Пол пациента:
Тип патологии:
Область исследования:
Методы исследования:
Женщина 1954г.р. обратилась к доктору 20.06.13г. с жалобами на головные боли, головокружение, тошноту. DS: энцефалопатия сложного генеза, ГБ, ШОХ. Отправлена МРТ г.м от 19.07.13г.- общая сообщающаяся гидроцефалия заместительного характера, TR клетках решетчатой кости, рекомендовано КТ. На приеме у ЛОР 26.0713г.: жалобы на затруднение носового духания; объективно- полипозная ткань в нос.пазухах слева. После проведенного КТ 30.07.13г. позвонил пациентке, говорит что примерно раз в три месяца бывают носовые кровотечения даже в горизонтальном положении. Что думаете коллеги?
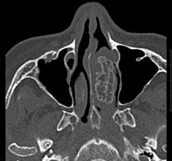
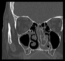
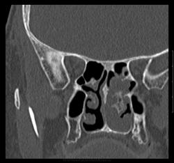
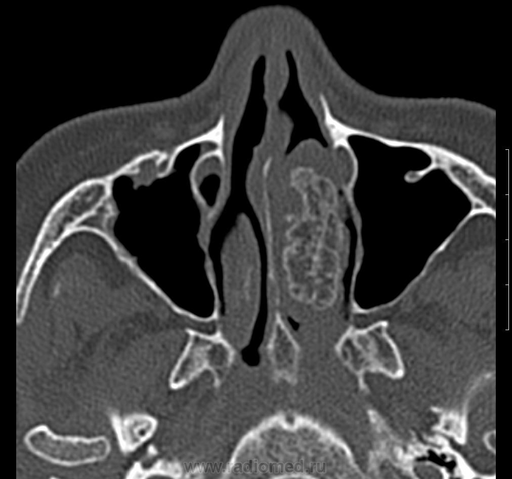
Вот ее снимки.
Красота. . Показано оперативное лечение, думаю..
After the NYear
Дополнительное образование в носовых раковинах слева ( или справа? у нас в МРТ это левая сторона ) с признаками обызвествления.Носовые раковины разрушены.Думаю, что точно нужно оперировать.
Левая сторона. Дело не в том, что нужна или нет операция. По моему это добро, но какое??? Хондромиксоидная фиброма? хондрома? Прилежащие костные и хрящевые структуры без признаков деструкции. У образования костно- хрящевая основа. Или я не в ту степь думаю...)
Лучше задайте этот вопрос гистологам.
Хм.... "Умных людей много, а мыслящих еденицы". Задам вопрос прямо: м.б. у кого встречалось похожее верифецированное наблюдение. Хотя... Я думал этот сайт для обсуждения, высказывания мнений со стороны лучевой диагностики. Ну конечно показана операция, после которой будет и результат гистологии!!!!!)) Я извиняюсь конечно, но я вроде на "сайте врачей лучевой диагностики"!!!, а не на рекламных страничках частных мед.центров, где просят совета болеющие пациенты!!!!
Отвечаю также прямо: у меня не встречалось
Это именно такой сайт. Мнения вы и получили. Причем разные. Они вас не устроили? Бывает. Это свободная площадка, проходной двор, тут все, кому не лень ходят, а не консультативный центр института оториноларингологии.
Андрей Юрьевич
Не смею с Вами спорить Андрей Юрьевич!!!) Но в последнем предложении Вы не смогли обойтись без сарказма по поводу центра оториноларингологии (ну как, Вы же умник.....), но ключевое: "тут все, кому не лень ходят"- это мощно)) и говорит о Вашем "уважении" к посетителям сайта. Бред.... И Вам не хворать!
Ну вот, еще один на личности переходит. Бяда.
Андрей Юрьевич
А, вижу не один я пострадал :)) Андрей Юрьевич, не характер у вас, а золото.. Интересно, в семье тоже так или в интернете вымещаете :))
After the NYear
Какая разница какой у меня характер, когда есть и другая реакция на мои посты. Вот, навскидку, из последних
Андрей Юрьевич
Ну чтож, то, что вы начали доказывать свои положительные стороны говорит о том, что, с одной стороны, я попал в точку, с другой - характер - такая вещь, с которой сам человек не всегда может справиться ;)) Ок, у всех свои недостатки (на том и завершим).
After the NYear
Мне лично встречались образования пазух всего 2 раза , и то на МРТ.Поэтому я не знаток.Тем более, не "мыслящий".
Кстати, мне часто гистологи звонят и спрашивают , что мы видим при наших исследованиях-это им помогает выдать правильный результат.
Можно, конечно, дифф.ряд. выставить, на 5-ти страницах пооскорблять друг друга , остаивая свои взгляды и мнения, а смысл?Конструктивной беседы не получится в любом случае, ибо "рентгенолог пишет то, что знает", не более.
По моему слабому разумению ( я в КТ понимаю ровно столько , сколько известное животное, под знаком которой я родилась, в сочных фруктах), при КТ-исследовании имеется возможность измерить плотность образования.Это раз.Второе-образование лежит близко-его можно достать и посмотреть поближе.А Вам представится возможность нам, убогим немыслящим, подробнее рассказать об этом случае.Думаю, что всем будет гораздо интереснее.
Может, я и неправа.ИМХО.
Для тех, кому не нравится мой характер. Этот пост написан сегодня в 01:42
Андрей Юрьевич
С уважением,
Права. И ещё раз - права!