КТ) высказался-бы в пользу абсцесса Броди.
Почти, как "брат родной" - отыскал в "буржуйских источниках".
Да, "он" самый вчера сразу оперировали, опять в течении года нагрели, находился под наблюдением у ревматолога, неоднократное введение препаратов в сустав.
"Знаешь, у некоторых врачей есть комплекс мессии — им необходимо спасать мир. А у тебя комплекс Рубика — тебе необходимо решать головоломки."
Так, абсцесс Броди?
После операции травматологи тоже поставили абсцесс Броди: "Выполнена трепанация, выделился густой сливкообразный гной без запаха. Трепанационное отверстие расширено до размеров 2,5*4 см. Полость вычищена, гной взят на посев, часть стенки абсцесса отправлена на гистологическое исследование. В получившуюся полость 4,5*2,5*3,5 см помещен цементный спейсер с антибиотиком"
"Знаешь, у некоторых врачей есть комплекс мессии — им необходимо спасать мир. А у тебя комплекс Рубика — тебе необходимо решать головоломки."
А, вот еще "братики - Бродики"